跳转至内容
Merck
CN

ZRB2108

Anti-Musashi-1 Antibody, clone 2I14 ZooMAb® Rabbit Monoclonal

greener alternative

recombinant, expressed in HEK 293 cells

别名:

RNA-binding protein Musashi homolog 1

登录 查看组织和合同定价。

选择尺寸

变更视图

关于此项目

NACRES:
NA.43
UNSPSC Code:
12352203
Conjugate:
unconjugated
Clone:
2I14, recombinant monoclonal
Application:
FACS, IHC, WB, affinity binding assay
Citations:
-
技术服务
需要帮助?我们经验丰富的科学家团队随时乐意为您服务。
让我们为您提供帮助


biological source

rabbit

Quality Level

recombinant

expressed in HEK 293 cells

conjugate

unconjugated

antibody form

purified antibody

antibody product type

primary antibodies

clone

2I14, recombinant monoclonal

description

2I14 Clone

product line

ZooMAb® learn more

form

lyophilized

mol wt

calculated mol wt 39.13 kDa, observed mol wt ~39 kDa

purified by

using Protein A

species reactivity

human, mouse

species reactivity (predicted by homology)

porcine, bovine, sheep, nonhuman primates

packaging

antibody small pack of 25 μL

greener alternative product characteristics

Waste Prevention
Designing Safer Chemicals
Design for Energy Efficiency
Learn more about the Principles of Green Chemistry.

enhanced validation

recombinant expression
Learn more about Antibody Enhanced Validation

sustainability

Greener Alternative Product

technique(s)

affinity binding assay: suitable, flow cytometry: suitable, immunohistochemistry: suitable, western blot: suitable

isotype

IgG

epitope sequence

N-terminal

Protein ID accession no.

UniProt accession no.

greener alternative category

shipped in

ambient

storage temp.

2-8°C

target post-translational modification

unmodified

Gene Information

human ... MSI1(4440)

General description

We are committed to bringing you greener alternative products, which adhere to one or more of The 12 Principles of Green Chemistry.This antibody is Preservative-free, produced without the harm or sacrifice of animals and exceptionally stable to allow for ambient shipping and storage if needed and thus aligns with "Waste Prevention", "Designing Safer Chemicals" and "Design for Energy Efficiency". Click here for more information.
ZooMAb® antibodies represent an entirely new generation of recombinant monoclonal antibodies.Each ZooMAb® antibody is manufactured using our proprietary recombinant expression system, purified to homogeneity, and precisely dispensed to produce robust and highly reproducible lot-to-lot consistency. Only top-performing clones are released for use by researchers. Each antibody is validated for high specificity and affinity across multiple applications, including its most commonly used application. ZooMAb® antibodies are reliably available and ready to ship when you need them.
RNA-binding protein Musashi homolog 1 (UniProt: O43347; also known as Musashi-1) is encoded by the MSI1 gene (Gene ID: 4440) in human. Musashi-1 is a highly conserved RNA binding protein that regulates the expression of target mRNAs at the translation level. It contains two RNA recognition motifs (RRM1: aa 20-110 and RRM2: aa 109-186) and the first RRM binds more strongly to RNA compared to the second one. It binds RNA containing the sequence 5′-GUUAGUUAGUUAGUU-3′ and other sequences containing the pattern 5′-[GA]U1-3AGU-3′. Musashi-1 was first described in Drosophila where it was shown to block translation of Numb, a negative regulator of Notch 4 and Trk69. In mammalian system it is reported to maintain the proliferation of multipotential neural stem/progenitor cells, and it is rapidly downregulated in post-mitotic neurons. Its upregulation is reported in tumors originating from neural stem cells. It is over-expressed in glioblastoma (GBM) and serves as an unfavorable prognostic marker of GBM. It promotes cancer stem cell properties in GBM via upregulation of YTH N6-Methyladenosine RNA Binding Protein 1 (YTHDF1). Musashi-1-transduced mammary epithelial cells express CD24hi/Sca-1+ and CD24hi/CD29+ phenotypes that has been linked expansion of multipotent progenitor cells. Musashi-1-transduced cells are also shown to express a higher percentage of cytokeratin (CK) 6 and 19 and double-positive CK14/CK18 cells that are a mixture of stem and progenitor cells. Musashi-1 is detected in fetal kidney, brain, liver, and lung, and in adult brain and pancreas. This ZooMAbZooMAb® recombinant monoclonal antibody, generated by our propriety technology, offers significantly enhanced specificity, affinity, reproducibility, and stability over conventional monoclonals. (Ref.: Yarmishyn, AA., et al. (2020). Cancer Cell International volume 20; Article number: 597; Glazer, RI., et al. (2008). Cell Cycle. 7(17); 2635-2639).

