Duolink® PLA邻位连接技术在神经科学中的应用
神经元细胞是一种随时感知和响应着周围环境的动态单位。因此,了解蛋白质互作和信号传导机制是神经科学的研究重点,也是了解正常和疾病过程的关键。但揭示这一大脑及其组成的内部工作机制需要强大的研究工具。Duolink®邻位连接技术(PLA)以放大单分子蛋白事件信号的方式,让科研人员能够可视化蛋白质的互作、定位及含量。这一蛋白检测技术让研究人员无需过表达或基因操作,即可在内源水平可视化蛋白功能,是推进神经科学研究的一大帮手。
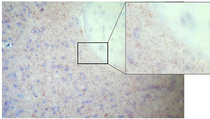
通过Duolink®方法分析小鼠冠状组织
- 小鼠脑冰冻切片采用尾-壳核(纹状体)组织,产品货号MT-FF-201-03。
- 用10%缓冲福尔马林过夜固定大脑切片,冰冻保护24-36小时,用O.C.T.试剂快速冷冻,30微米厚度切片。使用针对人磷酸MAPK pp44/p42的兔多克隆抗体和Duolink II染色。
- 用标准的落射荧光显微镜可视化。
- 所有反应均得到清晰良好的Duolink染色结果。

图 1.Duolink®荧光检测小鼠脑中的P-MAPK p44/p42

图 2.Duolink®明场检测小鼠脑中的P-MAPK p44/p42
材料
Loading
登录以继续。
如要继续阅读,请登录或创建帐户。
暂无帐户?