Recombinant Antibody Technology
Antibodies have become one of the most important tools in life science research, allowing the detection, quantitation, and determination of changes in proteins and other molecules with respect to time and other perturbations. Our ZooMAb® recombinant antibodies represent a new generation of monoclonal antibodies that are specifically engineered using our proprietary technologies that provide state-of-the-art consistency and application performance. ZooMAb® antibodies are designed with the most user-friendly formulation, handling, and storage features available today and have been validated in multiple immunoassay applications.
Learn how ZooMAb® antibodies are engineered for consistency using our proprietary recombinant expression system.
Recombinant antibody technology and production
Recombinant antibodies are monoclonal antibodies that are generated by cloning antibody genes into expression vectors and do not involve the use of hybridomas. These antibodies can be cloned from any species using suitable oligonucleotide primers. With this technology, the problems of cell line drift, antibody expression variations, and antibody sequence mutations associated with classical hybridoma production and storage can be avoided. Thus, recombinant antibody technology reduces the use of animals in research and offers exceptional batch-to-batch consistency.
Recombinant antibody production from most species consists of a heavy and a light chain and it is important to note that to accomplish maximum IgG production in mammalian cells, one must achieve a balanced expression of both heavy and light chains. However, expression of these two chains on separate vectors is not an efficient way to generate monoclonal antibody producing cell lines. Use of a single vector carrying two separate expression cassettes provides higher efficiency and both genes are integrated at the same position and expressed independently. For recombinant antibody production, stable cell lines such as the Chinese hamster ovary (CHO) cells, human embryonic kidney 293 (HEK293), or NS0 murine myeloma cells are more commonly employed. CHO cells are most commonly used as a stable expression system and HEK293 cells are highly useful for transient gene expression where protein is harvested within a few days following DNA delivery. These eukaryotic systems offer additional advantages of protein folding, post-translational modifications, and a secretion apparatus that enhances the secretory production of antibodies.
Recombinant antibodies can also be produced in additional formats, such as Fab fragments, single-chain variable region fragments, and diabodies. Additionally, they can also be expressed in a wide variety of hosts, including bacteria, insect cells, yeast, and mammalian cells. Unlike monoclonal antibodies produced by hybridoma technology, recombinant antibodies maintain a high degree of specificity and low immunogenicity over longer periods of time. Recombinant antibodies serve as highly specific detection probes in research they are fast finding their niche in the detection of different pathogens and toxins and have great potential in therapeutic applications.
ZooMAb® Antibodies: The next generation of recombinant rabbit mAbs
Initially, we have offered more Rabbit recombinant monoclonal antibodies using the ZooMAb® antibody platform, however, we have also introduced several Mouse recombinant monoclonals and have plans to launch antibodies from additional species over time. Compared to commonly used murine species, rabbits have a natural tendency to produce a higher immune response to “difficult” immunogens that include small molecules, peptides, and post-translationally modified proteins. Rabbit antibodies also recognize a greater diversity of epitopes per antigen compared to murine species. Rabbit monoclonal antibodies can detect antigens at the picomolar range with high specificity and provide higher signal intensity in a wide range of applications.
ZooMAb® Recombinant Monoclonal Antibody Unique Features
Each ZooMAb® antibody is manufactured using our proprietary recombinant expression system, purified to homogeneity, and precisely dispensed to produce robust and highly reproducible lot-to-lot consistency. Only top-performing clones are released for use by researchers. Each antibody is validated for high specificity and affinity across multiple applications, including its most commonly used application. ZooMAb® antibodies are reliably available and ready to ship when you need them.

Lyophilized and pre-aliquoted for maximum stability and convenience
Every ZooMAb® antibody is provided as a lyophilized product, dispensed in 25 µL equivalences, and stored in a clear polypropylene tube that is specifically designed with an o-ring to ensure an air-tight seal. Each antibody is individually packaged to provide long-term stability, faster shipping, and minimize non-value-added costs that typically incur through cold chain handling of liquids, including the thermal insulated packaging used in transportation. In addition, the lyophilized product is exceptionally stable allowing ambient shipping and storage if needed.
