跳转至内容
Merck
CN

WH0002810M1

Monoclonal Anti-SFN antibody produced in mouse

clone 3C3, purified immunoglobulin, buffered aqueous solution

别名:

Anti-stratifin

登录 查看组织和合同定价。

选择尺寸

变更视图

关于此项目

UNSPSC Code:
12352203
NACRES:
NA.41
MDL number:
Conjugate:
unconjugated
Clone:
3C3, monoclonal
Application:
ELISA (i), IHC (p), IP, WB
Citations:
1
技术服务
需要帮助?我们经验丰富的科学家团队随时乐意为您服务。
让我们为您提供帮助


biological source

mouse

Quality Level

conjugate

unconjugated

antibody form

purified immunoglobulin

antibody product type

primary antibodies

clone

3C3, monoclonal

form

buffered aqueous solution

species reactivity

human

technique(s)

immunohistochemistry (formalin-fixed, paraffin-embedded sections): suitable, immunoprecipitation (IP): suitable, indirect ELISA: suitable, western blot: 1-5 μg/mL

isotype

IgG1κ

GenBank accession no.

UniProt accession no.

shipped in

dry ice

storage temp.

−20°C

target post-translational modification

unmodified

Gene Information

human ... SFN(2810)

General description

Stratifin (SFN), a cell cycle checkpoint protein, is expressed at low levels on the nervous and reproductive systems, like the cortex, retina, placenta, and ovary.

Immunogen

SFN (AAH00329.1, 1 a.a. ~ 248 a.a) full-length recombinant protein with GST tag. MW of the GST tag alone is 26 KDa.

Sequence
MERASLIQKAKLAEQAERYEDMAAFMKGAVEKGEELSCEERNLLSVAYKNVVGGQRAAWRVLSSIEQKSNEEGSEEKGPEVREYREKAETELQGVCDTVLGLLDSHLIKEAGDAESRVFYLKMKGDYYRYLAEVATGDDKKRIIDSARSAYQEAMDISKKEMPPTNPIRLGLALNFSVFHYEIANSPEEAISLAKTTFDEAMADLHTLSEDSYKDSTLIMQLLRDNLTLWTADNAGEEGGEAPQEPQS

Application

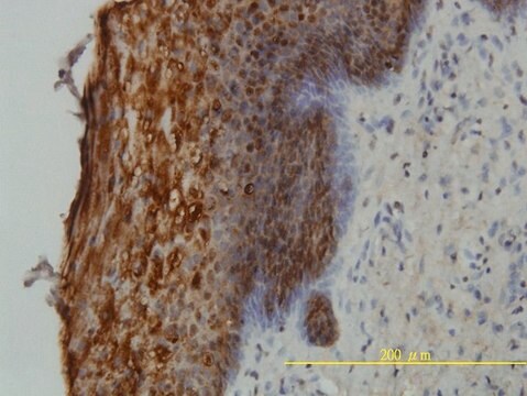
Monoclonal Anti-SFN antibody produced in mouse has been used in immunohistochemistry (1:200).

Biochem/physiol Actions

Stratifin (SFN) plays a key role in oncogenesis. It regulates mitotic translation. SFN frequently inhibits DNA errors during mitosis as a reaction to DNA damage. It acts as a potential biomarker in various cancers.

Physical form

Solution in phosphate buffered saline, pH 7.4

Legal Information

GenBank is a registered trademark of United States Department of Health and Human Services

Disclaimer

Unless otherwise stated in our catalog or other company documentation accompanying the product(s), our products are intended for research use only and are not to be used for any other purpose, which includes but is not limited to, unauthorized commercial uses, in vitro diagnostic uses, ex vivo or in vivo therapeutic uses or any type of consumption or application to humans or animals.


Still not finding the right product?

试用我们的 产品选型工具 工具缩小选择范围


存储类别

10 - Combustible liquids

flash_point_f

Not applicable

flash_point_c

Not applicable

ppe

Eyeshields, Gloves, multi-purpose combination respirator cartridge (US)

法规信息

常规特殊物品
低风险生物材料

此项目有



历史批次信息供参考:

分析证书(COA)

Lot/Batch Number

没有发现合适的版本?

如果您需要特殊版本,可通过批号或批次号查找具体证书。

已有该产品?

在文件库中查找您最近购买产品的文档。

访问文档库



Paulina Kober et al.
Molecular and cellular endocrinology, 473, 194-204 (2018-02-08)
Nonfunctioning pituitary adenomas (NFPAs) are among the most frequent intracranial tumors but their molecular background, including changes in epigenetic regulation, remains poorly understood. We performed genome-wide DNA methylation profiling of 34 NFPAs and normal pituitary samples. Methylation status of the



全球贸易项目编号

货号GTIN
WH0002810M1-100UG04061832742557