跳转至内容
Merck
CN

ZRB1150

Anti-Androgen Receptor Antibody, clone 3K11 , ZooMAb® Rabbit Monoclonal

greener alternative

recombinant, expressed in HEK 293 cells

别名:

Dihydrotestosterone receptor, Nuclear receptor subfamily 3 group C member 4

登录 查看组织和合同定价。

选择尺寸

变更视图

关于此项目

NACRES:
NA.43
UNSPSC Code:
12352203
Conjugate:
unconjugated
Clone:
3K11, recombinant monoclonal
Application:
ICC, IHC (p), WB
Citations:
-
技术服务
需要帮助?我们经验丰富的科学家团队随时乐意为您服务。
让我们为您提供帮助


biological source

rabbit (recombinant)

Quality Level

recombinant

expressed in HEK 293 cells

conjugate

unconjugated

antibody form

purified antibody

antibody product type

primary antibodies

clone

3K11, recombinant monoclonal

product line

ZooMAb® learn more

form

lyophilized

mol wt

calculated mol wt 99.19 kDa, observed mol wt ~105 kDa

species reactivity

rhesus macaque, mouse, human

species reactivity (predicted by homology)

canine, rat

packaging

antibody small pack of 25 μL

greener alternative product characteristics

Waste Prevention
Designing Safer Chemicals
Design for Energy Efficiency
Learn more about the Principles of Green Chemistry.

enhanced validation

recombinant expression
Learn more about Antibody Enhanced Validation

sustainability

Greener Alternative Product

technique(s)

immunocytochemistry: suitable, immunohistochemistry (formalin-fixed, paraffin-embedded sections): suitable, western blot: suitable

isotype

IgG

UniProt accession no.

greener alternative category

shipped in

ambient

storage temp.

2-8°C

target post-translational modification

unmodified

Gene Information

dog ... Ar(403588)
human ... AR(367)
mouse ... Ar(11835)
rat ... Ar(24208)
rhesus monkey ... Ar(574293)

General description

Androgen receptor (UniProt: P10275; also known as Dihydrotestosterone receptor, Nuclear receptor subfamily 3 group C member 4) is encoded by the AR (also known as DHTR, NR3C4) gene (Gene ID: 367) in human. Androgen receptor is a member of the family of NR3 ligand-dependent transcription factors that is composed of three domains: a modulating N-terminal domain, a DNA-binding domain and a C-terminal ligand-binding domain. In the presence of bound steroid, the ligand-binding domain interacts with the N-terminal modulating domain, and thereby activates AR transcription factor activity. It is predominantly cytoplasmic in its unlighted form, but translocates to the nucleus upon activation following ligand-binding and bind to DNA as homodimer. The androgen receptor associates with a number of adaptor-like proteins and functions as a complex that may induce or repress transcription depending on whether its associated proteins are co-activators or co-repressors that affect transcription possibly by modifying chromatin. Here co-activators are involved in histone acetylation and transcriptional activation whereas co-repressors are involved in histone deacetylation and transcriptional repression. The androgen receptor is considered to be important for determining sex and male characteristics. Defects in androgen receptor have been linked to metastatic prostate cancer. The mutated receptor stimulates prostate growth and metastases development despite of androgen ablation. Four different isoforms of androgen receptor have been described that are produced by alternative splicing. Isoform 3 and isoform 4 are reported to lack the C-terminal ligand-binding domain and therefore constitutively activate the transcription of a specific set of genes independently of steroid hormones. This ZooMAb recombinant monoclonal antibody, generated by our propriety technology, offers significantly enhanced specificity, affinity, reproducibility, and stability over conventional monoclonals.
We are committed to bringing you greener alternative products, which adhere to one or more of The 12 Principles of Green Chemistry.This antibody is Preservative-free, produced without the harm or sacrifice of animals and exceptionally stable to allow for ambient shipping and storage if needed and thus aligns with "Waste Prevention", "Designing Safer Chemicals" and "Design for Energy Efficiency". Click here for more information.
ZooMAb antibodies represent an entirely new generation of recombinant monoclonal antibodies.

