biological source
rabbit
Quality Level
recombinant
expressed in HEK 293 cells
conjugate
unconjugated
antibody form
purified antibody
antibody product type
primary antibodies
clone
recombinant monoclonal
description
clone 1H6 , recombinant, expressed in HEK 293 cells
product line
ZooMAb® learn more
form
lyophilized
mol wt
calculated mol wt 66.32 kDa, observed mol wt ~65 kDa
purified by
using Protein A
species reactivity
mouse, rat, human
packaging
antibody small pack of 25
greener alternative product characteristics
Waste Prevention
Designing Safer Chemicals
Design for Energy Efficiency
Learn more about the Principles of Green Chemistry.
enhanced validation
recombinant expression
Learn more about Antibody Enhanced Validation
sustainability
Greener Alternative Product
technique(s)
affinity binding assay: suitable, immunocytochemistry: suitable, immunohistochemistry: suitable, western blot: suitable
isotype
IgG
epitope sequence
Internal
Protein ID accession no.
UniProt accession no.
greener alternative category
shipped in
ambient
storage temp.
2-8°C
Gene Information
human ... RAP1GDS1(5910)
General description
Rap1 GTPase-GDP dissociation stimulator (UniProt: P52306; also known as Exchange factor smgGDS, SMG GDS protein, SMG P21 stimulatory GDP/GTP exchange protein) is encoded by the RAP1GDS1 (also known as SMGGDS) gene (Gene ID: 5910) in human. RAP1GDS1 acts as a guanine nucleotide exchange factor (GEF) for the Rho family of small G proteins that stimulate the dissociation of GDP to enable subsequent binding of GTP. Its nuclear export signal is localized in amino acids 4 to 13 and residues 379-428 are reported to be essential for its catalytic activity. It chaperones the processing and/or trafficking of small GTPases containing a C-terminal polybasic region independently of the GEF activity. It is reported to regulate mitochondrial dynamics by controlling RHOT function to promote mitochondrial fission during high calcium conditions. It can promote the Ca2+ release from the endoplasmic reticulum (ER) via both IP3 and ryanodine sensitive receptors leading to enhanced mitochondrial Ca2+ uptake. Six isoforms of RAP1GDS1 have been described that are produced by alternative splicing. Isoform 1 acts as a GEF for unprenylated Ras homolog family member A (RhoA) and chaperones the entry and passage of small GTPases through the prenylation pathway. Isoform 2 acts as a GEF for prenylated RhoA and chaperones the downstream trafficking and/or processing of small prenylated GTPases. This ZooMAb® recombinant monoclonal antibody, generated by our propriety technology, offers significantly enhanced specificity, affinity, reproducibility, and stability over conventional monoclonals. (Ref.: Shimizu, H., et al. (2018). Proc. Natl. Acad. Sci. USA. 115(38); 9563-9568; Hsieh, Y-F., et al. (2013). PLoS One. 8(12); e81516; Hamel, B., et al. (2011). J. Biol. Chem. 286(14); 12141-12148).
We are committed to bringing you greener alternative products, which adhere to one or more of The 12 Principles of Green Chemistry. This antibody is Preservative-free, produced without the harm or sacrifice of animals and exceptionally stable to allow for ambient shipping and storage if needed and thus aligns with "Waste Prevention", "Designing Safer Chemicals" and "Design for Energy Efficiency". Click here for more information.
ZooMAb® antibodies represent an entirely new generation of recombinant monoclonal antibodies. Each ZooMAb® antibody is manufactured using our proprietary recombinant expression system, purified to homogeneity, and precisely dispensed to produce robust and highly reproducible lot-to-lot consistency. Only top-performing clones are released for use by researchers. Each antibody is validated for high specificity and affinity across multiple applications, including its most commonly used application. ZooMAb® antibodies are reliably available and ready to ship when you need them.
Immunogen
KLH-conjugated linear peptide corresponding to 23 amino acids from the internal region of human Rap1 GTPase-GDP dissociation stimulator (RAP1GDS1).
Application
Quality Control Testing
Evaluated by Western Blotting in SK-BR-3 cell lysate.
Western Blotting Analysis: A 1:10,000 dilution of this antibody detected RAP1GDS1 in SK-BR-3 cell lysate.