Advantage of using Lyophilized ZooMAb® Recombinant Antibodies
ZooMAb® antibodies are provided in a lyophilized form to enhance their stability, minimize microbial growth, reduce carbon footprint, and lower shipping cost by shipping at ambient temperature. This offers flexibility and can be easily reconstituted in a desired buffer. Every lot we have tested and compared their performance before and after lyophilization and have obtained consistent results in WB, ICC, and IHC. ZooMAb® recombinant antibodies have been specifically designed to maintain their structural integrity, binding affinity, and functionality even at slightly higher temperatures. We have tested their performance in multiple applications following storage of the lyophilized material at various temperatures (up to 45 °C). When reconstituted in buffer and tested in various applications, we found no adverse effect on their performance.
Pre-calibrated concentrations for consistent application-specific titers
ZooMAb® antibodies are recombinantly produced, purified and pre-aliquoted for you. The material in each tube is always calibrated to work at the titers suggested for the different applications. Every antibody is tested in our own laboratory to work in at least 3 applications before we release them for sale. We ensure that each antibody will perform the way you would expect it to in western blotting, immunofluorescence, and other common applications as listed on our product information page. As these are recombinant antibodies that have been carefully selected, cloned, and purified for high affinity and specificity performance, their effective concentrations are typically lower as compared to conventional antibodies that typically require much more material.
Preservative-free for safety and simplicity
Every ZooMAb® antibody is provided free of biocides like sodium azide or preservatives of animal origin, such as bovine serum albumin (BSA), and finished in a simple phosphate buffered saline (PBS) with trehalose. With ZooMAb® antibodies, complications arising from potentially hazardous materials or local safety restrictions are minimized and allow its use in both in vivo and in vitro applications.
Multiple pack sizes
Every ZooMAb® antibody is pre-aliquoted at 25 µL lyophilized equivalents, and we offer 4x25 µL and 1 mg/ml packages. Hence, you can use only the quantity you really need for your research and simplify reagent sharing. If you need larger quantities, we have a large pack size available, 1 mg/ml in PBS. Starting at 1 mg up to 100 mg and is only available upon request. Click the bulk request to order.
The pre-aliquoted design of each pack size also allows you to split your purchase without ever having to resuspend the material, which maximizes product shelf life.
Why you should always look for a ZooMAb® antibody first
There is never any guessing with ZooMAb® antibodies. All antibodies are offered at the same pack sizes and price points, no matter what the target is. With ZooMAb® antibodies you can be sure to get the same feature-loaded product, for every single target, every single lot, stable, pure, and packaged for maximum shelf life stability.
Try a ZooMAb® antibody today and take advantage of our low entry-level price and pack sizes available for every target we list or with any new ZooMAb® antibody that we are continuously adding to expand our offerings. Additionally, we would love to have your input on their performance and convenience. You can send us a recommendation through our “Share your Experience” message link. Our ZooMAb® antibodies are designed and tested with your needs in our mind and are backed by our Antibody Bioguarantee.
ZooMAb® antibodies validation
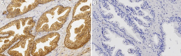
Proper antibody validation is essential for accurate and reproducible results and is helpful in avoiding unreliable results and reducing research efforts. To ensure their specificity and performance the majority of ZooMAb® antibodies are tested in a minimum of three applications. This includes assessing their binding characteristics and evaluating their performance in multiple assays, which is essential for determining their consistent performance across different experimental conditions. Please see below an example of validation data for Cat. No. ZRB1101; Anti-OCT4, clone 4N8 ZooMAb® Rabbit Monoclonal.
ZooMAb® recombinant antibodies offer Lot-to-Lot consistency
ZooMAb® recombinant antibodies are manufactured by cloning antibody genes into expression vectors, which are subsequently introduced into expression hosts to provide animal-free antibody production. It avoids any sequence mutations and ensures high lot-to-lot consistency, which is also rigorously quality tested in multiple applications. We aim to support researchers in obtain reliable and reproducible results and even offer an antibody guarantee. Here are a few examples of our testing for lot-to-lot consistency for our ZooMAb® recombinant antibodies.
Western Blotting in two different lots of ZRB2104: Anti-TRAF2 Antibody, clone 3F11 ZooMAb® Rabbit Monoclonal
Immunocytochemistry analysis of two different lots of Cat. No. ZRB2222; Anti-FLT4 Antibody, clone 2F4 ZooMAb® Rabbit Monoclonal
Superior performance of ZooMAb® recombinant antibodies against traditional hybridoma based monoclonal antibodies
We have tested the performance of ZooMAb® recombinant monoclonal antibodies against hybridoma based mouse and rabbit monoclonal antibodies to demonstrate their superior performance. When tested in Western Blotting application in lysates from different cells and tissues, ZooMAb® antibodies delivered superior performance. When tested for their binding affinity, their binding affinity was at least a thousand-fold higher compared to control peptide and/or protein and in several cases their Kd values were in the range 10-10 to 10-12.