Each ZooMAb antibody is manufactured using our proprietary recombinant expression system, purified to homogeneity, and precisely dispensed to produce robust and highly reproducible lot-to-lot consistency. Only top-performing clones are released for use by researchers. Each antibody is validated for high specificity and affinity across multiple applications, including its most commonly used application. ZooMAb antibodies are reliably available and ready to ship when you need them.

Learn more about ZooMAb here.

Immunogen

KLH-conjugated Linear Peptide corresponding to the N-terminal of Human Androgen Receptor.

Application

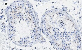
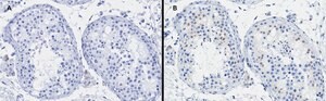
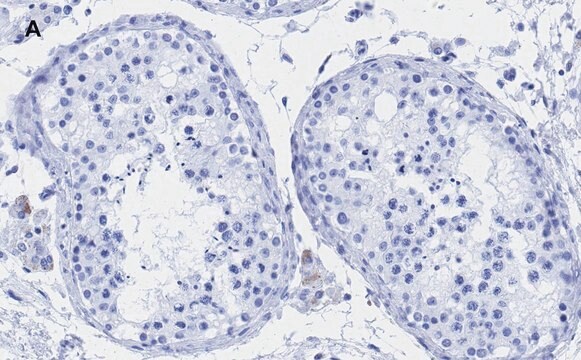
Anti-Androgen Receptor, clone 3K11 ZooMAb, Cat. No. ZRB1150, is a recombinant Rabbit monoclonal antibody that specifically targets Androgen Receptor and has been tested for use in Immunocytochemistry, Immunohistochemistry (Paraffin), and Western Blotting.
Immunocytochemistry Analysis: A 1:100 dilution from a representative lot detected Androgen Receptor in LNCaP cells.

Immunohistochemistry (Paraffin) Analysis: A 1:100 dilution from a representative lot detected Androgen Receptor in human testis tissue sections.

Note: Actual optimal working dilutions must be determined by the end user as specimens and experimental conditions may vary.

Biochem/physiol Actions

Clone 3K11 is a ZooMAb rabbit recombinant monoclonal antibody that specifically detects Androgen Receptor. It targets an epitope within the first 21 amino acids.

Physical form

Purified recombinant rabbit monoclonal antibody IgG, lyophilized in PBS with 5% Trehalose, normal appearance a coarse or translucent resin. Contains no biocide or preservatives, such as azide, or any animal by-products. Larger pack sizes provided as multiples of 25 μL.

Preparation Note

Recommend storage of lyophilized product at 2-8°C; Before reconstitution, micro-centrifuge vials briefly to spin down material to bottom of the vial; Reconstitute each vial by adding 25 μL of filtered lab grade water or PBS; Reconstituted antibodies can be stored at 2-8°C, or -20°C for long term storage. Avoid repeated freeze-thaws.
Reconstitute lyophilized antibody pellet with 25μL of ultrapure water or Phosphate Buffered Saline (PBS). Please refer to our reconstitution protocol and the specific application guidance on the suggested starting dilutions and sample type.

Legal Information

ZooMAb is a registered trademark of Merck KGaA, Darmstadt, Germany

Disclaimer

Unless otherwise stated in our catalog or other company documentation accompanying the product(s), our products are intended for research use only and are not to be used for any other purpose, which includes but is not limited to, unauthorized commercial uses, in vitro diagnostic uses, ex vivo or in vivo therapeutic uses or any type of consumption or application to humans or animals.


Still not finding the right product?

试用我们的 产品选型工具 工具缩小选择范围


存储类别

11 - Combustible Solids

wgk

WGK 2

法规信息

常规特殊物品

此项目有



历史批次信息供参考:

分析证书(COA)

Lot/Batch Number

没有发现合适的版本?

如果您需要特殊版本,可通过批号或批次号查找具体证书。

已有该产品?

在文件库中查找您最近购买产品的文档。

访问文档库



全球贸易项目编号

货号GTIN
ZRB1150-25UL04061841063117
ZRB1150-4X25UL04061841063124