Tested Applications
Western Blotting Analysis: A 1:10,000 dilution from a representative lot detected RAP1GDS1 in lysates from A431 cells and Human brain tissue and 1:1,000 dilution detected RAP1GDS1 in lysates from Mouse and Rat brain tissue.
Affinity Binding Assay: A representative lot of this antibody bound RAP1GDS1 peptide with a KD of 2.7 x 10-7 in an affinity binding assay.
Immunocytochemistry Analysis: A 1:100 dilution from a representative lot detected RAP1GDS1 in A431 cells.
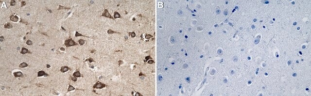
Immunohistochemistry (Paraffin) Analysis: A 1:100 dilution from a representative lot detected RAP1GDS1 in Human cerebral cortex tissue sections.
Note: Actual optimal working dilutions must be determined by end user as specimens, and experimental conditions may vary with the end user.
Evaluated by Western Blotting in SK-BR-3 cell lysate.
Western Blotting Analysis: A 1:10,000 dilution of this antibody detected RAP1GDS1 in SK-BR-3 cell lysate.
Tested Applications
Western Blotting Analysis: A 1:10,000 dilution from a representative lot detected RAP1GDS1 in lysates from A431 cells and Human brain tissue and 1:1,000 dilution detected RAP1GDS1 in lysates from Mouse and Rat brain tissue.
Affinity Binding Assay: A representative lot of this antibody bound RAP1GDS1 peptide with a KD of 2.7 x 10-7 in an affinity binding assay.
Immunocytochemistry Analysis: A 1:100 dilution from a representative lot detected RAP1GDS1 in A431 cells.
Immunohistochemistry (Paraffin) Analysis: A 1:100 dilution from a representative lot detected RAP1GDS1 in Human cerebral cortex tissue sections.
Note: Actual optimal working dilutions must be determined by end user as specimens, and experimental conditions may vary with the end user.
Biochem/physiol Actions
Clone 1H6 is a ZooMAb® rabbit recombinant monoclonal antibody that specifically detects Rap1 GTPase-GDP dissociation stimulator (RAP1GDS1). It targets an epitope within 23 amino acids from the internal region.
Physical form
Purified recombinant rabbit monoclonal antibody IgG, lyophilized in PBS with 5% Trehalose, normal appearance a coarse or translucent resin. The PBS/trehalose components in the ZooMAb formulation can have the appearance of a semi-solid (bead like gel) after lyophilization. This is a normal phenomenon. Please follow the recommended reconstitution procedure in the data sheet to dissolve the semi-solid, bead-like, gel-appearing material. The resulting antibody solution is completely stable and functional as proven by full functional testing. Contains no biocide or preservatives, such as azide, or any animal by-products. Larger pack sizes provided as multiples of 25 µL.
Preparation Note
Recommend storage of lyophilized product at 2-8°C; Before reconstitution, micro-centrifuge vials briefly to spin down material to bottom of the vial; Reconstitute each vial by adding 25 µL of filtered lab grade water or PBS; Reconstituted antibodies can be stored at 2-8°C, or -20°C for long term storage. Avoid repeated freeze-thaws.
Reconstitute lyophilized antibody pellet with 25μL of ultrapure water or Phosphate Buffered Saline (PBS). Please refer to our reconstitution protocol and the specific application guidance on the suggested starting dilutions and sample type.
Legal Information
ZooMAb is a registered trademark of Merck KGaA, Darmstadt, Germany
Disclaimer
Unless otherwise stated in our catalog or other company documentation accompanying the product(s), our products are intended for research use only and are not to be used for any other purpose, which includes but is not limited to, unauthorized commercial uses, in vitro diagnostic uses, ex vivo or in vivo therapeutic uses or any type of consumption or application to humans or animals.
Still not finding the right product?
试用我们的 产品选型工具 工具缩小选择范围
存储类别
11 - Combustible Solids
wgk
WGK 1
法规信息
常规特殊物品
此项目有
全球贸易项目编号
| 货号 | GTIN |
|---|---|
| ZRB2591-4X25UL | 04065270885661 |