跳转至内容
Merck
CN

SAB4700826

Monoclonal Anti-SYK antibody produced in mouse

clone SYK-01

别名:

p72Syk

登录 查看组织和合同定价。

选择尺寸

变更视图

关于此项目

NACRES:
NA.41
UNSPSC Code:
12352203
Conjugate:
unconjugated
Clone:
SYK-01, monoclonal
Application:
WB
Citations:
-
技术服务
需要帮助?我们经验丰富的科学家团队随时乐意为您服务。
让我们为您提供帮助


biological source

mouse

conjugate

unconjugated

antibody form

purified immunoglobulin

antibody product type

primary antibodies

clone

SYK-01, monoclonal

form

buffered aqueous solution

species reactivity

rat, human, mouse

concentration

1 mg/mL

technique(s)

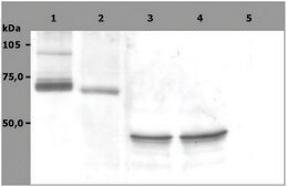
western blot: 1 μg/mL

accession no.

NM_003177

shipped in

wet ice

storage temp.

2-8°C

target post-translational modification

unmodified

Gene Information

human ... SYK(6850)

General description

The antibody SYK-01 reacts with protein tyrosine kinase p72Syk (Syk; Syk family tyrosine-specific phospho-transferase), which is required for the transduction of signals through the B cell antigen receptor (BCR) and the high affinity IgE receptor (FcepsilonRI).

Immunogen

Recombinant fragment (aa 5-360) of human Syk.

Physical form

Solution in phosphate buffered saline with 15 mM sodium azide.

Disclaimer

Unless otherwise stated in our catalog or other company documentation accompanying the product(s), our products are intended for research use only and are not to be used for any other purpose, which includes but is not limited to, unauthorized commercial uses, in vitro diagnostic uses, ex vivo or in vivo therapeutic uses or any type of consumption or application to humans or animals.


Still not finding the right product?

Explore all of our products under

或者

试用我们的 产品选型工具 工具缩小选择范围


存储类别

12 - Non Combustible Liquids

wgk

nwg

flash_point_f

Not applicable

flash_point_c

Not applicable

法规信息

常规特殊物品

此项目有



历史批次信息供参考:

分析证书(COA)

Lot/Batch Number

It looks like we've run into a problem, but you can still download Certificates of Analysis from our 文件 section.

如需帮助,请联系 客户支持

已有该产品?

在文件库中查找您最近购买产品的文档。

访问文档库