跳转至内容
Merck
CN

ZRB1315

Anti-VDAC1 Antibody, clone 3M22, ZooMAb® Rabbit Monoclonal

greener alternative

recombinant, expressed in HEK 293 cells

别名:

Outer mitochondrial membrane protein porin 1, Plasmalemmal porin, Porin 31HL, Porin 31HM, VDAC-1, Voltage-dependent anion-selective channel protein 1 1, hVDAC1

登录 查看组织和合同定价。

选择尺寸

变更视图

关于此项目

NACRES:
NA.41
UNSPSC Code:
12352203
Conjugate:
unconjugated
Clone:
3M22, monoclonal, recombinant monoclonal
Application:
ICC, IHC (p), WB
Citations:
-
技术服务
需要帮助?我们经验丰富的科学家团队随时乐意为您服务。
让我们为您提供帮助


biological source

rabbit (recombinant)

Quality Level

recombinant

expressed in HEK 293 cells

conjugate

unconjugated

antibody form

purified antibody

antibody product type

primary antibodies

clone

3M22, monoclonal, recombinant monoclonal

product line

ZooMAb® learn more

form

lyophilized

mol wt

calculated mol wt 30.77 kDa, observed mol wt ~35 kDa

species reactivity

mouse, human, rat

packaging

antibody small pack of 25 μL

greener alternative product characteristics

Waste Prevention
Designing Safer Chemicals
Design for Energy Efficiency
Learn more about the Principles of Green Chemistry.

enhanced validation

recombinant expression
Learn more about Antibody Enhanced Validation

sustainability

Greener Alternative Product

technique(s)

immunocytochemistry: suitable, immunohistochemistry (formalin-fixed, paraffin-embedded sections): suitable, western blot: suitable

isotype

IgG

UniProt accession no.

greener alternative category

shipped in

ambient

storage temp.

2-8°C

target post-translational modification

unmodified

Gene Information

mouse ... Vdac1(22333)

General description

Voltage-dependent anion-selective channel protein 1 (UniProt: P21796; also known as VDAC-1, hVDAC1, Outer mitochondrial membrane protein porin 1, Plasmalemmal porin, Porin 31HL, Porin 31HM) is encoded by the VDAC1 (also known as VDAC) gene (Gene ID: 7416) in human. VDAC1 is a multi-pass membrane protein that is expressed on the outer mitochondrial membrane (OMM). It is one of the most abundant proteins on OMM. It serves as the gatekeeper for the passages of metabolites, nucleotides, and ions and with its interaction with Bcl-2 it plays a crucial role in regulating apoptosis. VDAC1 consists mainly of a membrane-spanning beta-barrel formed by 19 beta-strands. Its helical N-terminus folds back into the pore opening and plays a role in voltage-gated channel activity. VDAC1 forms a channel through the mitochondrial membrane and is involved in small molecule diffusion, cell volume regulation and apoptosis. It also participates in the formation of the permeability transition pore complex that is responsible for the release of mitochondrial products that triggers apoptosis. VDAC1 adopts an open conformation at low or zero membrane potential and a closed conformation at potentials above 30-40 mV. The open state has a weak anion selectivity whereas the closed state is shown to be cation-selective and can transport K+, Na+ and Ca2+. This ZooMAb recombinant monoclonal antibody, generated by our propriety technology, offers significantly enhanced specificity, affinity, reproducibility, and stability over conventional monoclonals. (Ref.: Camara, AKS et al. (2017). Front. Physiol. 8; 460).
We are committed to bringing you greener alternative products, which adhere to one or more of The 12 Principles of Green Chemistry.This antibody is Preservative-free, produced without the harm or sacrifice of animals and exceptionally stable to allow for ambient shipping and storage if needed and thus aligns with "Waste Prevention", "Designing Safer Chemicals" and "Design for Energy Efficiency". Click here for more information.
ZooMAb antibodies represent an entirely new generation of recombinant monoclonal antibodies.

Each ZooMAb antibody is manufactured using our proprietary recombinant expression system, purified to homogeneity, and precisely dispensed to produce robust and highly reproducible lot-to-lot consistency. Only top-performing clones are released for use by researchers. Each antibody is validated for high specificity and affinity across multiple applications, including its most commonly used application. ZooMAb antibodies are reliably available and ready to ship when you need them.

Learn more about ZooMAb here.

Immunogen

His-tagged recombinant fragment corresponding to 150 amino acids from the C-terminal half of human Voltage-dependent anion-selective channel protein 1 (VDAC1).

Application

Anti-VDAC1, clone 3M22 ZooMAb, Cat. No. ZRB1315, is a recombinant rabbit monoclonal antibody that detects Voltage-dependent anion-selective channel protein 1 (VDAC1) and has been tested for use in Immunocytochemistry, Immunohistochemistry (Paraffin), and Western Blotting.
Western Blotting Analysis: A 1:1,000 dilution from a representative lot detected VDAC1 in HEK293, NIH3T3, and C6 cell lysate.

Immunocytochemistry Analysis: A 1:100 dilution from a representative lot detected VDAC1 in HeLa, A431, HUVEC, NIH 3T3, MCF-7, NTERA-2 cells.

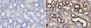
Immunohistochemistry (Paraffin) Analysis: A 1:1,000 dilution from a representative lot detected VDAC1 in human kidney and human heart tissue sections.

Note: Actual optimal working dilutions must be determined by end user as specimens, and experimental conditions may vary with the end user.

Biochem/physiol Actions

Clone 3M22 is a ZooMAb rabbit recombinant monoclonal antibody that specifically detects Voltage-dependent anion-selective channel protein 1 (VDAC1). It targets an epitope within the C-terminal half.

Physical form

Purified recombinant rabbit monoclonal antibody IgG, lyophilized in PBS with 5% Trehalose, normal appearance a coarse or translucent resin. Contains no biocide or preservatives, such as azide, or any animal by-products. Larger pack sizes provided as multiples of 25 μL.

Preparation Note

Recommend storage of lyophilized product at 2-8°C; Before reconstitution, micro-centrifuge vials briefly to spin down material to bottom of the vial; Reconstitute each vial by adding 25 μL of filtered lab grade water or PBS; Reconstituted antibodies can be stored at 2-8°C, or -20°C for long term storage. Avoid repeated freeze-thaws.
Reconstitute lyophilized antibody pellet with 25μL of ultrapure water or Phosphate Buffered Saline (PBS). Please refer to our reconstitution protocol and the specific application guidance on the suggested starting dilutions and sample type.

Legal Information

ZooMAb is a registered trademark of Merck KGaA, Darmstadt, Germany

Disclaimer

Unless otherwise stated in our catalog or other company documentation accompanying the product(s), our products are intended for research use only and are not to be used for any other purpose, which includes but is not limited to, unauthorized commercial uses, in vitro diagnostic uses, ex vivo or in vivo therapeutic uses or any type of consumption or application to humans or animals.


Still not finding the right product?

试用我们的 产品选型工具 工具缩小选择范围


存储类别

11 - Combustible Solids

wgk

WGK 2

flash_point_f

Not applicable

flash_point_c

Not applicable

法规信息

常规特殊物品

此项目有



历史批次信息供参考:

分析证书(COA)

Lot/Batch Number

没有发现合适的版本?

如果您需要特殊版本,可通过批号或批次号查找具体证书。

已有该产品?

在文件库中查找您最近购买产品的文档。

访问文档库



全球贸易项目编号

货号GTIN
ZRB1315-25UL04061841221401
ZRB1315-4X25UL04061841221418