Kapa Biosystems Taq DNA聚合酶和PCR试剂盒
用于DNA提取和扩增的Taq DNA聚合酶PCR试剂和试剂盒
DNA提取和扩增是分子生物学工作流程中的关键步骤,通常需要纯化的高质量DNA。Kapa Biosystems提供了稳健的的DNA聚合酶试剂和PCR试剂盒产品组合,可提取和扩增来自多种哺乳动物和植物的遗传物质。我们的Kapa Biosystems试剂和试剂盒含有革命性的热稳定聚合酶,专为推动您的下一个发现而设计,其在多种应用中拥有更高的灵敏度和特异性。
- KAPA Taq DNA聚合酶
- KAPA2G Fast多重试剂盒
- KAPA2G Robust DNA聚合酶
- KAPA长片段PCR系统
- KAPA小鼠基因分型试剂盒
- KAPA Express Extract提取试剂盒
- KAPA3G植物PCR试剂盒
KAPA Taq DNA聚合酶
适用于常规PCR的高品质、高性能Taq DNA聚合酶。
KAPA Taq DNA聚合酶基于水生嗜热菌的单亚基野生型Taq DNA聚合酶。KAPA Taq和KAPA Taq HotStart DNA聚合酶具有5'-3'聚合酶和5'-3'外切酶活性,但没有3'-5'外切酶校正活性。该酶的错误率约为每插入2.2 x 105个核苷酸发生1个错误。
KAPA Taq DNA聚合酶试剂盒适用于:
- 标准 PCR
- DNA标记
- DNA测序
- 要求高品质、热稳定DNA聚合酶的其他各种应用
优势包括:
- 更高的灵敏度、特异性和产量
- 新的缓冲液配方有利于特异性引物退火,从而提高特异性产物的产量

图 1.以100 ng、10 ng、1 ng或100 pg的人基因组DNA为模板对500 bp的CCR5基因片段进行扩增。与其他热启动产品相比,KAPA Taq HotStart表现出了更高的灵敏度、特异性和产量。所有反应都是按照制造商推荐的实验方案进行的。

图 2.采用KAPA Taq或KAPA Taq HotStart对支原体DNA中一段270 bp的扩增子进行扩增。从1 ng DNA开始使用10X的模板梯度稀释进行灵敏度测试。
KAPA2G FAST多重试剂盒
高速、高性能多重PCR。
KAPA2G Fast多重PCR试剂盒中包含一种通过定向进化而得到的二代(2G)酶。KAPA2G FAST HotStart DNA聚合酶是专为更高的持续扩增能力和速度而设计的一种抗体介导的热启动制剂,与野生型Taq聚合酶相比,其具有显著更快的延伸速率。除速度外,与其他竞品酶相比,KAPA2G Fast可为高阶多重PCR提供更高的产量和灵敏度。*
KAPA2G FAST多重试剂盒的特点:
- 均一性呈现所有扩增子
- 具有困难、富含 GC 靶标的成功多重 PCR
- 减少最多60%的PCR循环时间
- 延长时间短至 15 秒
- 在不影响性能情况下提高速度
- 使用预混液配方,基本无需优化

图 3.*采用KAPA2G Fast多重PCR试剂盒、竞品Q和竞品I进行多重PCR(8重)。反应体系(25 μL)包含有1X PCR预混液(KAPA和竞品Q)或1X PCR缓冲液、3 mM MgCl2、0.2 mM的每种dNTP和1 U的热启动Taq DNA聚合酶(自配多重试剂,竞品I)。采用人基因组DNA(250 - 2 ng每反应)作为模板,引物以每种0.2 μM提供。按照制造商的建议(30循环)进行热循环过程。

图 4.*采用KAPA2G Fast多重PCR试剂盒、竞品Q和竞品I进行多重PCR(12重)。由于扩增子长度、二级结构和引物效率差异而引起的扩增差异,使得在复杂的多重测定中实现所有扩增子的均一性呈现具有挑战性。反应体系(25 μL)包含有1X PCR预混液(KAPA和竞品Q)或1X PCR缓冲液、3 mM MgCl2、0.2 mM的每种dNTP和1 U的热启动Taq DNA聚合酶(自配多重试剂,竞品I)。模板采用人基因组DNA(250 - 2 ng每反应),引物以每种0.2 μM提供。按照制造商的建议(30循环)进行热循环过程。

