跳转至内容
Merck
CN

ZRB1165

Anti-Myosin-9/MYH9 Antibody, clone 3O13 ZooMAb® Rabbit Monoclonal

greener alternative

recombinant, expressed in HEK 293 cells

别名:

Cellular myosin heavy chain type A;Myosin heavy chain 9;Myosin heavy chain non-muscle IIa;Non-muscle myosin heavy chain A;NMMHC-A;Non-muscle myosin heavy chain IIa;NMMHC II-a;NMMHC-IIA

登录 查看组织和合同定价。

选择尺寸

变更视图

关于此项目

NACRES:
NA.43
UNSPSC Code:
12352203
Conjugate:
unconjugated
Clone:
3O13, recombinant monoclonal
Application:
ICC, IHC, affinity binding assay
Citations:
-
技术服务
需要帮助?我们经验丰富的科学家团队随时乐意为您服务。
让我们为您提供帮助


biological source

rabbit

Quality Level

recombinant

expressed in HEK 293 cells

conjugate

unconjugated

antibody form

purified antibody

antibody product type

primary antibodies

clone

3O13, recombinant monoclonal

description

recombinant, expressed in HEK 293 cells

product line

ZooMAb® learn more

form

lyophilized

mol wt

calculated mol wt 226.53 kDa

purified by

using Protein A

species reactivity

human, mouse

packaging

antibody small pack of 25 μL

greener alternative product characteristics

Waste Prevention
Designing Safer Chemicals
Design for Energy Efficiency
Learn more about the Principles of Green Chemistry.

enhanced validation

recombinant expression
Learn more about Antibody Enhanced Validation

sustainability

Greener Alternative Product

technique(s)

affinity binding assay: suitable, immunocytochemistry: suitable, immunohistochemistry: suitable

isotype

IgG

epitope sequence

C-terminus

Protein ID accession no.

UniProt accession no.

greener alternative category

shipped in

ambient

storage temp.

2-8°C

target post-translational modification

unmodified

Gene Information

human ... MYH9(4627)

General description

ZooMAb® antibodies represent an entirely new generation of recombinant monoclonal antibodies.Each ZooMAb® antibody is manufactured using our proprietary recombinant expression system, purified to homogeneity, and precisely dispensed to produce robust and highly reproducible lot-to-lot consistency. Only top-performing clones are released for use by researchers. Each antibody is validated for high specificity and affinity across multiple applications, including its most commonly used application. ZooMAb® antibodies are reliably available and ready to ship when you need them.
Myosin-9 (UniProt: P35579; also known as Cellular myosin heavy chain type A, Myosin heavy chain 9, Myosin heavy chain non-muscle IIa, Non-muscle myosin heavy chain A, NMMHC-A, Non-muscle myosin heavy chain IIa, NMMHC II-a, NMMHC-IIA) is encoded by the MYH9 gene (Gene ID: 4627) in human. Myosins are highly conserved, ubiquitously expressed proteins that form regular bipolar thick filaments that together with actin thin filaments constitute the fundamental contractile unit of skeletal and cardiac muscle. Along with actin they serve as motor molecules with ATPase activity that is essential for muscle contraction. Myosin consists of 2 heavy chain subunits (MHC), 2 light chain subunits (MLC) and 2 regulatory light chain subunits (MLC-2). MLC-2C plays an important role in regulation of both smooth muscle and non-muscle cell contractile activity via its phosphorylation. Myosin-9 is a cellular myosin that is expressed in kidney and leukocytes. Its actin-binding region is localized in amino acids 654-676. Its rod-like tail sequence is highly repetitive, showing cycles of a 28-residue repeat pattern composed of 4 heptapeptides that is characteristic for -helical coiled coils. Myosin-9 plays a role in cytokinesis, cell shape, secretion, and capping. It is also required for cortical actin clearance prior to oocyte exocytosis. It promotes cell motility in conjunction with A100A4 protein. During cell spreading, myosin-9 is reported to play a role in cytoskeleton reorganization, focal contact formation, and lamellipodial retraction. Genetic variations in MYH9 have been linked with non-diabetic end stage renal disease. This ZooMAb® recombinant monoclonal antibody, generated by our propriety technology, offers significantly enhanced specificity, affinity, reproducibility, and stability over conventional monoclonals. (Ref.: Pazik, J., et al. (2020). BMC Nephrol. 21; Article 380; Li, Z-H., and Bresnick, AR. (2006). Cancer Res. 66(10); 5173-5180).
We are committed to bringing you greener alternative products, which adhere to one or more of The 12 Principles of Green Chemistry.This antibody is Preservative-free, produced without the harm or sacrifice of animals and exceptionally stable to allow for ambient shipping and storage if needed and thus aligns with "Waste Prevention", "Designing Safer Chemicals" and "Design for Energy Efficiency". Click here for more information.

