跳转至内容
Merck
CN

SAB5702842

Anti-PGAM1 Antibody, clone 7V9H9, Rabbit Monoclonal

别名:

HEL-S-35, PGAM-B, PGAMA

登录 查看组织和合同定价。

选择尺寸

变更视图

关于此项目

NACRES:
NA.46
UNSPSC Code:
12352203
Conjugate:
unconjugated
Clone:
7V9H9, monoclonal
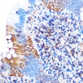
Application:
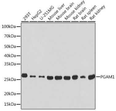
IHC, WB
Citations:
-
技术服务
需要帮助?我们经验丰富的科学家团队随时乐意为您服务。
让我们为您提供帮助


biological source

rabbit

Quality Level

conjugate

unconjugated

material

colorless

clone

7V9H9, monoclonal

form

liquid

mol wt

28 kDa

species reactivity

rat, human

concentration

0.83mg/mL

technique(s)

immunohistochemistry: 1:50 - 1:200, western blot: 1:500 - 1:2000

color

colorless

isotype

IgG

immunogen sequence

MAAYKLVLIRHGESAWNLENRFSGWYDADLSPAGHEEAKRGGQALRDAGYEFDICFTSVQKRAIRTLWTVLDAIDQMWLPVVRTWRLNERHYGGLTGLNK

UniProt accession no.

shipped in

wet ice

storage temp.

−20°C

target post-translational modification

unmodified

Gene Information

human ... PGAM1(5223)

General description

The protein encoded by this gene is a mutase that catalyzes the reversible reaction of 3-phosphoglycerate (3-PGA) to 2-phosphoglycerate (2-PGA) in the glycolytic pathway. Two transcript variants encoding different isoforms have been found for this gene. [provided by RefSeq, Nov 2015]

Immunogen

PBS with 0.02% sodium azide,0.05% BSA,50% glycerol,pH7.3.
A synthetic peptide corresponding to a sequence within amino acids 1-100 of human PGAM1 (P18669).

Application

WB, IHC


存储类别

10 - Combustible liquids

wgk

WGK 1

法规信息

常规特殊物品

此项目有



历史批次信息供参考:

分析证书(COA)

Lot/Batch Number

It looks like we've run into a problem, but you can still download Certificates of Analysis from our 文件 section.

如需帮助,请联系 客户支持

已有该产品?

在文件库中查找您最近购买产品的文档。

访问文档库



全球贸易项目编号

货号GTIN
SAB5702842-100UL04065270689214