细胞迁移和侵袭试验
部分概述
转移是 肿瘤细胞 及其微环境使细胞迁移并侵入健康的宿主组织。当增殖的肿瘤细胞试图逃离原发肿瘤部位时,必须发生局部细胞粘附并侵入周围组织1。在穿透血管内皮进入血流之前,癌细胞必须通过降解 ECM 蛋白质成分侵入局部组织,并最终穿过基底膜2。一旦进入血液循环,这些细胞就会在继发部位形成转移灶。

图 1.肿瘤转移是一个多步骤的过程,包括癌细胞粘附、细胞迁移以及侵入邻近组织和血管。

图 2.波伊登箱试验方案。让细胞通过细胞单层或 ECM 蛋白混合物迁移,细胞单层或 ECM 蛋白混合物已播种到半透膜细胞培养插入物上,膜下添加了趋化吸引剂。然后用 DNA 染料(如 Calcein-AM 或 CyQUANT GR 染料)对细胞进行染色,对迁移的细胞进行量化。
细胞迁移和侵袭试剂盒
密理博尔的 QCM™细胞迁移和侵袭检测试剂盒为定量测定细胞迁移、粘附和侵袭的各种因素提供了一个快速高效的系统,包括筛选药剂、评估整合素、趋化因子或其他负责细胞迁移的粘附受体。十多年来,这些试剂盒为研究人员提供了一致的结果,并在超过 4000 篇论文中发表。
细胞迁移测定: 可方便灵敏地量化 体外 细胞向化学浓度梯度(趋化)或 ECM 蛋白梯度(游走)的迁移。
细胞侵袭检测: 体外 细胞侵袭基底膜 ECM 蛋白或细胞层(如内皮细胞)的检测方便、灵敏。
如何为您的细胞选择合适的孔径:
- 3微米的孔径适合白细胞或淋巴细胞迁移。也适用于单核细胞和巨噬细胞。
- 8 μm 孔径适用于大多数细胞类型。这种孔径可支持大多数上皮细胞和成纤维细胞的最佳迁移。注意--8 μm 孔径不适合淋巴细胞迁移实验。
细胞迁移检测
。微流控迁移装置
Millicell® µ-迁移测定试剂盒 克服了传统多孔迁移测定的局限性。µ-Migration Slide 的创新设计促进了由扩散产生的稳定浓度梯度,这种浓度梯度始终保持线性,并可持续 48 小时以上。µ-Migration Slide 由具有类似玻璃的高光学质量的塑料制成,专门用于视频显微镜检测。在特定的时间间隔内,可以获取观察区域的图像,从而对细胞迁移进行实时监测和定量测量。

图 3.HT1080 细胞的活细胞迁移。血清浓度(0% 或 10%)对 HT1080 细胞在胶原表面迁移倾向的影响。结果显示,大多数细胞向 10% FCS 梯度迁移(黑色)。
< i> 体外 划痕试验
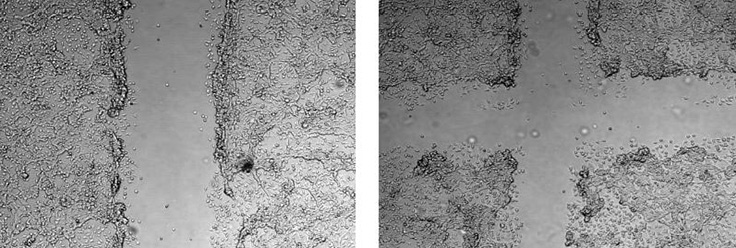
<>划痕试验是研究细胞迁移的常用方法4。i>体外 划痕试验划痕试验是研究细胞迁移的常用方法4。然而,扩大这种技术的规模具有挑战性,因此很难对介导伤口修复的分子事件进行生化分析。Cell Comb™ 划痕试验满足了人们对一种简单工具的需求,这种工具能以更高通量的方式创建多个划痕伤口。
。

图 4.使用 CellComb 划痕检测法,以单向(左)或双向(右)模式划伤 NIH3T3 细胞单层。随着时间的推移,迁移细胞将填充划痕切片,并通过简单的细胞计数进行量化。使用划痕迁移试验还可以对迁移细胞进行活细胞成像。
ECM 蛋白
细胞外基质(ECM)蛋白 ;细胞外基质蛋白在细胞内产生,随后分泌到周围的细胞介质中,积极调节细胞的各种功能,包括细胞粘附、分化、增殖、迁移、侵袭和存活。ECMs在体外培养中的一个主要用途是促进细胞粘附,同时保持细胞活力并最大限度地提高细胞增殖,以满足下游细胞应用的需要。
- Collagen
- Laminin
- Fibronectin
- Vitronectin
- Elastin
- 基底膜提取物
参考资料
如要继续阅读,请登录或创建帐户。
暂无帐户?