图 5.基于KAPA2G Fast多重PCR试剂盒的快速多重PCR。采用野生型Taq的多重PCR通常需要更长的退火和延伸时间,以便多重体系中的所有引物都能完成退火和延伸。显示了采用KAPA2G Fast多重PCR试剂盒以及竞品Q多重PCR试剂盒(含有野生型Taq DNA聚合酶)进行4重、8重和12重多重PCR(30个循环,根据制造商的推荐设置)所需的总PCR循环时间。采用KAPA2G Fast多重PCR试剂可节省40 -60%的时间。

图 6.采用KAPA2G Fast多重PCR试剂盒、竞品Q和竞品I进行高GC多重PCR(6重)。采用野生型Taq成功进行多重PCR仅局限于那些具有相同扩增效率的简单靶标。经改造具有更高持续扩增能力的KAPA2G Fast DNA聚合酶可针对一系列广泛的困难靶标实现均一的多重PCR扩增。反应体系(25 μL)包含有1X PCR预混液(KAPA和竞品Q)或1X PCR缓冲液、3 mM MgCl2、0.2 mM的每种dNTP和1 U的热启动Taq DNA聚合酶(自配多重试剂,竞品I)。采用人基因组DNA(250 - 2 ng每反应)作为模板,引物以每种0.2 μM提供。向所有反应体系中加入DMSO(5%)和KAPA增强因子1(1X)。按照制造商的建议(30循环)进行热循环过程。扩增的大小范围为241 - 642 bp,GC含量范围为72.7 - 83.8%。
KAPA2G ROBUST DNA聚合酶
KAPA2G Robust DNA聚合酶经升级可解决多种扩增子类型(富含GC和AT)之间不一致扩增的问题。该产品可实现更高的持续扩增能力和特异性活性,进而转化为稳健的PCR性能、高灵敏度和对常见抑制剂更好的耐受性。该高性能试剂盒是适用于挑战性PCR应用和困难样本的理想选择,可免去使用多重酶和实验方案进行优化的必要。
KAPA2G Robust DNA聚合酶适合:
- 需要每单位酶更高产量的应用
- 菌落 PCR
- 耐受抑制剂残留和粗样品pcr(如FFPE)
- 使用HotStart或Readymix制剂的常规PCR
富含GC和AT靶标的有效扩增:
- 强力扩增富含 GC 和 AT 的模板
- 提高 PCR 成功率

图 7.将由该研究中所使用的96条引物组合中的72条引物获得的每种PCR产物的一半,用1% TBE琼脂糖凝胶进行电泳分析。按照GC含量升高的顺序进行扩增子上样,即每张合成胶图的左上角为最低的GC含量(27%,蓝色),而右下角为最高的GC含量(84%,红色)。该研究所选择使用的引物具有不同的引物长度、序列组成、理论熔解温度和其他设计参数。部分引物含有5’-尾,可用于使用M13或其他标准测序引物进行PCR后测序。A. 按照用户指南使用KAPA2G Robust HotStart ReadyMix进行反应(25 μL)。B. 采用与KAPA2G Robust相同的引物和dNTP终浓度,在Taq反应缓冲液(1X浓度的1.5 mM MgCl2)中进行野生型Taq反应(25 μL,每反应含有0.5 U Taq)。
所有反应已包含25 ng人基因组DNA。所有反应(KAPA2G Robust和Taq)中已加入5% DMSO,用于GC含量>70%的靶标扩增子。
针对常见PCR抑制剂更好的耐受性
- 从粗样本中有效扩增
- 每单位酶的产率和灵敏度更高

图 8.采用KAPA2G Robust HotStart PCR试剂盒和野生型热启动Taq聚合酶,在存在有四种常见PCR抑制剂的情况下,对1 pg质粒DNA进行一段1.5 kb片段的扩增。所有反应中每25 μL反应含有0.5单位的酶。所有反应都使用了KAPA2G Robust HotStart缓冲液B,并向含有SDS的反应中加入了KAPA增强因子1。在Eppendorf Mastercycler epgradient S上使用标准的3步热循环(35个循环)过程,其中所有的酶在每循环都采用64ºC的退火温度和1.5 min的延伸时间。
在菌落 PCR 中具有无与伦比的性能
- 在大肠杆菌和酵母细胞直接 PCR 中具有更高的产量和更好的一致性

图 9.采用KAPA2G Robust HotStart(上方)或野生型Taq(下方)对四种常用的大肠杆菌菌株(DH5a、DH10B、JM109或BL21)中的一段2.7 kb克隆插入片段进行扩增。将菌落(生长在LB-琼脂 + Amp平板上)直接重悬在单独的PCR反应体系中(左侧),或先用PCR级水重悬后再加入到PCR反应混合液中(中间)。对于过夜培养物(培养再LB + Amp),直接加入1 μ L至PCR混合液中(右侧)。

