biological source
rabbit
Quality Level
conjugate
unconjugated
antibody product type
primary antibodies
clone
monoclonal
form
liquid
species reactivity
rat, mouse, human
concentration
1.2 mg/mL
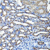
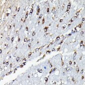
technique(s)
immunohistochemistry: 1:50-1:200, western blot: 1:500-1:2000
UniProt accession no.
shipped in
wet ice
storage temp.
−20°C
target post-translational modification
unmodified
Gene Information
human ... FIS1(51024)
General description
The balance between fission and fusion regulates the morphology of mitochondria. TTC11 is a component of a mitochondrial complex that promotes mitochondrial fission (James et al., 2003 [PubMed 12783892]).[supplied by OMIM, Mar 2008]
Immunogen
A synthesized peptide derived from human TTC11/FIS1.
Physical form
Buffer: PBS with 0.02% sodium azide,0.05% BSA,50% glycerol,pH7.3.
存储类别
12 - Non Combustible Liquids
wgk
WGK 1
flash_point_f
Not applicable
flash_point_c
Not applicable
法规信息
常规特殊物品
此项目有
全球贸易项目编号
| 货号 | GTIN |
|---|---|
| SAB5701329-100UL | 04065267667034 |