biological source
rabbit
Quality Level
recombinant
expressed in HEK 293 cells
conjugate
unconjugated
antibody form
purified antibody
antibody product type
primary antibodies
clone
1D9, recombinant monoclonal
description
recombinant, expressed in HEK 293 cells
product line
ZooMAb® learn more
form
lyophilized
mol wt
calculated mol wt 104.85 kDa
purified by
using Protein A
species reactivity
human
packaging
antibody small pack of 25
greener alternative product characteristics
Waste Prevention
Designing Safer Chemicals
Design for Energy Efficiency
Learn more about the Principles of Green Chemistry.
enhanced validation
recombinant expression
Learn more about Antibody Enhanced Validation
sustainability
Greener Alternative Product
technique(s)
affinity binding assay: suitable, immunocytochemistry: suitable, immunohistochemistry: suitable, western blot: suitable
isotype
IgG
epitope sequence
N-terminal
Protein ID accession no.
UniProt accession no.
greener alternative category
shipped in
ambient
storage temp.
2-8°C
Gene Information
human ... ACTN4(81)
General description
ZooMAb® antibodies represent an entirely new generation of recombinant monoclonal antibodies. Each ZooMAb® antibody is manufactured using our proprietary recombinant expression system, purified to homogeneity, and precisely dispensed to produce robust and highly reproducible lot-to-lot consistency. Only top-performing clones are released for use by researchers. Each antibody is validated for high specificity and affinity across multiple applications, including its most commonly used application. ZooMAb® antibodies are reliably available and ready to ship when you need them.
Alpha-actinin-4 (UniProt: O43707; also known as Non-muscle alpha-actinin 4) is encoded by the ACTN4 gene (Gene ID: 81) in human. -Actinin 4 is a widely expressed, homodimeric, F-actin cross-linking protein that anchors actin to a variety of intracellular structures. It is a rod-shaped protein that forms head-to-tail homodimers. It contains an N-terminal actin binding domain (aa 1-269), four spectrin repeats, and two C-terminal EF hands (aa 765-800 and 806-841). It also contains a LXXLL motif (aa 84-88) that meditates its interaction with nuclear receptors. -Actinin 4 is involved in tight junction assembly in epithelial cells probably through interaction with Molecule interacting with CasL-like 2 (MICALL2). It links MICALL2 to the actin cytoskeleton and recruits it to the tight junctions. It may also function as a transcriptional coactivator, stimulating transcription mediated by the nuclear hormone receptors PPAR and retinoic acid receptor (RARA). Mutations in ACTN4 gene are lin
We are committed to bringing you greener alternative products, which adhere to one or more of The 12 Principles of Green Chemistry.This antibody is Preservative-free, produced without the harm or sacrifice of animals and exceptionally stable to allow for ambient shipping and storage if needed and thus aligns with "Waste Prevention", "Designing Safer Chemicals" and "Design for Energy Efficiency". Click here for more information.
Immunogen
KLH-conjugated linear peptide corresponding to 17 amino acids from the N-terminal region of human -Actinin 4.
Application
Quality Control Testing
Evaluated by Western Blotting in HeLa cell lysate.
Western Blotting Analysis: A 1:1,000 dilution of this antibody detected -Actinin 4 in HeLa cell lysate.
Tested Applications
Western Blotting Analysis: A 1:1,000 dilution from a representative lot detected GST-tagged, full-length, recombinant Human -Actinin 4.
Immunocytochemistry Analysis: A 1:100 dilution from a representative lot detected -Actinin 4 in A549 cells.
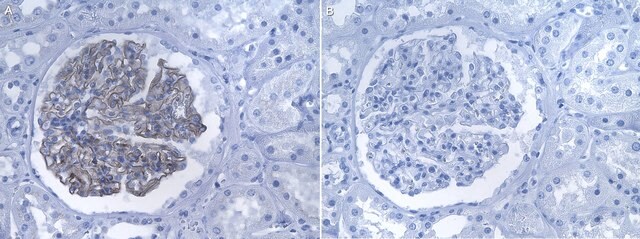
Immunohistochemistry (Paraffin) Analysis: A 1:100 dilution from a representative lot detected -Actinin 4 in Human kidney tissue section.
Affinity Binding Assay:: A representative lot of this antibody bound -Actinin 4 peptide with a KD of 3.8 x 10-6 in an affinity binding assay.
Note: Actual optimal working dilutions must be determined by end user as specimens, and experimental conditions may vary with the end user.
Evaluated by Western Blotting in HeLa cell lysate.
Western Blotting Analysis: A 1:1,000 dilution of this antibody detected -Actinin 4 in HeLa cell lysate.
Tested Applications
Western Blotting Analysis: A 1:1,000 dilution from a representative lot detected GST-tagged, full-length, recombinant Human -Actinin 4.
Immunocytochemistry Analysis: A 1:100 dilution from a representative lot detected -Actinin 4 in A549 cells.
Immunohistochemistry (Paraffin) Analysis: A 1:100 dilution from a representative lot detected -Actinin 4 in Human kidney tissue section.
Affinity Binding Assay:: A representative lot of this antibody bound -Actinin 4 peptide with a KD of 3.8 x 10-6 in an affinity binding assay.
Note: Actual optimal working dilutions must be determined by end user as specimens, and experimental conditions may vary with the end user.
Biochem/physiol Actions
Clone 1D9 is a ZooMAb® rabbit recombinant monoclonal antibody that specifically detects -Actinin 4. It targets an epitope within 17 amino acids from the N-terminal region.
Physical form
Purified recombinant rabbit monoclonal antibody IgG, lyophilized in PBS with 5% Trehalose, normal appearance a coarse or translucent resin. The PBS/trehalose components in the ZooMAb formulation can have the appearance of a semi-solid (bead like gel) after lyophilization. This is a normal phenomenon. Please follow the recommended reconstitution procedure in the data sheet to dissolve the semi-solid, bead-like, gel-appearing material. The resulting antibody solution is completely stable and functional as proven by full functional testing. Contains no biocide or preservatives, such as azide, or any animal by-products. Larger pack sizes provided as multiples of 25 µL.
Preparation Note
Recommend storage of lyophilized product at 2-8°C; Before reconstitution, micro-centrifuge vials briefly to spin down material to bottom of the vial; Reconstitute each vial by adding 25 µL of filtered lab grade water or PBS; Reconstituted antibodies can be stored at 2-8°C, or -20°C for long term storage. Avoid repeated freeze-thaws.
Reconstitute lyophilized antibody pellet with 25μL of ultrapure water or Phosphate Buffered Saline (PBS). Please refer to our reconstitution protocol and the specific application guidance on the suggested starting dilutions and sample type.
Legal Information
ZooMAb is a registered trademark of Merck KGaA, Darmstadt, Germany
Disclaimer
Unless otherwise stated in our catalog or other company documentation accompanying the product(s), our products are intended for research use only and are not to be used for any other purpose, which includes but is not limited to, unauthorized commercial uses, in vitro diagnostic uses, ex vivo or in vivo therapeutic uses or any type of consumption or application to humans or animals.
Still not finding the right product?
试用我们的 产品选型工具 工具缩小选择范围
存储类别
11 - Combustible Solids
wgk
WGK 1
flash_point_f
Not applicable
flash_point_c
Not applicable
法规信息
常规特殊物品
此项目有
全球贸易项目编号
| 货号 | GTIN |
|---|---|
| ZRB2240-25UL | 04065270333582 |
| ZRB2240-4X25UL | 04065270333599 |