跳转至内容
Merck
CN

SAB5500076

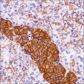
Anti-CD99 antibody, Rabbit monoclonal

clone SP119, recombinant, expressed in proprietary host, affinity isolated antibody

登录 查看组织和合同定价。

选择尺寸

变更视图

关于此项目

NACRES:
NA.41
UNSPSC Code:
12352203
Conjugate:
unconjugated
Clone:
SP119, monoclonal
Application:
IHC
Citations:
-
技术服务
需要帮助?我们经验丰富的科学家团队随时乐意为您服务。
让我们为您提供帮助


biological source

rabbit

Quality Level

recombinant

expressed in proprietary host

conjugate

unconjugated

antibody form

affinity isolated antibody

antibody product type

primary antibodies

clone

SP119, monoclonal

species reactivity

human (tested)

technique(s)

immunohistochemistry: 1:200

isotype

IgG

UniProt accession no.

shipped in

wet ice

storage temp.

2-8°C

target post-translational modification

unmodified

Gene Information

human ... CD99(4267)

General description

CD99, or MIC2 gene product, or E2 antigen is expressed on the cell membrane of some lymphocytes, cortical thymocytes, and granulosa cells of the ovary. The antigen is also expressed by most pancreatic islet cells, Sertoli cells of the testis, and some endothelial cells. Mature granulocytes express very little or no CD99. MIC2 is strongly expressed on Ewing′s sarcoma cells and primitive peripheral neuroectodermal tumors.

Immunogen

Recombinant full length human CD99 protein.

Features and Benefits

Evaluate our antibodies with complete peace of mind. If the antibody does not perform in your application, we will issue a full credit or replacement antibody. Learn more.

Physical form

0.1 ml rabbit monoclonal antibody purified by protein A/G in PBS/1% BSA buffer pH 7.6 with less than 0.1% sodium azide.

Disclaimer

Unless otherwise stated in our catalog or other company documentation accompanying the product(s), our products are intended for research use only and are not to be used for any other purpose, which includes but is not limited to, unauthorized commercial uses, in vitro diagnostic uses, ex vivo or in vivo therapeutic uses or any type of consumption or application to humans or animals.


Still not finding the right product?

试用我们的 产品选型工具 工具缩小选择范围


存储类别

12 - Non Combustible Liquids

flash_point_f

Not applicable

flash_point_c

Not applicable

法规信息

新产品

此项目有



历史批次信息供参考:

分析证书(COA)

Lot/Batch Number

It looks like we've run into a problem, but you can still download Certificates of Analysis from our 文件 section.

如需帮助,请联系 客户支持

已有该产品?

在文件库中查找您最近购买产品的文档。

访问文档库



全球贸易项目编号

货号GTIN
SAB5500076-100UL04061837833557