biological source
rabbit
Quality Level
conjugate
unconjugated
antibody product type
primary antibodies
clone
monoclonal
form
liquid
species reactivity
human
concentration
1.6 mg/mL
technique(s)
western blot: 1:500-1:2000
UniProt accession no.
shipped in
wet ice
storage temp.
−20°C
target post-translational modification
unmodified
Gene Information
human ... S100A4(6275)
General description
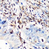
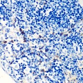
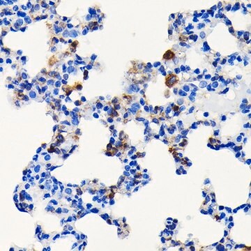
The protein encoded by this gene is a member of the S100 family of proteins containing 2 EF-hand calcium-binding motifs. S100 proteins are localized in the cytoplasm and/or nucleus of a wide range of cells, and involved in the regulation of a number of cellular processes such as cell cycle progression and differentiation. S100 genes include at least 13 members which are located as a cluster on chromosome 1q21. This protein may function in motility, invasion, and tubulin polymerization. Chromosomal rearrangements and altered expression of this gene have been implicated in tumor metastasis. Multiple alternatively spliced variants, encoding the same protein, have been identified. [provided by RefSeq, Jul 2008]
Immunogen
A synthesized peptide derived from human S100A4
Physical form
Buffer: PBS with 0.02% sodium azide,0.05% BSA,50% glycerol,pH7.3.
Still not finding the right product?
试用我们的 产品选型工具 工具缩小选择范围
存储类别
12 - Non Combustible Liquids
wgk
WGK 1
flash_point_f
Not applicable
flash_point_c
Not applicable
法规信息
常规特殊物品
低风险生物材料
此项目有
全球贸易项目编号
| 货号 | GTIN |
|---|---|
| SAB5701199-100UL | 04065267663760 |