biological source
rabbit
Quality Level
recombinant
expressed in HEK 293 cells
conjugate
unconjugated
antibody form
purified antibody
antibody product type
primary antibodies
clone
1H9, recombinant monoclonal
description
recombinant, expressed in HEK 293 cells
product line
ZooMAb® learn more
form
lyophilized
mol wt
calculated mol wt 41.6 kDa, observed mol wt ~52 kDa
purified by
using Protein A
species reactivity
human, mouse
packaging
antibody small pack of 25
greener alternative product characteristics
Waste Prevention
Designing Safer Chemicals
Design for Energy Efficiency
Learn more about the Principles of Green Chemistry.
enhanced validation
recombinant expression
Learn more about Antibody Enhanced Validation
sustainability
Greener Alternative Product
technique(s)
affinity binding assay: suitable, flow cytometry: suitable, immunohistochemistry: suitable, western blot: suitable
isotype
IgG
epitope sequence
N-terminal half
Protein ID accession no.
UniProt accession no.
greener alternative category
shipped in
ambient
storage temp.
2-8°C
Gene Information
human ... TCF7(6932)
General description
Transcription factor 7 (UniProt: P36402; also known as TCF-7, T-cell-specific transcription factor 1 (T-cell factor 1; TCF-1)) is encoded by the TCF7 (also known as TCF1) gene (Gene ID: 6932) in human. Transcription Factor 7 (TCF7), also known as T-cell factor 1 (TCF-1), is a member of the TCF/LEF family of transcription factors. It contains a High Mobility Group (HMG) box domain that facilitates DNA binding and a β-catenin binding domain. Multiple TCF7 isoforms can be categorized into two distinct groups; the full-length isoforms (FL-TCF7) act as transcription activators, and the dominant negative isoforms (dn-TCF7), lacking the N-terminal β-catenin binding domain, as transcription repressors. TCF7 is involved in various signaling pathways, such as Wnt, FoxO1, Notch, and P21. In the Wnt signaling pathway, TCF7 acts as a transcriptional regulator. When Wnt signaling is activated, TCF7 partners with β-catenin to regulate the expression of target genes involved in T cell development and differentiation and embryonic development. In cancer, dysregulation of TCF7 and the Wnt pathway can lead to uncontrolled cell proliferation and tumorigenesis. TCF7 is also involved in autoimmune and lung diseases. This ZooMAb® recombinant monoclonal antibody, generated by our proprietary technology, offers significantly enhanced specificity, affinity, reproducibility, and stability over conventional monoclonals. (Ref: Zhu, Y., et al., (2015), J Transl Med 13, 273)
We are committed to bringing you greener alternative products, which adhere to one or more of the 12 Principles of Green Chemistry. This antibody is preservative-free, produced without the harm or sacrifice of animals and exceptionally stable to allow for ambient shipping and storage if needed, and thus aligns with "Waste Prevention", "Designing Safer Chemicals" and "Design for Energy Efficiency". Click here for more information.
ZooMAb® antibodies represent an entirely new generation of recombinant monoclonal antibodies. Each ZooMAb® antibody is manufactured using our proprietary recombinant expression system, purified to homogeneity, and precisely dispensed to produce robust and highly reproducible lot-to-lot consistency. Only top-performing clones are released for use by researchers. Each antibody is validated for high specificity and affinity across multiple applications, including its most commonly used application. ZooMAb® antibodies are reliably available and ready to ship when you need them.
Immunogen
KLH-conjugated linear peptide corresponding to 25 amino acids from the N-terminal half of human TCF7/TCF1.
Application
Quality Control Testing
Evaluated by Western Blotting in EL4 cell lysate.
Western Blotting Analysis: A 1:1,000 dilution of this antibody detected TCF7/TCF1 in EL4 cell lysate.
Tested Applications
Western Blotting Analysis: A 1:1,000 dilution of this antibody detected TCF7/TCF1 in MOLT-4 cell lysate.
Affinity Binding Assay: A representative lot of this antibody bound with TCF7/TCF1 peptide with at least ten thousand-fold (10,000X) higher affinity than with non-specific control peptide.
