Skip to Content
Merck
CN

05-1427

Anti-ARF1 Antibody, clone 3F1

clone 3F1, from mouse

Synonym(s):

ADP-ribosylation factor 1

Sign In to View Organizational & Contract Pricing.

Select a Size

Change View

About This Item

UNSPSC Code:
12352203
NACRES:
NA.41
eCl@ss:
32160702
Conjugate:
unconjugated
Clone:
3F1, monoclonal
Application:
ELISA, IHC, WB
Citations:
-
Technical Service
Need help? Our team of experienced scientists is here for you.
Let Us Assist


biological source

mouse

Quality Level

conjugate

unconjugated

antibody form

purified immunoglobulin

antibody product type

primary antibodies

clone

3F1, monoclonal

species reactivity

rat, human, mouse

technique(s)

ELISA: suitable, immunohistochemistry: suitable (paraffin), western blot: suitable

isotype

IgG2a

NCBI accession no.

UniProt accession no.

shipped in

wet ice

target post-translational modification

unmodified

Gene Information

human ... ARF1(375)
mouse ... Arf1(11840)

General description

ARF1 is a member of the ARF family of small G proteins and is a component of Golgi-derived non-clathrin coated vesicles. This antibody is class 1 ARF specific.
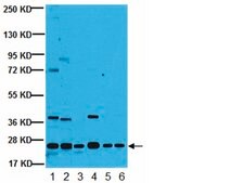
~21 kDa

Immunogen

Synthetic peptide corresponding to the C-terminal amino acid sequence of human ARF1.

Application

Anti-ARF1 Antibody, clone 3F1 detects level of ARF1 & has been published & validated for use in WB, ELISA, IH(P).
ELISA: A previous lot of this antibody was used in ELISA.
Optimal working dilutions must be determined by end user.

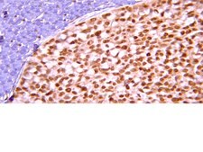
Immunohistochemistry(paraffin): Representative testing from a previous lot.
Optimal Staining of ARF1 Monoclonal Antibody: Skin & Breast Cancer

Biochem/physiol Actions

Recognizes human ARF1

Physical form

Format: Purified
Purified mouse monoclonal IgG2a in 0.02 M phosphate buffer, 0.25 M NaCl, pH 7.6, with 0.1% sodium azide

Analysis Note

Routinely evaluated by Western Blot on HeLa lysates.

Western Blot Analysis: 1:500 dilution of this lot detected ARF1 on 10 μg of HeLa lysates.

Other Notes

Replaces: MAB3779


Still not finding the right product?

Try our Product Selector Tool to narrow your options


Storage Class

12 - Non Combustible Liquids

wgk

WGK 2

flash_point_f

Not applicable

flash_point_c

Not applicable



Certificates of Analysis (COA)

Search for Certificates of Analysis (COA) by entering the products Lot/Batch Number. Lot and Batch Numbers can be found on a product’s label following the words ‘Lot’ or ‘Batch’.

Already Own This Product?

Find documentation for the products that you have recently purchased in the Document Library.

Visit the Document Library



Global Trade Item Number

SKUGTIN
05-142704053252277665