biological source
mouse
Quality Level
recombinant
expressed in HEK 293 cells
conjugate
unconjugated
antibody form
purified antibody
antibody product type
primary antibodies
clone
20H5, recombinant monoclonal, monoclonal
product line
ZooMAb® learn more
form
lyophilized
mol wt
calculated mol wt ~19.46 kDa, observed mol wt ~18 kDa
species reactivity
human, mouse
species reactivity (predicted by homology)
Chlamydomonas reinhardtii, rat
packaging
antibody small pack of 25 μL
greener alternative product characteristics
Waste Prevention
Designing Safer Chemicals
Design for Energy Efficiency
Learn more about the Principles of Green Chemistry.
enhanced validation
recombinant expression
Learn more about Antibody Enhanced Validation
sustainability
Greener Alternative Product
technique(s)
immunofluorescence: suitable, immunohistochemistry (formalin-fixed, paraffin-embedded sections): suitable, western blot: suitable
isotype
IgG2a
UniProt accession no.
greener alternative category
shipped in
ambient
storage temp.
2-8°C
target post-translational modification
unmodified
General description
Caltractin (UniProt: P05434; also known as 20 kDa calcium-binding protein, Centrin) is encoded by the VFL2 gene (Gene ID: 5725094) in Chlamydomonas reinhardtii (algae). Centrin is a highly conserved calmodulin-like calcium-binding phospho-protein that contain four EF hands and are associated with centrosome-related structures. In Chlamydomonas reinhardtii, centrin is shown to play an essential role in microtubule severing during flagellar excision during which time stellate fibers of the transition zone contract and displace the microtubule doublets of the axoneme inward. The resulting shear force and torsional load generated during inward displacement leads to microtubule severing immediately distal to the central cylinder of the transition zone. Centrin is also present is all eukaryotic cells and contain four helix-loop-helix motifs that all conform to the EF-hand consensus for Ca2+ binding. Two of these motifs exhibit high affinity for Ca2+ two display lower affinity. Stability of centrin is regulated by phosphorylation of serine residue in the C-terminal region by aurora kinase A, which also localizes with centrin at the centrosome. Their levels are shown to be the highest from prophase to metaphase stage followed by precipitous loss in the late stage of mitosis. In human breast cancers higher levels of aurora kinase A and phospho-centrin have been observed. This ZooMAb® recombinant monoclonal antibody, generated by our propriety technology, offers significantly enhanced specificity, affinity, reproducibility, and stability over conventional monoclonals. (Ref.: Sanders, MA., and Salisbury, JL. (1994). J. Cell Biol. 24(5); 795-805; Lutz, W., et al. (2001). J. Biol. Chem. 276(23); 20774-20780; Lukasiewicz, KB., et al. (2011). PLoS ONE 6(6); e21291).
We are committed to bringing you greener alternative products, which adhere to one or more of The 12 Principles of Green Chemistry.This antibody is Preservative-free, produced without the harm or sacrifice of animals and exceptionally stable to allow for ambient shipping and storage if needed and thus aligns with "Waste Prevention", "Designing Safer Chemicals" and "Design for Energy Efficiency". Click here for more information.
ZooMAb antibodies represent an entirely new generation of recombinant monoclonal antibodies.
Each ZooMAb antibody is manufactured using our proprietary recombinant expression system, purified to homogeneity, and precisely dispensed to produce robust and highly reproducible lot-to-lot consistency. Only top-performing clones are released for use by researchers. Each antibody is validated for high specificity and affinity across multiple applications, including its most commonly used application. ZooMAb antibodies are reliably available and ready to ship when you need them.
Each ZooMAb antibody is manufactured using our proprietary recombinant expression system, purified to homogeneity, and precisely dispensed to produce robust and highly reproducible lot-to-lot consistency. Only top-performing clones are released for use by researchers. Each antibody is validated for high specificity and affinity across multiple applications, including its most commonly used application. ZooMAb antibodies are reliably available and ready to ship when you need them.
Immunogen
Recombinant Chalamydomonas reinhardtii centrin.
Application
Quality Control Testing
Evaluated by Western Blotting in Mouse testis tissue lysate.
