biological source
mouse (recombinant)
Quality Level
recombinant
expressed in HEK 293 cells
conjugate
unconjugated
antibody form
purified antibody
antibody product type
primary antibodies
clone
F6, recombinant monoclonal, monoclonal
product line
ZooMAb® learn more
form
lyophilized
mol wt
calculated mol wt 36.95 kDa, observed mol wt ~38 kDa
species reactivity
human, mouse
species reactivity (predicted by homology)
rabbit, rat
packaging
antibody small pack of 25 μL
greener alternative product characteristics
Waste Prevention
Designing Safer Chemicals
Design for Energy Efficiency
Learn more about the Principles of Green Chemistry.
enhanced validation
recombinant expression
Learn more about Antibody Enhanced Validation
sustainability
Greener Alternative Product
technique(s)
immunocytochemistry: suitable, immunohistochemistry (formalin-fixed, paraffin-embedded sections): suitable, western blot: suitable
isotype
IgG1
UniProt accession no.
greener alternative category
shipped in
ambient
storage temp.
2-8°C
target post-translational modification
unmodified
Gene Information
human ... BMI1(648)
General description
Polycomb complex protein BMI-1 (UniProt: P35226; also known as Polycomb group RING finger protein 4, RING finger protein 51) is encoded by the BMI1 (also known as PCGF4, RNF51) gene (Gene ID: 100532731) in human. BMI-I (B cell-specific Moloney murine leukemia virus integration site 1) is a component of the polycomb repressive complex 1 (PRC1) that is required to maintain the transcriptionally repressive state of many genes, including Hox genes, throughout development. This complex acts via chromatin remodeling and modification of histones and mediates mono-ubiquitination of histone H2A lysine 119, rendering chromatin. The canonical PRC1 complex consists of four core subunits: CBX (polycomb; CBX2/4/6/7/8), PCGF (polycomb group factors; PCGF1 6), PHC (polyhomeotic homologues; PHC1/2/3), and RING E3 ligase (RING1A/B). BMI-I has three domains. The N-terminal RING domain, a central domain, and a C-terminal proline-rich domain. The RING domain forms a complex with RINGA/B proteins that constitutes the heterodimeric E3 ubiquitin ligase subunit of the PRC1 complex. The central is a ubiquitin-like (UBL) domain and is involved in protein-protein interactions and its binding partners include the polyhomeotic proteins (PHC1, PHC2, PHC3). The central domain of BMI-I is reported to be essential for its oncogenic activity and is shown to be essential for transcriptional repression activity. Higher expression of BMI1 gene is overexpressed in certain mantle cell lymphomas and several other cancers. This ZooMAb recombinant monoclonal antibody, generated by our propriety technology, offers significantly enhanced specificity, affinity, reproducibility, and stability over conventional monoclonals. (Ref.: Gray, F., et al. (2016). Nat. Commun. 7; 13343).
We are committed to bringing you greener alternative products, which adhere to one or more of The 12 Principles of Green Chemistry.This antibody is Preservative-free, produced without the harm or sacrifice of animals and exceptionally stable to allow for ambient shipping and storage if needed and thus aligns with "Waste Prevention", "Designing Safer Chemicals" and "Design for Energy Efficiency". Click here for more information.
ZooMAb antibodies represent an entirely new generation of recombinant monoclonal antibodies.
Each ZooMAb antibody is manufactured using our proprietary recombinant expression system, purified to homogeneity, and precisely dispensed to produce robust and highly reproducible lot-to-lot consistency. Only top-performing clones are released for use by researchers. Each antibody is validated for high specificity and affinity across multiple applications, including its most commonly used application. ZooMAb antibodies are reliably available and ready to ship when you need them.
Learn more about ZooMAb here.
Each ZooMAb antibody is manufactured using our proprietary recombinant expression system, purified to homogeneity, and precisely dispensed to produce robust and highly reproducible lot-to-lot consistency. Only top-performing clones are released for use by researchers. Each antibody is validated for high specificity and affinity across multiple applications, including its most commonly used application. ZooMAb antibodies are reliably available and ready to ship when you need them.
