biological source
mouse
Quality Level
recombinant
expressed in HEK 293 cells
conjugate
unconjugated
antibody form
purified antibody
antibody product type
primary antibodies
clone
2B1, recombinant monoclonal
product line
ZooMAb® learn more
form
lyophilized
mol wt
calculated mol wt 31.85 kDa, observed mol wt ~36 kDa
purified by
using protein G
species reactivity
human
packaging
antibody small pack of 25 μL
greener alternative product characteristics
Waste Prevention
Designing Safer Chemicals
Design for Energy Efficiency
Learn more about the Principles of Green Chemistry.
enhanced validation
recombinant expression
Learn more about Antibody Enhanced Validation
sustainability
Greener Alternative Product
technique(s)
flow cytometry: suitable, immunocytochemistry: suitable, immunohistochemistry: suitable, western blot: suitable
epitope sequence
Unknown
Protein ID accession no.
UniProt accession no.
greener alternative category
shipped in
ambient
storage temp.
2-8°C
target post-translational modification
unmodified
Gene Information
human ... SMN1(6606)
General description
Survival motor neuron protein (UniProt: Q16637; also known as Component of gems 1, Gemin-1) is encoded by the SMN1 (also known as SMN, SMNT) gene (Gene ID: 6606) in human. SMN1 is a homooligomeric protein that is expressed in a wide variety of tissues. Its higher expression is observed in brain, kidney, and liver. The SMN complex catalyzes the assembly of small nuclear ribonucleoproteins (snRNPs) and thereby plays an important role in the splicing of cellular pre-mRNAs. It may also play a role in the metabolism of small nucleolar ribonucleoprotein (snoRNPs). Within the SMN complex, it acts as a structural backbone and together with GEMIN2 it gathers the Sm complex subunits. The SMN protein contains several functional motifs: a basic/lysine-rich domain, a Tudor domain (aa 91-151), a proline-rich domain and a YG box. The basic/lysine-rich region interacts with Gemin2 and RNA. The Tudor domain is a highly conserved and participates in protein-protein interaction. It binds to the C-terminal arginine- and glycine-rich tails of Sm proteins that contain symmetrical dimethylated arginine residues. Mutations in Tudor domain are shown to disrupt the interaction of SMN and Sm proteins. Mutations in SMN1 gene are known to cause spinal muscular atrophy. Four isoforms of SMN1 have been described that are produced by alternative splicing. This ZooMAb® recombinant monoclonal antibody, generated by our propriety technology, offers significantly enhanced specificity, affinity, reproducibility, and stability over conventional monoclonals.(Ref.: Chaytow, H., et al. (2018). Cell Mol. Life Sci. 75(21); 3877-3894; Pellizzoni, L., et al. (1998). Cell. 95(5); 615-624).
We are committed to bringing you greener alternative products, which adhere to one or more of The 12 Principles of Green Chemistry.This antibody is Preservative-free, produced without the harm or sacrifice of animals and exceptionally stable to allow for ambient shipping and storage if needed and thus aligns with "Waste Prevention", "Designing Safer Chemicals" and "Design for Energy Efficiency". Click here for more information.
ZooMAb® antibodies represent an entirely new generation of recombinant monoclonal antibodies. Each ZooMAb® antibody is manufactured using our proprietary recombinant expression system, purified to homogeneity, and precisely dispensed to produce robust and highly reproducible lot-to-lot consistency. Only top-performing clones are released for use by researchers. Each antibody is validated for high specificity and affinity across multiple applications, including its most commonly used application. ZooMAb® antibodies are reliably available and ready to ship when you need them.
Immunogen
His-tagged full-length, recombinant human Survival motor neuron protein (SMN).
Application
Quality Control Testing
Evaluated by Western Blotting in HeLa cell lysate.
Western Blotting Analysis: A 1:1,000 dilution of this antibody detected SMN in HeLa cell lysate.
Tested Applications
Western Blotting Analysis: A 1:1,000 dilution from a representative lot detected SMN in HepG2 cell lysates.
Flow Cytometry Analysis: 1 µg from a representative lot detected SMN in one million HeLa cells.
Immunocytochemistry Analysis: A 1:100 dilution from a representative lot detected SMN in HeLa cells.
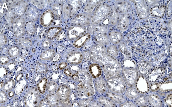
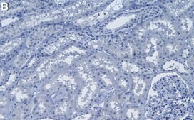
Immunohistochemistry (Paraffin) Analysis: A 1:100 dilution from a representative lot detected SMN in human cerebral cortex and human kidney tissue sections.
Note: Actual optimal working dilutions must be determined by end user as specimens, and experimental conditions may vary with the end user.
Evaluated by Western Blotting in HeLa cell lysate.
Western Blotting Analysis: A 1:1,000 dilution of this antibody detected SMN in HeLa cell lysate.
Tested Applications
Western Blotting Analysis: A 1:1,000 dilution from a representative lot detected SMN in HepG2 cell lysates.
Flow Cytometry Analysis: 1 µg from a representative lot detected SMN in one million HeLa cells.
Immunocytochemistry Analysis: A 1:100 dilution from a representative lot detected SMN in HeLa cells.
Immunohistochemistry (Paraffin) Analysis: A 1:100 dilution from a representative lot detected SMN in human cerebral cortex and human kidney tissue sections.
Note: Actual optimal working dilutions must be determined by end user as specimens, and experimental conditions may vary with the end user.
Biochem/physiol Actions
Clone 2B1 is a ZooMAb® Mouse recombinant monoclonal antibody that specifically detects Survival motor neuron protein (SMN).
Physical form
Purified recombinant mouse monoclonal antibody IgG, lyophilized in PBS, 5% Trehalose, normal appearance a coarse or translucent resin. The PBS/trehalose components in the ZooMAb formulation can have the appearance of a semi-solid (bead like gel) after lyophilization. This is a normal phenomenon. Please follow the recommended reconstitution procedure in the data sheet to dissolve the semi-solid, bead-like, gel-appearing material. The resulting antibody solution is completely stable and functional as proven by full functional testing. Contains no biocide or preservatives, such as azide, or any animal by-products. Larger pack sizes provided as multiples of 25 µL.
Preparation Note
Recommend storage of lyophilized product at 2-8°C; Before reconstitution, micro-centrifuge vials briefly to spin down material to bottom of the vial; Reconstitute each vial by adding 25 µL of filtered lab grade water or PBS; Reconstituted antibodies can be stored at 2-8°C, or -20°C for long term storage. Avoid repeated freeze-thaws.
Reconstitute lyophilized antibody pellet with 25μL of ultrapure water or Phosphate Buffered Saline (PBS). Please refer to our reconstitution protocol and the specific application guidance on the suggested starting dilutions and sample type.
Legal Information
ZooMAb is a registered trademark of Merck KGaA, Darmstadt, Germany
Disclaimer
Unless otherwise stated in our catalog or other company documentation accompanying the product(s), our products are intended for research use only and are not to be used for any other purpose, which includes but is not limited to, unauthorized commercial uses, in vitro diagnostic uses, ex vivo or in vivo therapeutic uses or any type of consumption or application to humans or animals.
Still not finding the right product?
试用我们的 产品选型工具 工具缩小选择范围
存储类别
11 - Combustible Solids
wgk
WGK 1
flash_point_f
Not applicable
flash_point_c
Not applicable
法规信息
常规特殊物品
此项目有
全球贸易项目编号
| 货号 | GTIN |
|---|---|
| ZMS1132-25UL | 04065269196563 |
| ZMS1132-4X25UL | 04065269196570 |