跳转至内容
Merck
CN

SAB5702881

Anti-Rhodopsin Antibody, clone 5N3G9, Rabbit Monoclonal

别名:

CSNBAD1, OPN2, RP4

登录 查看组织和合同定价。

选择尺寸

变更视图

关于此项目

NACRES:
NA.46
UNSPSC Code:
12352203
Conjugate:
unconjugated
Clone:
5N3G9, monoclonal
Application:
IHC, WB
Citations:
-
技术服务
需要帮助?我们经验丰富的科学家团队随时乐意为您服务。
让我们为您提供帮助


biological source

rabbit

Quality Level

conjugate

unconjugated

material

colorless

clone

5N3G9, monoclonal

form

liquid

mol wt

28-150 kDa

species reactivity

mouse, rat

concentration

0.4 mg/mL

technique(s)

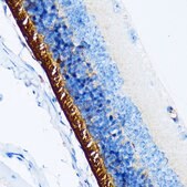
immunohistochemistry: 1:50 - 1:200, western blot: 1:500 - 1:2000

color

colorless

isotype

IgG

immunogen sequence

EVTRMVIIMVIAFLICWVPYASVAFYIFTHQGSNFGPIFMTIPAFFAKSAAIYNPVIYIMMNKQFRNCMLTTICCGKNPLGDDEASATVSKTETSQVAPA

UniProt accession no.

shipped in

wet ice

storage temp.

−20°C

target post-translational modification

unmodified

Gene Information

human ... RHO(6010)

General description

Retinitis pigmentosa is an inherited progressive disease which is a major cause of blindness in western communities. It can be inherited as an autosomal dominant, autosomal recessive, or X-linked recessive disorder. In the autosomal dominant form,which comprises about 25% of total cases, approximately 30% of families have mutations in the gene encoding the rod photoreceptor-specific protein rhodopsin. This is the transmembrane protein which, when photoexcited, initiates the visual transduction cascade. Defects in this gene are also one of the causes of congenital stationary night blindness. [provided by RefSeq, Jul 2008]

Immunogen

A synthetic peptide corresponding to a sequence within amino acids 249-348 of human Rhodopsin (P08100).
PBS with 0.02% sodium azide,0.05% BSA,50% glycerol,pH7.3.

Application

WB, IHC


存储类别

10 - Combustible liquids

wgk

WGK 1

法规信息

常规特殊物品

此项目有



历史批次信息供参考:

分析证书(COA)

Lot/Batch Number

It looks like we've run into a problem, but you can still download Certificates of Analysis from our 文件 section.

如需帮助,请联系 客户支持

已有该产品?

在文件库中查找您最近购买产品的文档。

访问文档库



全球贸易项目编号

货号GTIN
SAB5702881-100UL04065270687388