图 10.采用KAPA2G Robust HotStart(上方)或野生型Taq(下方)对三种常用的酿酒酵母菌株(BY4742、FY23和W303)中的GSH1基因的一段2.5 kb(左侧)和1.6 kb(右侧)片段进行扩增。将菌落(来自YPD-琼脂平板)或YPB过夜培养物首先裂解在含有NaOH或溶细胞酶的50 μ L体积中(如所示)。
KAPA长片段PCR系统
KAPA长片段PCR系统是Taq DNA聚合酶和一种经改造并拥有校正能力的古细菌(B族)DNA聚合酶的混合物。该双酶系统专为支持长片段或灵敏PCR而设计,并相对于Taq聚合酶拥有高3-4倍的保真性。在热启动配方上,KAPA长片段PCR结合了一种专有的抗体,它在第一次变性步骤前都可让酶处于失活状态,从而消除了假性扩增产物并提高了反应的效率和灵敏度。
KAPA长片段PCR试剂盒适用于:
- 长靶标的PCR扩增或使用低模板DNA量的PCR
- 标准短片段和中片段PCR扩增
- 生成的PCR产物将用于与带有3’-T突出的克隆载体相连接
优势包括:
- 扩增灵敏度高,特异性可达 15kb 的靶点
- 低输入 DNA 的高产率
- 在竞品长片段系统扩增失败时表现出了高产量、更高的灵敏度和特异性*

图 11.在每25 μL反应中对起始为50 ng、10 ng、2 ng、400 pg的人基因组DNA的模板稀释液进行扩增。扩增子长度为737 bp、1.3 kb、3.3 kb和4.5 kb。35个循环,72ºC延伸温度。

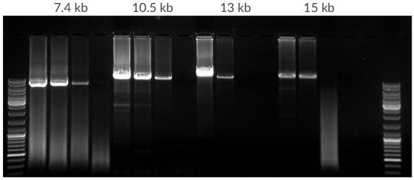
图 12.在每25 μL反应中对起始为50 ng、10 ng、2 ng、400 pg的人基因组DNA的模板稀释液进行扩增。扩增子长度为7.5 kb、10.5 kb、13 kb和15 kb。35个循环,68ºC延伸温度。

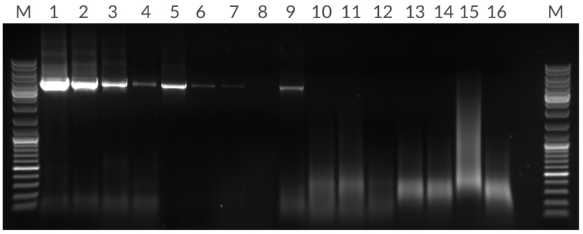
图 13.*在每25 μL反应中对50 ng、10 ng、2 ng和400 pg的人基因组DNA进行4.5 kb片段的扩增。泳道:(M) 分子量标记, (1 – 4) KAPA长片段HotStart, (5 – 8) 竞品T, (13 – 16) 竞品R。
KAPA小鼠基因分型试剂盒
1小时完成从鼠尾到分型。
KAPA小鼠基因分型试剂盒专为对小鼠组织进行可靠的DNA片段提取和扩增而设计,与传统实验方案≥1天的流程相比,其最低仅需1小时。KAPA HotStart小鼠基因分型试剂盒包含KAPA Express Extract(一种新型热稳定蛋白酶)、缓冲系统(能够在短短15分钟内从小鼠组织中提取出颗粒剂用于PCR的DNA)以及含染料的KAPA2G快速基因分型混合物,其中,混合物含有的DNA聚合酶通过定向进化技术改造而具有高持续性和超高速。
KAPA小鼠基因分型试剂盒的特点:
- 无需有机溶剂、pH中和和离心的15分钟提取过程
- 具有高持续扩增能力和极限速度的45分钟扩增过程
- 带有上样染料的便捷式预混液形式,可提供热启动和非热启动两种配方选择
优于粗提取方法和商业试剂盒
- 更好的周转时间和特异性
- 降低成本


图14和15.与Quanta小鼠基因分析试剂盒相比,KAPA小鼠基因分型试剂盒在多重PCR中表现出了更好的灵敏度、产量和特异性。为了证明在基因分型测定中使用次最佳退火温度的效果,反应分别在50°C或60°C下进行退火。
更好的通量、周转时间和可靠性
- PCR-ready DNA 只需 15 分钟即可生成
- 最低限度的处理,从而降低样本丢失或污染的风险
- 有充足模板用于多种测定;易于缩放,以处理 96 孔格式的样本
- 快速可靠地扩增各种扩增子长度和 GC 含量各异的 DNA 片段