Immunogen

KLH-conjugated linear peptide corresponding to 19 amino acids from the N-terminal region of human RNA-binding protein Musashi-1.

Application

Quality Control Testing

Evaluated by Western Blotting in SH-SY5Y cell lysate.

Western Blotting Analysis: A 1:1,000 dilution of this antibody detected Musashi- 1 in SH-SY5Y cell lysate.

Tested applications

Western Blotting Analysis: A 1:1,000 dilution from a representative lot detected Musashi-1 in Neuro2A cell lysate.

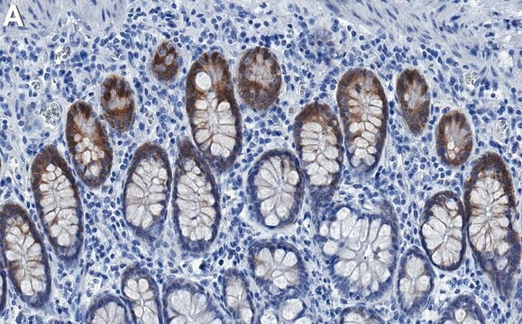
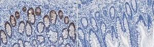
Immunohistochemistry (Paraffin) Analysis: A 1:100 dilution from a representative lot detected Musashi-1 in human small intestine tissue sections.

Affinity Binding Assay: A representative lot of this antibody bound Musashi-1 peptide with a KD of 6.0 x 10-6 in an affinity binding assay.

Flow Cytometry Analysis: 0.1 μg from a representative lot detected Musashi-1 in one million SH-SY5Y cells.

Note: Actual optimal working dilutions must be determined by end user as specimens, and experimental conditions may vary with the end user

Evaluated by Western Blotting in SH-SY5Y cell lysate.

Western Blotting Analysis: A 1:1,000 dilution of this antibody detected Musashi- 1 in SH-SY5Y cell lysate.

Biochem/physiol Actions

Clone 2I14 is a ZooMAb® Rabbit recombinant monoclonal antibody that specifically detects RNA-binding protein Musashi-1. It targets an epitope within 19 amino acids from the N-terminal region.

Physical form

Purified recombinant rabbit monoclonal antibody IgG, lyophilized in PBS, 5% Trehalose, normal appearance a coarse or translucent resin. The PBS/trehalose components in the ZooMAb formulation can have the appearance of a semi-solid (bead like gel) after lyophilization. This is a normal phenomenon. Please follow the recommended reconstitution procedure in the data sheet to dissolve the semi-solid, bead-like, gel-appearing material. The resulting antibody solution is completely stable and functional as proven by full functional testing. Contains no biocide or preservatives, such as azide, or any animal by-products. Larger pack sizes provided as multiples of 25 μL.

Preparation Note

Recommend storage of lyophilized product at 2-8°C; Before reconstitution, micro-centrifuge vials briefly to spin down material to bottom of the vial; Reconstitute each vial by adding 25 μL of filtered lab grade water or PBS; Reconstituted antibodies can be stored at 2-8°C, or -20°C for long term storage. Avoid repeated freeze-thaws.
Reconstitute lyophilized antibody pellet with 25μL of ultrapure water or Phosphate Buffered Saline (PBS). Please refer to our reconstitution protocol and the specific application guidance on the suggested starting dilutions and sample type.

Legal Information

ZooMAb is a registered trademark of Merck KGaA, Darmstadt, Germany

Disclaimer

Unless otherwise stated in our catalog or other company documentation accompanying the product(s), our products are intended for research use only and are not to be used for any other purpose, which includes but is not limited to, unauthorized commercial uses, in vitro diagnostic uses, ex vivo or in vivo therapeutic uses or any type of consumption or application to humans or animals.


Still not finding the right product?

试用我们的 产品选型工具 工具缩小选择范围


存储类别

11 - Combustible Solids

wgk

WGK 1

flash_point_f

Not applicable

flash_point_c

Not applicable

法规信息

常规特殊物品

此项目有



历史批次信息供参考:

分析证书(COA)

Lot/Batch Number

没有发现合适的版本?

如果您需要特殊版本,可通过批号或批次号查找具体证书。

已有该产品?

在文件库中查找您最近购买产品的文档。

访问文档库



全球贸易项目编号

货号GTIN
ZRB2108-25UL04065268792858
ZRB2108-4X25UL04065268792865