Learn more about ZooMAb here.
Immunogen
Recombinant fragment corresponding to the first 202 amino acids from Mouse Polycomb complex protein BMI-1.
Application
Anti-BMI-1, clone F6 ZooMAb, Cat. No. ZMS05637, is a recombinant mouse monoclonal antibody that specifically targets BMI-1 and is tested for use in Immunocytochemistry, Immunohistochemistry (Paraffin), and Western Blotting.
Western Blotting Analysis: A 1:1,000 dilution from a representative lot detected BMI-1 in U2OS cell lysate.
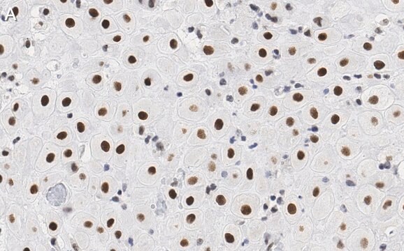
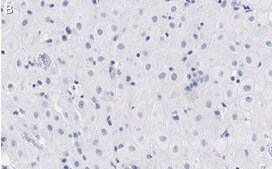
Immunohistochemistry (Paraffin) Analysis: A 1:100 dilution from a representative lot detected BMI-1 in human placenta tissue sections.
Immunocytochemistry Analysis: A 1:1,000 dilution from a representative lot detected BMI-1 in HeLa, A431, HUVEC and NIH 3T3 cells.
Note: Actual optimal working dilutions must be determined by end user as specimens, and experimental conditions may vary with the end user
Immunohistochemistry (Paraffin) Analysis: A 1:100 dilution from a representative lot detected BMI-1 in human placenta tissue sections.
Immunocytochemistry Analysis: A 1:1,000 dilution from a representative lot detected BMI-1 in HeLa, A431, HUVEC and NIH 3T3 cells.
Note: Actual optimal working dilutions must be determined by end user as specimens, and experimental conditions may vary with the end user
Biochem/physiol Actions
Clone F6 is a ZooMAb mouse recombinant monoclonal antibody that specifically detects BMI-I. It targets an epitope within the N-terminal region.
Physical form
Purified recombinant mouse monoclonal antibody IgG, lyophilized in PBS, 5% Trehalose, normal appearance a coarse or translucent resin. Contains no biocide or preservatives, such as azide, or any animal by-products. Larger pack sizes provided as multiples of 25 μL.
Preparation Note
Recommend storage of lyophilized product at 2-8°C; Before reconstitution, micro-centrifuge vials briefly to spin down material to bottom of the vial; Reconstitute each vial by adding 25 μL of filtered lab grade water or PBS; Reconstituted antibodies can be stored at 2-8°C, or -20°C for long term storage. Avoid repeated freeze-thaws.
Reconstitute lyophilized antibody pellet with 25μL of ultrapure water or Phosphate Buffered Saline (PBS). Please refer to our reconstitution protocol and the specific application guidance on the suggested starting dilutions and sample type.
Legal Information
ZooMAb is a registered trademark of Merck KGaA, Darmstadt, Germany
Disclaimer
Unless otherwise stated in our catalog or other company documentation accompanying the product(s), our products are intended for research use only and are not to be used for any other purpose, which includes but is not limited to, unauthorized commercial uses, in vitro diagnostic uses, ex vivo or in vivo therapeutic uses or any type of consumption or application to humans or animals.
Still not finding the right product?
试用我们的 产品选型工具 工具缩小选择范围
存储类别
11 - Combustible Solids
wgk
WGK 1
flash_point_f
Not applicable
flash_point_c
Not applicable
法规信息
常规特殊物品
此项目有
全球贸易项目编号
| 货号 | GTIN |
|---|---|
| ZMS05637-25UL | 04061842042722 |
| ZMS05637-4X25UL | 04061842042739 |