biological source
rabbit
Quality Level
recombinant
expressed in HEK 293 cells
conjugate
unconjugated
antibody form
purified antibody
antibody product type
primary antibodies
clone
1F11, recombinant monoclonal
description
1F11 Clone
product line
ZooMAb® learn more
form
lyophilized
mol wt
calculated mol wt 74.59 kDa, observed mol wt ~65 kDa
purified by
using Protein A
species reactivity
human
species reactivity (predicted by homology)
monkey
packaging
antibody small pack of 25 μL
greener alternative product characteristics
Waste Prevention
Designing Safer Chemicals
Design for Energy Efficiency
Learn more about the Principles of Green Chemistry.
enhanced validation
recombinant expression
Learn more about Antibody Enhanced Validation
technique(s)
ELISA: suitable, affinity binding assay: suitable, immunohistochemistry: suitable, western blot: suitable
isotype
IgG
epitope sequence
N-terminal half
Protein ID accession no.
UniProt accession no.
greener alternative category
shipped in
ambient
storage temp.
2-8°C
Gene Information
human ... ATF6(22926)
General description
Cyclic AMP-dependent transcription factor ATF-6 alpha (UniProt: P18850; also known as cAMP-dependent transcription factor ATF-6 alpha, Activating transcription factor 6 alpha, ATF6-alpha) is encoded by the ATF6 gene (Gene ID: 22926) in human. ATF6 is an endoplasmic reticulum (ER)-localized protein that is involved in transducing signals linked to ER stress. It is responsible for the correct folding, secretion, and membrane insertion of a vast majority of proteins in eukaryotic cells. Two homologous ATF6 proteins, ATF6α and ATF6β, are expressed in mammalian cells. Their C-terminal region protrudes into the ER lumen, whereas the N-terminal faces the cytosol. Although ATF6α and ATF6β display significant sequence homology, they exhibit divergent transcriptional activation domains. ATF6α is a single-pass type II membrane protein with a cytoplasmic domain (aa 1-377), a transmembrane domain (aa 378-398), and a lumenal domain (aa 399-670). It is a homodimeric protein that can form heterodimer with ATF6β. This dimer interacts with the nuclear transcription factor Y (NF-Y) trimer through direct binding to NF-Y subunit C (NF-YC). ATF6α is a potent transcriptional activator whereas ATF6β is a poor transcriptional activator, and may even inhibit activation by ATF6α. ER stress is known to promote its processing that releases N-terminal transcription factor form that translocates into the nucleus, where it activates transcription of genes involved in unfolded protein response (UPR). Mutations in ATF6 gene are known to cause Achromatopsia 7 (ACHM7), an ocular stationary disorder due to the absence of functioning cone photoreceptors in the retina. It is characterized by total colorblindness, low visual acuity, photophobia, and nystagmus. This ZooMAb® recombinant monoclonal antibody, generated by our propriety technology, offers significantly enhanced specificity, affinity, reproducibility, and stability over conventional monoclonals. (Ref.: Hillary, RF., and FitzGerald, U. (2018). J. Biomed. Sci. 25; Article 48; Thuerauf , DJ., et al. (2007). J. Biol. Chem. 282(31); 22865-22878; Yoshida, H., et al. (2001). Mol. Biol. Cell. 21(4); 1239-1248; Haze, K., et al. (1999). Mol. Biol. Cell. 10(11); 3787-3799).
We are committed to bringing you greener alternative products, which adhere to one or more of The 12 Principles of Green Chemistry. This antibody is Preservative-free, produced without the harm or sacrifice of animals and exceptionally stable to allow for ambient shipping and storage if needed and thus aligns with "Waste Prevention", "Designing Safer Chemicals" and "Design for Energy Efficiency". Click here for more information.
ZooMAb® antibodies represent an entirely new generation of recombinant monoclonal antibodies. Each ZooMAb® antibody is manufactured using our proprietary recombinant expression system, purified to homogeneity, and precisely dispensed to produce robust and highly reproducible lot-to-lot consistency. Only top-performing clones are released for use by researchers. Each antibody is validated for high specificity and affinity across multiple applications, including its most commonly used application. ZooMAb® antibodies are reliably available and ready to ship when you need them.
Immunogen
KLH-conjugated linear peptide corresponding to 25 amino acids from the N-terminal half of human ATF6 .
Application
Quality Control Testing
Evaluated by Western Blotting in MCF-7 cell lysate.