Immunogen

KLH-conjugated linear peptide corresponding to 16 amino acids from the C-terminal region of human Myosin-9 (MYH9).

Application

Quality Control Testing

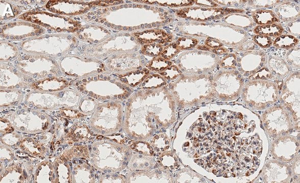
Evaluated by Immunohistochemistry (Paraffin) in Human kidney tissue sections.

Immunohistochemistry (Paraffin) Analysis: A 1:100 dilution of this antibody detected Myosin-9/MYH9 in Human kidney tissue sections.

Tested Applications

Immunocytochemistry Analysis: A 1:1,000 dilution from a representative lot detected Myosin-9/MYH9 in C2C12 cells.

Affinity Binding Assay: A representative lot of this antibody bound Myosin-9 peptide with a KD of 2.1 x 10-8 in an affinity binding assay.

Note: Actual optimal working dilutions must be determined by end user as specimens, and experimental conditions may vary with the end user.

Biochem/physiol Actions

Clone 3O13 is a ZooMAb® Rabbit recombinant monoclonal antibody that specifically detects Mysosin-9 (MYH9). It targets an epitope within 16 amino acids from the C-terminal region.

Physical form

Purified recombinant rabbit monoclonal antibody IgG, lyophilized in PBS with 5% Trehalose, normal appearance a coarse or translucent resin. The PBS/trehalose components in the ZooMAb formulation can have the appearance of a semi-solid (bead like gel) after lyophilization. This is a normal phenomenon. Please follow the recommended reconstitution procedure in the data sheet to dissolve the semi-solid, bead-like, gel-appearing material. The resulting antibody solution is completely stable and functional as proven by full functional testing. Contains no biocide or preservatives, such as azide, or any animal by-products. Larger pack sizes provided as multiples of 25 μL.

Preparation Note

Recommend storage of lyophilized product at 2-8°C; Before reconstitution, micro-centrifuge vials briefly to spin down material to bottom of the vial; Reconstitute each vial by adding 25 μL of filtered lab grade water or PBS; Reconstituted antibodies can be stored at 2-8°C, or -20°C for long term storage. Avoid repeated freeze-thaws.
Reconstitute lyophilized antibody pellet with 25μL of ultrapure water or Phosphate Buffered Saline (PBS). Please refer to our reconstitution protocol and the specific application guidance on the suggested starting dilutions and sample type.

Legal Information

ZooMAb is a registered trademark of Merck KGaA, Darmstadt, Germany

Disclaimer

Unless otherwise stated in our catalog or other company documentation accompanying the product(s), our products are intended for research use only and are not to be used for any other purpose, which includes but is not limited to, unauthorized commercial uses, in vitro diagnostic uses, ex vivo or in vivo therapeutic uses or any type of consumption or application to humans or animals.


Still not finding the right product?

试用我们的 产品选型工具 工具缩小选择范围


存储类别

11 - Combustible Solids

wgk

WGK 1

flash_point_f

Not applicable

flash_point_c

Not applicable

法规信息

常规特殊物品

此项目有



历史批次信息供参考:

分析证书(COA)

Lot/Batch Number

It looks like we've run into a problem, but you can still download Certificates of Analysis from our 文件 section.

如需帮助,请联系 客户支持

已有该产品?

在文件库中查找您最近购买产品的文档。

访问文档库



全球贸易项目编号

货号GTIN
ZRB1165-25UL04065268029848
ZRB1165-4X25UL04065268029855