跳转至内容
Merck
CN

ZRB1399

Anti-Involucrin Antibody, clone 1D13 ZooMAb® Rabbit Monoclonal

greener alternative

recombinant, expressed in HEK 293 cells

登录 查看组织和合同定价。

选择尺寸

变更视图

关于此项目

NACRES:
NA.43
UNSPSC Code:
12352203
Conjugate:
unconjugated
Clone:
1D13, recombinant monoclonal
Application:
ICC, IHC (p), WB, affinity binding assay
Citations:
-
技术服务
需要帮助?我们经验丰富的科学家团队随时乐意为您服务。
让我们为您提供帮助


biological source

rabbit

Quality Level

recombinant

expressed in HEK 293 cells

conjugate

unconjugated

antibody form

purified antibody

antibody product type

primary antibodies

clone

1D13, recombinant monoclonal

description

recombinant, expressed in HEK 293 cells

product line

ZooMAb® learn more

form

lyophilized

mol wt

calculated mol wt 64.48 kDa, observed mol wt ~120 kDa

species reactivity

human

packaging

antibody small pack of 25 μL

greener alternative product characteristics

Waste Prevention
Designing Safer Chemicals
Design for Energy Efficiency
Learn more about the Principles of Green Chemistry.

enhanced validation

recombinant expression
Learn more about Antibody Enhanced Validation

sustainability

Greener Alternative Product

technique(s)

affinity binding assay: suitable, immunocytochemistry: suitable, immunohistochemistry (formalin-fixed, paraffin-embedded sections): suitable, western blot: suitable

isotype

IgG

epitope sequence

N-terminus

Protein ID accession no.

UniProt accession no.

greener alternative category

shipped in

ambient

storage temp.

2-8°C

target post-translational modification

unmodified

General description

Involucrin (UniProt: P07476) is encoded by the IVL gene (Gene ID: 3713) in human. Involucrin is a soluble cell envelope protein that appears in free form in the early stages of keratinocyte terminal differentiation. Following its synthesis, Involucrin is initially present in the cytosol component of keratinocytes and later becomes associates with membrane proteins. During the late stages of differentiation, it is cross-linked with proteins and lipids to form cornified cell envelopes in the uppermost cells of stratified epithelia. It is found in significant amounts in the upper two-thirds of the matrix, and to a lesser degree in the suprabasal layers. It serves as a substrate for trans-glutaminase and during envelope assembly it becomes cross-linked via transglutaminase to itself and to a variety of other cornified envelope components, including desmoplankin and envoplankin. Involucrin is a reliable differentiation marker that is expressed by irreversibly differentiated keratinocytes in the stratum corneum and its expression is increased in sun-damaged skin. It is an oxygen-related protein and its levels are shown to increase with increasing hypoxia in confluent cultures of moderately differentiated human SCC9 cells. Structurally, it consists of a series of repeats, each consisting of ten amino acid repeats with a sequence QEGQLKHLEQ. This ZooMAb® recombinant monoclonal antibody, generated by our propriety technology, offers significantly enhanced specificity, affinity, reproducibility, and stability over conventional monoclonals. (Ref.: Chou, SC., et al. (2004). Br. J. Cancer. 90(3); 728-735; Li, ER., et al. (2000). Exp. Dematol. 9(6); 431-438; Eckert, RL., et al. (1993). J. Invest. Dermatol. 100(5); 613-617).
We are committed to bringing you greener alternative products, which adhere to one or more of The 12 Principles of Green Chemistry.This antibody is Preservative-free, produced without the harm or sacrifice of animals and exceptionally stable to allow for ambient shipping and storage if needed and thus aligns with "Waste Prevention", "Designing Safer Chemicals" and "Design for Energy Efficiency". Click here for more information.
ZooMAb® antibodies represent an entirely new generation of recombinant monoclonal antibodies.

Each ZooMAb® antibody is manufactured using our proprietary recombinant expression system, purified to homogeneity, and precisely dispensed to produce robust and highly reproducible lot-to-lot consistency. Only top-performing clones are released for use by researchers. Each antibody is validated for high specificity and affinity across multiple applications, including its most commonly used application. ZooMAb® antibodies are reliably available and ready to ship when you need them.