Flow Cytometry Analysis: 1 µg from a representative lot detected TCF7/TCF1 in one million MOLT4 cells.
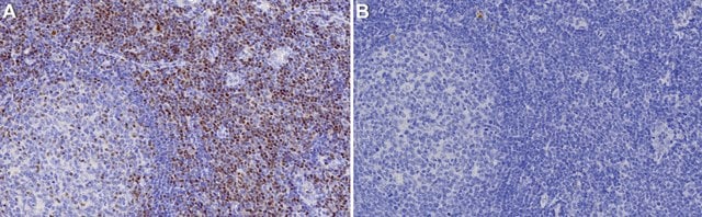
Immunohistochemistry (Paraffin) Analysis: A 1:100 dilution from a representative lot detected TCF7/TCF1 in human tonsil and human appendix tissue sections.
Note: Actual optimal working dilutions must be determined by end user as specimens, and experimental conditions may vary with the end user.
Evaluated by Western Blotting in EL4 cell lysate.
Western Blotting Analysis: A 1:1,000 dilution of this antibody detected TCF7/TCF1 in EL4 cell lysate.
Tested Applications
Western Blotting Analysis: A 1:1,000 dilution of this antibody detected TCF7/TCF1 in MOLT-4 cell lysate.
Affinity Binding Assay: A representative lot of this antibody bound with TCF7/TCF1 peptide with at least ten thousand-fold (10,000X) higher affinity than with non-specific control peptide.
Flow Cytometry Analysis: 1 µg from a representative lot detected TCF7/TCF1 in one million MOLT4 cells.
Immunohistochemistry (Paraffin) Analysis: A 1:100 dilution from a representative lot detected TCF7/TCF1 in human tonsil and human appendix tissue sections.
Note: Actual optimal working dilutions must be determined by end user as specimens, and experimental conditions may vary with the end user.
Biochem/physiol Actions
Clone 1H9 is a ZooMAb® rabbit recombinant monoclonal antibody that detects TCF7/TCF1. It targets an epitope within 25 amino acids from the N-terminal half.
Physical form
Purified recombinant rabbit monoclonal antibody IgG, lyophilized in PBS with 5% Trehalose, normal appearance a coarse or translucent resin. The PBS/trehalose components in the ZooMAb formulation can have the appearance of a semi-solid (bead like gel) after lyophilization. This is a normal phenomenon. Please follow the recommended reconstitution procedure in the data sheet to dissolve the semi-solid, bead-like, gel-appearing material. The resulting antibody solution is completely stable and functional as proven by full functional testing. Contains no biocide or preservatives, such as azide, or any animal by-products. Larger pack sizes provided as multiples of 25 µL.
Preparation Note
300 µg/mL after reconstitution at 25 µL per vial. Please refer to guidance on suggested starting dilutions and/or titers per application and sample type.
Recommend storage of lyophilized product at 2-8°C; Before reconstitution, micro-centrifuge vials briefly to spin down material to bottom of the vial; Reconstitute each vial by adding 25 µL of filtered lab grade water or PBS; Reconstituted antibodies can be stored at 2-8°C, or -20°C for long term storage. Avoid repeated freeze-thaws.
Legal Information
ZooMAb is a registered trademark of Merck KGaA, Darmstadt, Germany
Disclaimer
Unless otherwise stated in our catalog or other company documentation accompanying the product(s), our products are intended for research use only and are not to be used for any other purpose, which includes but is not limited to, unauthorized commercial uses, in vitro diagnostic uses, ex vivo or in vivo therapeutic uses or any type of consumption or application to humans or animals.
Still not finding the right product?
试用我们的 产品选型工具 工具缩小选择范围
存储类别
11 - Combustible Solids
wgk
WGK 2
flash_point_f
Not applicable
flash_point_c
Not applicable
法规信息
常规特殊物品
此项目有
全球贸易项目编号
| 货号 | GTIN |
|---|---|
| ZRB3134-25UL | 04065272492225 |
| ZRB3134-4X25UL | 04065272492232 |