Quality Level
biological source
mouse (recombinant)
recombinant
expressed in HEK 293 cells
conjugate
unconjugated
antibody form
purified antibody
antibody product type
primary antibodies
clone
G10, recombinant monoclonal, monoclonal
product line
ZooMAb® learn more
form
lyophilized
mol wt
calculated mol wt 388.39 kDa, observed mol wt ~380-400 kDa
species reactivity
mouse, rat
species reactivity (predicted by homology)
human
packaging
antibody small pack of 25 μL
greener alternative product characteristics
Waste Prevention
Designing Safer Chemicals
Design for Energy Efficiency
Learn more about the Principles of Green Chemistry.
enhanced validation
recombinant expression
Learn more about Antibody Enhanced Validation
sustainability
Greener Alternative Product
technique(s)
immunocytochemistry: suitable, immunohistochemistry (formalin-fixed, paraffin-embedded sections): suitable, western blot: suitable
isotype
IgG1
UniProt accession no.
greener alternative category
shipped in
ambient
storage temp.
2-8°C
target post-translational modification
unmodified
Gene Information
mouse ... Reln(19699)
General description
Reelin (UniProt: P78509; also known as RELN) is encoded by the RELN gene (Gene ID: 5649) in human. Reelin is a large extracellular matrix glycoprotein with serine protease activity. It plays a role in brain development and layering of neurons in the cerebral cortex and cerebellum. It is abundantly produced during brain ontogenesis by the Cajal-Retzius cells and other neurons located in the telencephalic marginal zone and by granule cells of the external granular layer of the cerebellum. In adult brain, preferentially expressed in GABAergic interneurons of prefrontal cortices, temporal cortex, hippocampus and glutamatergic granule cells of cerebellum. It is also expressed in the retina, liver, thyroid gland, adrenal gland, fallopian tube, and breast tissue. Reelin is shown to regulate the positioning of neurons, as well as neurotransmission and memory formation. It also regulates microtubule function in neurons and neuronal migration and affects migration of sympathetic preganglionic neurons in the spinal cord, where it seems to act as a barrier to neuronal migration. It is synthesized with a signal peptide (aa 1-25) that is subsequently cleaved off. The mature form ahs 8 EGF-like domains and its Reelin domain is located in amino acids 26-190. Reelin participates in canonical signaling via binding to VLDL receptor and apolipoprotein E receptor 2 and induces tyrosine phosphorylation of the adaptor protein disabled 1 (Dab1) by Src kinases. Phosphorylated Dab1 in-turn activates downstream signaling, including the PI3-kinase-dependent pathways. Mutations in RELN gene have been linked to familial temporal lobe epilepsy and Lissencephaly that is associated with ataxia, mental retardation, and seizures. This ZooMAb recombinant monoclonal antibody, generated by our propriety technology, offers significantly enhanced specificity, affinity, reproducibility, and stability over conventional monoclonals. (Ref.: Mikulska-Ruminska, K., et al. (2019). Sci. Rep. 9; 18974; Dlugosz, P. and Nimpf, J. (2018). J. Mol. Sci. 19(10); E3090 ).
We are committed to bringing you greener alternative products, which adhere to one or more of The 12 Principles of Green Chemistry.This antibody is Preservative-free, produced without the harm or sacrifice of animals and exceptionally stable to allow for ambient shipping and storage if needed and thus aligns with "Waste Prevention", "Designing Safer Chemicals" and "Design for Energy Efficiency". Click here for more information.
ZooMAb antibodies represent an entirely new generation of recombinant monoclonal antibodies.
Each ZooMAb antibody is manufactured using our proprietary recombinant expression system, purified to homogeneity, and precisely dispensed to produce robust and highly reproducible lot-to-lot consistency. Only top-performing clones are released for use by researchers. Each antibody is validated for high specificity and affinity across multiple applications, including its most commonly used application. ZooMAb antibodies are reliably available and ready to ship when you need them.
Learn more about ZooMAb here.
Each ZooMAb antibody is manufactured using our proprietary recombinant expression system, purified to homogeneity, and precisely dispensed to produce robust and highly reproducible lot-to-lot consistency. Only top-performing clones are released for use by researchers. Each antibody is validated for high specificity and affinity across multiple applications, including its most commonly used application. ZooMAb antibodies are reliably available and ready to ship when you need them.
Learn more about ZooMAb here.
Immunogen
A recombinant fragment corresponding to 333 amino acids from the N-terminal region of human Reelin.
Application
Anti-Reelin, clone G10 ZooMAb, Cat. No. ZMS1025, is a recombinant Mouse monoclonal antibody that specifically targets Reelin and is tested for use in Immunocytochemistry, Immunohistochemistry (Paraffin)\, and Western Blotting.
Western Blotting Analysis: A 1:1,000 dilution from a representative lot detected Reelin in lysates from mouse E13-14 brain and rat E16 brain tissue.
Immunocytochemistry Analysis: A 1:1000 dilution from a representative lot detected Reelin in C6 cells.
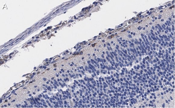
Immunohistochemistry (Paraffin) Analysis: A 1:100 dilution from a representative lot detected Reelin in E16.5 embryonic mouse brain tissue sections.
Note: Actual optimal working dilutions must be determined by end user as specimens, and experimental conditions may vary with the end user
Immunocytochemistry Analysis: A 1:1000 dilution from a representative lot detected Reelin in C6 cells.
Immunohistochemistry (Paraffin) Analysis: A 1:100 dilution from a representative lot detected Reelin in E16.5 embryonic mouse brain tissue sections.
Note: Actual optimal working dilutions must be determined by end user as specimens, and experimental conditions may vary with the end user
Biochem/physiol Actions
Clone G10 is a ZooMAb mouse recombinant monoclonal antibody that specifically detects Reelin. It targets an epitope within the N-terminal region.
Physical form
Purified recombinant mouse monoclonal antibody IgG, lyophilized in PBS with 5% Trehalose, normal appearance a coarse or translucent resin. Contains no biocide or preservatives, such as azide, or any animal by-products. Larger pack sizes provided as multiples of 25 μL.
Preparation Note
Recommend storage of lyophilized product at 2-8°C; Before reconstitution, micro-centrifuge vials briefly to spin down material to bottom of the vial; Reconstitute each vial by adding 25 μL of filtered lab grade water or PBS; Reconstituted antibodies can be stored at 2-8°C, or -20°C for long term storage. Avoid repeated freeze-thaws.
Reconstitute lyophilized antibody pellet with 25μL of ultrapure water or Phosphate Buffered Saline (PBS). Please refer to our reconstitution protocol and the specific application guidance on the suggested starting dilutions and sample type.
Legal Information
ZooMAb is a registered trademark of Merck KGaA, Darmstadt, Germany
Disclaimer
Unless otherwise stated in our catalog or other company documentation accompanying the product(s), our products are intended for research use only and are not to be used for any other purpose, which includes but is not limited to, unauthorized commercial uses, in vitro diagnostic uses, ex vivo or in vivo therapeutic uses or any type of consumption or application to humans or animals.
Still not finding the right product?
试用我们的 产品选型工具 工具缩小选择范围
存储类别
11 - Combustible Solids
wgk
WGK 1
flash_point_f
Not applicable
flash_point_c
Not applicable
法规信息
常规特殊物品
此项目有
全球贸易项目编号
| 货号 | GTIN |
|---|---|
| ZMS1025-25UL | 04061842100781 |
| ZMS1025-4X25UL | 04061842100798 |