Western Blotting Analysis: A 1:10,000 dilution of this antibody detected Centrin in Mouse testis tissue lysate.
Tested Applications
Western Blotting Analysis: A 1:10,000 dilution from a representative lot detected Centrin in human testis tissue lysate.
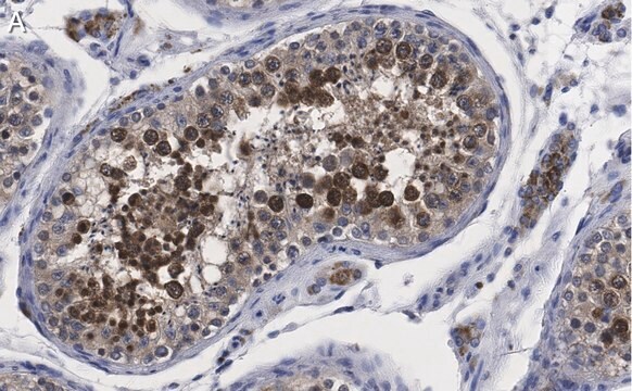
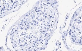
Immunohistochemistry (Paraffin) Analysis: A 1:100 dilution from a representative lot detected Centrin in human testis tissue sections.
Immunofluorescence Analysis: A 1:100 dilution from a representative lot detected Centrin in human testis tissue sections.
Note: Actual optimal working dilutions must be determined by end user as specimens, and experimental conditions may vary with the end user
Evaluated by Western Blotting in Mouse testis tissue lysate.
Western Blotting Analysis: A 1:10,000 dilution of this antibody detected Centrin in Mouse testis tissue lysate.
Tested Applications
Western Blotting Analysis: A 1:10,000 dilution from a representative lot detected Centrin in human testis tissue lysate.
Immunohistochemistry (Paraffin) Analysis: A 1:100 dilution from a representative lot detected Centrin in human testis tissue sections.
Immunofluorescence Analysis: A 1:100 dilution from a representative lot detected Centrin in human testis tissue sections.
Note: Actual optimal working dilutions must be determined by end user as specimens, and experimental conditions may vary with the end user
Anti-Centrin, clone 20H5 ZooMAb®, Cat. No. ZMS1054, is a recombinant Mouse monoclonal antibody that specifically targets Centrin and is tested for use in Immunofluorescence, Immunohistochemistry (Paraffin), and Western Blotting.
Biochem/physiol Actions
Clone 20H5 is a ZooMAb® mouse recombinant monoclonal antibody that specifically detects centrin (Caltractin). It targets an epitope within the C-terminal region.
Physical form
Purified recombinant mouse monoclonal antibody IgG, lyophilized in PBS, 5% Trehalose, normal appearance a coarse or translucent resin. Contains no biocide or preservatives, such as azide, or any animal by-products. Larger pack sizes provided as multiples of 25 μL.
Preparation Note
Recommend storage of lyophilized product at 2-8°C; Before reconstitution, micro-centrifuge vials briefly to spin down material to bottom of the vial; Reconstitute each vial by adding 25 μL of filtered lab grade water or PBS; Reconstituted antibodies can be stored at 2-8°C, or -20°C for long term storage. Avoid repeated freeze-thaws.
Reconstitute lyophilized antibody pellet with 25μL of ultrapure water or Phosphate Buffered Saline (PBS). Please refer to our reconstitution protocol and the specific application guidance on the suggested starting dilutions and sample type.
Legal Information
ZooMAb is a registered trademark of Merck KGaA, Darmstadt, Germany
Disclaimer
Unless otherwise stated in our catalog or other company documentation accompanying the product(s), our products are intended for research use only and are not to be used for any other purpose, which includes but is not limited to, unauthorized commercial uses, in vitro diagnostic uses, ex vivo or in vivo therapeutic uses or any type of consumption or application to humans or animals.
Still not finding the right product?
试用我们的 产品选型工具 工具缩小选择范围
存储类别
11 - Combustible Solids
wgk
WGK 1
法规信息
常规特殊物品
常规特殊物品
此项目有
全球贸易项目编号
| 货号 | GTIN |
|---|---|
| ZMS1054-4X25UL | 04065265876001 |
| ZMS1054-25UL | 04065265876230 |