罗氏PCR试剂和PCR实验方案
前沿科学不应出于经济原因而妥协。自从引入PCR技术以来,罗氏为PCR试剂提供了金标准。我们先进的分离、纯化和制造技术不仅能确保您获得清晰、可靠的结果,还能确保便捷性和可满足任何实验室预算要求的可负担性。
- 可靠性 – 在各个批次、各个管以及各个实验室获得可靠的结果。
- 高性能 – 将便捷的dNTPack中的优质酶和PCR级核苷酸相结合,实现更高的灵敏度和产量。
- 一致性 – 采用仅需添加引物和模板的预混液,充分提升实验的性能
PCR级核苷酸确保理想的性能。
PCR的成功高度依赖于酶和核苷酸的选择。罗氏PCR酶可以便捷的dNTPacks形式提供,其中包含不含添加剂的核苷酸钠盐预混溶液。 这些经功能测试的PCR级核苷酸通过酶促合成制造,并结合了独特的纯化工艺,可有效促进提高PCR结果的质量。
- 纯度 – 选择符合现行化学合成核苷酸制剂典型质量程序要求的无修饰碱基、四磷酸盐或焦磷酸盐污染物的核苷酸,来提高您PCR的灵敏度。
- 稳定性 – 采用在理想pH下提供的dNTP来延长保质期并提高反应稳定性,从而充分提高产量。
Taq DNA聚合酶和标准PCR实验方案
可在超低模板要求的情况下实现稳健扩增的可负担PCR。
罗氏Taq DNA聚合酶是在GMP条件下生产的。这种高度纯化的酶通过了多个严格的功能性和纯度测试,可确保每批产品都能实现可靠、一致的结果。如需更多信息,请查看我们的标准PCR实验方案。
- 通过高度的批次间一致性获得可靠、可重复的结果
- 无需每一新批次都进行测试 - 我们会替您完成
- 将dUTP插入与尿嘧啶-DNA糖苷酶结合以防止PCR交叉污染

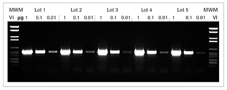
图 1.批次间的一致性可确保可重复性的结果。对五个不同批次Taq DNA聚合酶扩增0.5 kb lambda DNA片段的能力进行了测试。 采用每批次均进行测试的罗氏Taq DNA聚合酶获得可靠、一致的结果。
GMP级Taq DNA聚合酶属于高性能、经验证扩增酶家族,采用经过评估的生产、质量控制和灌装程序进行生产。

图 4.室温下反应构建完成后,立即(E0)以及24小时后(E24)对3-300 ng cDNA进行人促红细胞生成素基因扩增。

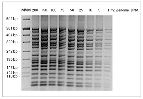
图 5.18重(74 bp - 470 bp)PCR中的灵敏度测试。 针对不同浓度的人基因组DNA采用一组18重的引物对。
Expand™高保真PCR系统和Expand™高保真PLUS PCR系统
Expand™高保真PCR试剂旨在对各种不同的检测系统和扩增子类型实现稳健的扩增,它由Taq DNA聚合酶和一种带有校正活性的聚合酶组成的酶混合物组成。选择Expand™高保真PLUS PCR系统用于最高5kb的稳健PCR,并防止残留污染。
- 使用一种酶用于所有的应用。Expand™高保真PCR系统可稳健扩增一系列不同的模板,并确保高产量、保真性和灵活性。
- 检测以前无法检测到的扩增产物 ,并避免假阴性。
- 从少量模板DNA中获得成功的PCR结果 。
Expand™高保真PLUS PCR系统是稳健高保真应用的理想选择,包括克隆和用具有放射性或非放射性修饰的核苷酸对DNA片段进行标记。此外,还可将dUTP插入与尿嘧啶-DNA糖苷酶结合以防止PCR交叉污染。

图 6.将Expand™高保真PLUS PCR系统与四种市售的聚合酶预混液进行比较。根据各自制造商推荐的条件,采用不同量(ng)的人基因组DNA来扩增4.8 kb的组织纤溶酶原激活因子(tPA)基因片段。即便是针对最低1 ng的人基因组DNA,Expand高保真PLUS PCR系统也表现出了最佳的特异性、灵敏度和产量结果。
供应商A:Taq DNA聚合酶(N端删除)、一种校正聚合酶和一种热启动抗体的混合物。
供应商B和D:Taq DNA聚合酶和一种校正聚合酶的混合物。
供应商C:Taq DNA聚合酶、一种校正聚合酶和一种增强因子的混合物
Pwo SuperYield DNA聚合酶
对于序列准确性至关重要且不能牺牲产量的应用而言,高保真PCR是不可或缺的。使用Pwo SuperYield DNA聚合酶可获得具有稳定高保真性的高产量PCR产物。当与校正逆转录酶(如Transcriptor高保真cDNA合成试剂盒)结合时,选择最高的保真性并避免序列错误、碱基交换和移码突变。该组合是克隆、定点突变和基因表达分析等应用的理想选择。
- 获得出色的保真性和高产量。无需优化即可获得高于Taq DNA聚合酶18倍的高保真性。
- 针对困难模板获得高性能。高GC溶液可实现高GC DNA的扩增。
- 减少克隆过程的实验步骤。 直接在Pwo SuperYield PCR预混液中进行酶消化。

图 7.更高的RT-PCR准确性校正逆转录酶(Transcriptor高保真逆转录酶,罗氏)和一种用于扩增的校正聚合酶(Pwo SuperYield DNA聚合酶,罗氏)的比较。将数据与一种常用的M-MuLV逆转录酶和Taq DNA聚合酶进行比较。在逆转录和25个PCR循环后使用454测序系统对错误率进行测定。 罗氏酶的错误率是四组独立实验的平均值,其中至少测序了3.1 × 106个碱基。对于M-MuLV逆转录酶和Taq DNA聚合酶,测序了4.5 × 106个碱基。准确度以“错误率-1”进行代表。

图 8.采用高GC PCR系统成功扩增高GC模板。使用高GC PCR系统或Expand高保真PCR系统对人ApoE基因中一段264 bp的模板(74% GC含量)进行扩增。
结果: 高GC PCR系统通过使用高GC分辨溶液扩增高GC片段,并实现高特异性和产量。
Expand™长片段,dNTPack
该新一代系统来自首创长模板PCR的罗氏公司。 选择Expand™长片段dNTPack用于对基因组DNA进行5至25 kb PCR产物的稳定扩增。当扩增片段长于20 kb时,使用Expand™ 20 kbPLUS PCR系统。该独特系统的特点在于具有优化的缓冲液和混合酶混合物。
- 凭借高特异性、产量和更高的保真性,稳定扩增最长25 kb的长模板。
- 使用便捷和灵活的试剂盒来节省时间和资源。针对所有片段大小使用一种缓冲液,并使用所提供的DMSO和MgCl2溶液对反应进行微调。
- 适用于所有的长模板应用,并可实现仅含有所需片段的高产量。
- 订购包含有PCR级核苷酸预混溶液的高性价比dNTPack。

图 9.使用Expand™长片段 dNTPack扩增不同的基因组模板
如要继续阅读,请登录或创建帐户。
暂无帐户?