Superior performance of Anti-N-Cadherin Antibody, clone 3H17 ZooMAb® Rabbit Monoclonal against hybridoma based mouse and rabbit monoclonal antibodies.
ZooMAb® Custom antibody services
ZooMAb® contract antibody development services provide a tailored solution for designing custom antibodies specific to your unique targets, ensuring we meet your research and production needs. Our service includes immunogen design and preparation, antibody development and screening, application-specific testing, antibody modifications, and large-scale antibody manufacturing.
Our ZooMAb® recombinant monoclonal antibodies are engineered for sustainability, reproducibility, and consistency, and they have been validated across multiple immunoassays. Trust our experienced R&D team to assist you in developing high-quality custom antibodies, giving you reliability and peace of mind throughout the process. Please, fill out the custom ZooMAb® request form.
Polyclonal & monoclonal antibody technology and production
Polyclonal or monoclonal antibody technology offers different advantages that are desirable for specific applications. Polyclonal antibodies are produced as a result of the activation of numerous different in antibody producing B cells in an animal. Hence, they are considered a mixture of antibodies that can react with multiple epitopes on the surface of the antigen. Polyclonal antibodies are generally more tolerant of minor changes in the antigen, such as heterogeneity of glycosylation, polymorphism, or slight denaturation.
With monoclonal antibody production, one B cell produces only one specific sequence of antibody to a given antigen. Hence, a monoclonal antibody is considered a collection of identical antibodies secreted by a single B cell clone with specificity for only one antigenic epitope. In traditional methods, monoclonal antibodies are produced by fusion of B cells with an immortal cell to produce a hybridoma that produces many copies of the exact same antibody. Their specific monovalent nature makes monoclonal antibodies very useful in highly targeted immunoassays and diagnostic applications. However, when compared to polyclonals they are more vulnerable to the loss of epitope through chemical treatment of the antigen.
It is easy to stay in touch with us to find your target
Use the convenient QR code printed on each ZooMAb® product label to take you to our website. This home page is where you can find up to date information on all the newest additions to our ZooMAb® portfolio and can contact us to share your experience with our products.
For Research Use Only. Not for use in diagnostic procedures.
Unless otherwise stated in the Product(s) specifications, any Antibody product is sold for internal research use only and may not be used for any other purpose, which includes but is not limited to, any commercial, diagnostic, or therapeutic use. Our validation processes pertain only to research uses and do not confirm or assure that our antibodies can be used for any unauthorized uses as set forth herein.
Related Products
Related Articles
- Antibody Generation | Monoclonal vs Polyclonal Antibodies
Learn differences in monoclonal vs polyclonal antibodies including how antibodies are generated, clone numbers, and antibody formats.
- How to Choose a Secondary Antibody
Review the key factors that should figure in your decision to choose a secondary antibody. Learn about species, subclass, isotype, label, and more.
- Antibody Basics
Explore the basics of working with antibodies including technical information on structure, classes, and normal immunoglobulin ranges.
- ZooMAb® Antibodies Frequently Asked Questions
- Hallmarks of Cancer
Learn about the hallmarks of cancer and find reliable ZooMAb® recombinant antibodies to study them, conveniently organized by cancer hallmark.
- Tips and Techniques for Troubleshooting Immunohistochemistry (IHC)
Tips and troubleshooting for FFPE and frozen tissue immunohistochemistry (IHC) protocols using both brightfield analysis of chromogenic detection and fluorescent microscopy.
- mPAGE® Lux Gel Casting System for SDS-PAGE Gels
Refresh your gel casting workflow with ready-to-use SDS-PAGE gels in just 3 minutes with the mPAGE® Lux Casting System. Find simpler, safer gel casting methods.
- Immunology Multiplex Assays | MILLIPLEX® Assays
Immunology multiplex assays, like MILLIPLEX® assays, allow researchers to investigate more immune biomarkers simultaneously, saving time and resources.
如要继续阅读,请登录或创建帐户。
暂无帐户?