Learn more about ZooMAb here.

Immunogen

His-tagged recombinant fragment corresponding the first 152 amino acids from the N-terminal region of human Involucrin.

Application

Quality Control Testing

Evaluated by Western Blotting in Jurkat cell lysate.

Western Blotting Analysis: A 1:1,000 dilution of this antibody detected Involucrin in Jurkat cell lysate.

Tested applications

Western Blotting Analysis: A 1:1,000 dilution from a representative lot detected Involucrin in Human skin and A431 cell lysates.

Affinity Binding Assay: A representative lot of this antibody bound recombinant human Involucrin fragment with a KD of 1.0 x 10-12 in an affinity binding assay.

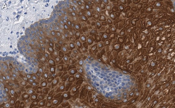
Immunohistochemistry (Paraffin) Analysis: A 1:1,000 dilution from a representative lot detected Involucrin in human esophagus tissue sections.

Immunocytochemistry Analysis: A 1:100 dilution from a representative lot detected Involucrin in MCF-7 cells.

Note: Actual optimal working dilutions must be determined by end user as specimens, and experimental conditions may vary with the end user
Anti-Involucrin, clone 1D13 ZooMAb®, Cat. No. ZRB1399, is a recombinant Rabbit monoclonal antibody that detects Involucrin and is tested for use in Affinity Binding Assay, Immunocytochemistry, Immunohistochemistry (Paraffin), and Western Blotting.

Biochem/physiol Actions

Clone 1D13 is a ZooMAb® rabbit recombinant monoclonal antibody that specifically detects human Involucrin. It targets an epitope within the N-terminal region.

Physical form

Purified recombinant rabbit monoclonal antibody IgG, lyophilized in PBS with 5% Trehalose, normal appearance a coarse or translucent resin. The PBS/trehalose components in the ZooMAb formulation can have the appearance of a semi-solid (bead like gel) after lyophilization. This is a normal phenomenon. Please follow the recommended reconstitution procedure in the data sheet to dissolve the semi-solid, bead-like, gel-appearing material. The resulting antibody solution is completely stable and functional as proven by full functional testing. Contains no biocide or preservatives, such as azide, or any animal by-products. Larger pack sizes provided as multiples of 25 μL.

Preparation Note

Recommend storage of lyophilized product at 2-8°C; Before reconstitution, micro-centrifuge vials briefly to spin down material to bottom of the vial; Reconstitute each vial by adding 25 μL of filtered lab grade water or PBS; Reconstituted antibodies can be stored at 2-8°C, or -20°C for long term storage. Avoid repeated freeze-thaws.
Reconstitute lyophilized antibody pellet with 25μL of ultrapure water or Phosphate Buffered Saline (PBS). Please refer to our reconstitution protocol and the specific application guidance on the suggested starting dilutions and sample type.

Legal Information

ZooMAb is a registered trademark of Merck KGaA, Darmstadt, Germany

Disclaimer

Unless otherwise stated in our catalog or other company documentation accompanying the product(s), our products are intended for research use only and are not to be used for any other purpose, which includes but is not limited to, unauthorized commercial uses, in vitro diagnostic uses, ex vivo or in vivo therapeutic uses or any type of consumption or application to humans or animals.


Still not finding the right product?

试用我们的 产品选型工具 工具缩小选择范围


存储类别

11 - Combustible Solids

wgk

WGK 1

flash_point_f

Not applicable

flash_point_c

Not applicable

法规信息

常规特殊物品

此项目有



历史批次信息供参考:

分析证书(COA)

Lot/Batch Number

没有发现合适的版本?

如果您需要特殊版本,可通过批号或批次号查找具体证书。

已有该产品?

在文件库中查找您最近购买产品的文档。

访问文档库



全球贸易项目编号

货号GTIN
ZRB1399-25UL04065266119237
ZRB1399-4X25UL04065266119244