Western Blotting Analysis (WB): A 1:10,000 dilution of this antibody detected ATF6 in MCF-7 cell lysate.
Tested Applications
Western Blotting Analysis: A 1:10,000 dilution from a representative lot detected ATF6 in lysates from HeLa and HEK293 cells.
Affinity Binding Assay: A representative lot of this antibody bound ATF6 peptide with a KD of 2.0 x 10-7 in an affinity binding assay.
Enzyme Immunoassay (ELISA) Analysis: A serial of dilutions from a representative lot detected GST-tagged recombinant fragment of Human ATF6 .
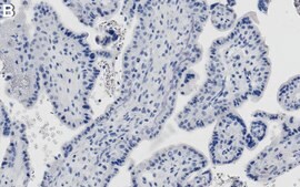
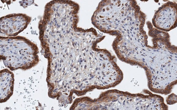
Immunohistochemistry (Paraffin) Analysis: A 1:100 dilution from a representative lot detected ATF6 in human placenta tissue sections.
Note: Actual optimal working dilutions must be determined by end user as specimens, and experimental conditions may vary with the end user.
Evaluated by Western Blotting in MCF-7 cell lysate.
Western Blotting Analysis (WB): A 1:10,000 dilution of this antibody detected ATF6 in MCF-7 cell lysate.
Tested Applications
Western Blotting Analysis: A 1:10,000 dilution from a representative lot detected ATF6 in lysates from HeLa and HEK293 cells.
Affinity Binding Assay: A representative lot of this antibody bound ATF6 peptide with a KD of 2.0 x 10-7 in an affinity binding assay.
Enzyme Immunoassay (ELISA) Analysis: A serial of dilutions from a representative lot detected GST-tagged recombinant fragment of Human ATF6 .
Immunohistochemistry (Paraffin) Analysis: A 1:100 dilution from a representative lot detected ATF6 in human placenta tissue sections.
Note: Actual optimal working dilutions must be determined by end user as specimens, and experimental conditions may vary with the end user.
Biochem/physiol Actions
Clone 1F11 is a ZooMAb® rabbit recombinant monoclonal antibody that specifically detects ATF6 . It targets an epitope within 25 amino acids from the N-terminal half.
Physical form
Purified recombinant rabbit monoclonal antibody IgG, lyophilized in PBS, 5% Trehalose, normal appearance a coarse or translucent resin. The PBS/trehalose components in the ZooMAb formulation can have the appearance of a semi-solid (bead like gel) after lyophilization. This is a normal phenomenon. Please follow the recommended reconstitution procedure in the data sheet to dissolve the semi-solid, bead-like, gel-appearing material. The resulting antibody solution is completely stable and functional as proven by full functional testing. Contains no biocide or preservatives, such as azide, or any animal by-products. Larger pack sizes provided as multiples of 25 µL.
Preparation Note
Recommend storage of lyophilized product at 2-8°C; Before reconstitution, micro-centrifuge vials briefly to spin down material to bottom of the vial; Reconstitute each vial by adding 25 µL of filtered lab grade water or PBS; Reconstituted antibodies can be stored at 2-8°C, or -20°C for long term storage. Avoid repeated freeze-thaws.
Reconstitute lyophilized antibody pellet with 25μL of ultrapure water or Phosphate Buffered Saline (PBS). Please refer to our reconstitution protocol and the specific application guidance on the suggested starting dilutions and sample type.
Other Notes
Concentration: Please refer to the Certificate of Analysis for the lot-specific concentration.
Legal Information
ZooMAb is a registered trademark of Merck KGaA, Darmstadt, Germany
Disclaimer
Unless otherwise stated in our catalog or other company documentation accompanying the product(s), our products are intended for research use only and are not to be used for any other purpose, which includes but is not limited to, unauthorized commercial uses, in vitro diagnostic uses, ex vivo or in vivo therapeutic uses or any type of consumption or application to humans or animals.
Still not finding the right product?
试用我们的 产品选型工具 工具缩小选择范围
存储类别
11 - Combustible Solids
wgk
WGK 1
flash_point_f
Not applicable
flash_point_c
Not applicable
法规信息
常规特殊物品
此项目有
全球贸易项目编号
| 货号 | GTIN |
|---|---|
| ZRB1913-25UL | 04065269847274 |
| ZRB1913-4X25UL | 04065269847281 |