图16和17.A) 对使用KAPA小鼠基因分型试剂盒、蛋白酶K和野生型Taq以及碱裂解液和野生型Taq进行DNA提取和扩增所需的总时间进行了比较。B) 将用KAPA小鼠基因分型试剂盒(1)与两种常用方法(2和3)生成的5个扩增子(312 - 915 bp)的结果进行了比较。当使用KAPA小鼠基因分型试剂盒时,DNA裂解液是用快速(15分钟)、单管的KAPA Express Extract系统从小鼠尾制备而得到的。用带有染料的KAPA2G Fast HotStart ReadyMix可在45分钟内完成扩增。作为对比,也采用~3.5小时的蛋白酶K实验方案(2)或快速(~2.5小时)碱裂解方法(3)进行DNA裂解液制备。这两种情况均采用野生型Taq(1.5小时循环实验方案)进行扩增。从KAPA小鼠基因分型试剂盒得到的结果与其他方法得到的结果相同或更好(更高的特异性),但其他方法(取决于所用的DNA提取方法)可能需要四倍更多的时间,或最多需要1天才能完成。
KAPA EXPRESS EXTRACT
快速、高效的DNA提取
KAPA Express Extract是一种新型热稳定蛋白酶和缓冲系统,可在短短15 min内提取 PCR即用DNA。在单管中进行DNA提取非常方便,大大降低了样品损失和污染的风险。KAPA Express Extract 和 KAPA2G Robust HotStart ReadyMix 的组合为快速 DNA 提取和一致的下游扩增提供了高性能解决方案。
KAPA Express Extract的特点:
- 仅需15分钟的快速PCR即用DNA提取实验方案,适用于挑战性样本类型的稳定下游扩增
- 从一系列样本和组织类型(包括口腔拭子、毛囊、鱼组织和鸟类羽毛)进行成功DNA提取的多功能、优化试剂盒
- 单管反应可将污染风险降至最低
- 从“Guthrie”卡、FTA® Elute卡和FTA卡中高效提取


图18和19.DNA是用KAPA Express Extract从来自哺乳动物和鱼的多个样品中提取得到的。取2 μL的每种提取物,直接加入(无需定量)到含有KAPA2G Robust HotStart ReadyMix和常用于物种鉴定中扩增~650 bp细胞色素c氧化酶I基因片段引物的PCR体系中(Ivanova, et al., 2007)。用1%琼脂糖凝胶进行PCR产物(10 μL)分析。样本来源和类型显示在凝胶上方。采用外巢式M13引物将反应产物直接用于标准的Sanger法测序反应(每10 μL测序反应用2 μL PCR产物)。测序数据质量高,可用于各个物种的鉴定。下图展示的是黄尾鰤(Seriola lalandi,Yellowtail amberjack)组织测序峰图的一部分。

图 20.DNA提取物是使用KAPA Express Extract从两个不同的FFPE样本中制备得到的。每种提取物直接用于(无需定量)含有KAPA2G Robust HotStart ReadyMix和针对EGFR基因(对应于18-21和24号外显子)五个不同片段(293 bp - 1 kb)引物的多重PCR体系中。与采用相同反应和循环条件但使用1 ng纯化的人基因组DNA作为模板的体系进行结果比较。除了来自更老样本的24号外显子的1 kb片段外,FFPE DNA提取物和纯化的基因组DNA之间的产量、反应效率都是可比的。将来自1号样本扩增得到的PCR产物按1:10稀释后直接用于标准的Sanger法测序反应。测序数据(下图,1号样本19号外显子片段)具有高质量。从箭头标记位置开始的混合序列证实了在采集1号样本的患者中,存在与其所诊断非小细胞肺癌相关的一段15-nt的缺失。

图 21.提取和扩增来自不同血液样本的DNA用于HLA-B*27等位基因的检测。DNA是使用KAPA Express Extract从12例人EDTA血液样本中提取得到的(上图)。取2 μL的每种提取物,直接加入到含有KAPA2G Robust HotStart ReadyMix和两组引物对的25 μL PCR体系中。内质控引物对靶向的是β-珠蛋白基因的一段429 bp片段,而第二对引物则序列特异性地靶向了HLA-B*27基因座的一段141 bp片段。在12例样本中,有两例检测到了与强直性脊柱炎相关的HLA-B*27等位基因阳性结果。C-和C+泳道分别代表HLA-B*27阴性和阳性对照(1 ng纯化的人基因组DNA作为模板)。DNA是从带有HLA-B*27阳性(+)或阴性(-)确诊个体血斑的 “Guthrie” 卡、FTA卡或FTA Elute卡(下图)上提取得到的。DNA提取和扩增的条件以及对照(C-和C+)均与上图相同。
KAPA3G植物PCR试剂盒
KAPA3G植物PCR试剂盒专为利用纯化DNA或粗提取DNA对植物来源DNA进行PCR而设计。该试剂盒中含有KAPA3G DNA聚合酶,其经改造可对常见的植物来源PCR抑制剂(如多酚和多糖)具有更好的耐受性。
KAPA3G植物PCR试剂盒的特点:
- 使用植物组织(例如叶盘、种子和粗植物提取物)进行快速直接 PCR
- 简化的转基因筛选工作流程
- 提高了 PCR 成功率和重现性
简化的工作流程以及更好的周转时间
- 与野生型酶相比,进行 PCR 的时间缩短了一半
- 无需耗时的DNA提取
- 适用于直接PCR

图 22.基于KAPA3G植物PCR试剂盒的直接PCR效果优于CTAB法提取以及使用野生型Taq的标准PCR,而且仅需显著更短的周转时间。
从粗样品和纯化 DNA 中扩增长靶标
- 扩增最长5 kb的片段
- 高产量和特异性

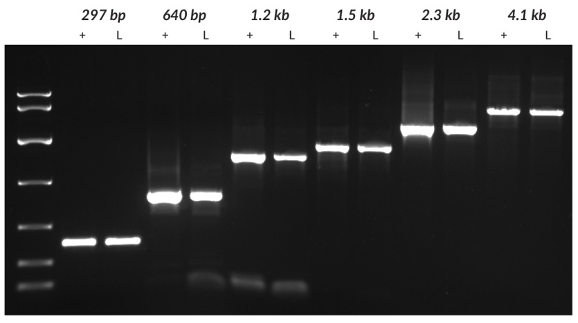
图 23.采用纯化的DNA(+)或使用KAPA3G植物PCR试剂盒处理的叶盘(L)对不同长度的靶标(来自烟草的297 bp和4100 bp、番茄的640 bp、葡萄的1221 bp和马铃薯的1448 bp和2249 bp)进行扩增。对于每个物种,均采用一种商用DNA纯化试剂盒进行基因组DNA纯化。采用0.5 mm直径的Harris Uni-Core™采样工具进行粗制材料的采样。将纯化的DNA(每反应1 - 10 ng,取决于物种)和粗样品作为模板用于50 μL的PCR体系,并进行40个扩增循环。在1%琼脂糖凝胶上进行反应产物分析。采用KAPA Express DNA Ladder(100、200、400、800、1600、4000、8000 bp)作为分子量标记物。
从各种植物物种和组织类型进行直接PCR
- 以叶盘或种子为模板进行直接 PCR
- 无需耗时的 DNA 提取步骤

图 24.使用一种商用DNA纯化试剂盒对来自所有物种的植物基因组DNA进行纯化。采用Harris Uni-Core™取样工具(0.5 mm直径)进行叶片(所有物种)和种子(除烟草和拟南芥之外的所有物种,而它们每个反应则采用一颗碾碎的种子)的取样。采用粗样品或1 - 10 ng的纯化DNA(取决于物种)进行PCR(50 μL),所有情况下都扩增40个循环。靶标在500和900 bp范围内,并用1%琼脂糖凝胶进行反应产物分析。采用KAPA Express DNA Ladder(100、200、400、800、1600、4000、8000 bp)作为分子量标记物。
通过新型粗样品植物PCR工作流程提高成功率
- 使用提取缓冲液在 5 分钟内制备用于植物 PCR 的粗提物
- 即使是最具挑战性的样品类型也能获得高成功率

图 25.采用Tab c/d引物对,对来自8株植物的叶片或种子进行粗样品PCR,其中1 μL的粗提取物是未经过热处理(左侧),而1 μL的粗提取物是经过热处理的(右侧)。按照KAPA3G植物PCR试剂盒TDS中的描述进行反应设置,并以每循环55°C退火结合72°C 20秒延伸进行45个循环的PCR扩增。采用KAPA Express DNA Ladder(100、200、400、800、1600、4000、8000 bp)作为分子量标记物。1:桉树;2:葡萄藤;3:小麦叶;4:小麦种子;5:油菜叶;6:油菜种子;7: 水稻种子;8: 大麦种子;9: 玉米粒;10: 棉花种子;11: 棉花叶。
如要继续阅读,请登录或创建帐户。
暂无帐户?