Sign In to View Organizational & Contract Pricing.
Select a Size
Change View
About This Item
UNSPSC Code:
12161503
eCl@ss:
32161000
NACRES:
NA.77
Product Name
Neurofilament Antibodies Investigator Antibody Mini-Pack, anti-neurofilament H&M antibody, anti-neurofilament H antibody, and anti-neurofilament L antibody
composition
anti-neurofilament H&M antibody, anti-neurofilament H antibody, and anti-neurofilament L antibody
Quality Level
UniProt accession no.
shipped in
dry ice
target post-translational modification
unmodified
Gene Information
human ... NEFL(4747)
General description
Pathway Investigator Antibody MiniPack:
Each Pathway Explorer Antibody Minipack contains three related antibodies as part of a signaling cascade or a combination of total and phosphorylated forms of key signaling targets. Each of the three antibodies are 30% the original pack size. Full size versions of each of the Pathway Explorer antibodies are available for sale individually under the same catalog number with the removal of “SP” off of each one (e.g. 05-591SP can be ordered as 05-591).
Neurofilament 70 kDa, clone DA2:
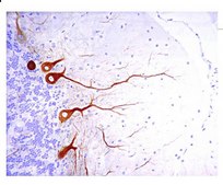
Neurofilaments are a type of intermediate filament that serve as major elements of the cytoskeleton supporting the axon cytoplasm. They are the most abundant fibrillar components of the axon, being on average 3-10 times more frequent than axonal microtubules. Neurofilaments (10nm in dia.) are built from three intertwined protofibrils which are themselves composed of two tetrameric protofilament complexs of monomeric proteins. The neurofilament triplet proteins (68/70, 160, and 200 kDa) occur in both the central and peripheral nervous system and are usually neuron specific. The 68/70 kDa NF-L protein can self-assemble into a filamentous structure, however the 160 kDa NF-M and 200 kDa NF-H proteins require the presence of the 68/70 kDa NF-L protein to co-assemble. Neuromas, ganglioneuromas, gangliogliomas, ganglioneuroblastomas and neuroblastomas stain positively for neurofilaments. Although typically restricted to neurons, neurofilaments have been detected in paragangliomas and adrenal and extra-adrenal pheochromocytomas. Carcinoids, neuroendocrine carcinomas of the skin, and oat cell carcinomas of the lung also express neurofilaments.
Neurofilament, Heavy:
Neurofilaments are a type of intermediate filament that serve as major elements of the cytoskeleton supporting the axon cytoplasm. They are the most abundant fibrillar components of the axon, being on average 3-10 times more frequent than axonal microtubules. Neurofilaments (10nm in dia.) are built from three intertwined protofibrils which are themselves composed of two tetrameric protofilament complexs of monomeric proteins. The neurofilament triplet proteins (68/70, 160, and 200 kDa) occur in both the central and peripheral nervous system and are usually neuron specific. The 68/70 kDa NF-L protein can self-assemble into a filamentous structure, however the 160 kDa NF-M and 200 kDa NF-H proteins require the presence of the 68/70 kDa NF-L protein to co-assemble. Neuromas, ganglioneuromas, gangliogliomas, ganglioneuroblastomas and neuroblastomas stain positively for neurofilaments. Although typically restricted to neurons, neurofilaments have been detected in paragangliomas and adrenal and extra-adrenal pheochromocytomas. Carcinoids, neuroendocrine carcinomas of the skin, and oat cell carcinomas of the lung also express neurofilaments.
* See full size versions for corresponding references.
Each Pathway Explorer Antibody Minipack contains three related antibodies as part of a signaling cascade or a combination of total and phosphorylated forms of key signaling targets. Each of the three antibodies are 30% the original pack size. Full size versions of each of the Pathway Explorer antibodies are available for sale individually under the same catalog number with the removal of “SP” off of each one (e.g. 05-591SP can be ordered as 05-591).
Neurofilament 70 kDa, clone DA2:
Neurofilaments are a type of intermediate filament that serve as major elements of the cytoskeleton supporting the axon cytoplasm. They are the most abundant fibrillar components of the axon, being on average 3-10 times more frequent than axonal microtubules. Neurofilaments (10nm in dia.) are built from three intertwined protofibrils which are themselves composed of two tetrameric protofilament complexs of monomeric proteins. The neurofilament triplet proteins (68/70, 160, and 200 kDa) occur in both the central and peripheral nervous system and are usually neuron specific. The 68/70 kDa NF-L protein can self-assemble into a filamentous structure, however the 160 kDa NF-M and 200 kDa NF-H proteins require the presence of the 68/70 kDa NF-L protein to co-assemble. Neuromas, ganglioneuromas, gangliogliomas, ganglioneuroblastomas and neuroblastomas stain positively for neurofilaments. Although typically restricted to neurons, neurofilaments have been detected in paragangliomas and adrenal and extra-adrenal pheochromocytomas. Carcinoids, neuroendocrine carcinomas of the skin, and oat cell carcinomas of the lung also express neurofilaments.
Neurofilament, Heavy:
Neurofilaments are a type of intermediate filament that serve as major elements of the cytoskeleton supporting the axon cytoplasm. They are the most abundant fibrillar components of the axon, being on average 3-10 times more frequent than axonal microtubules. Neurofilaments (10nm in dia.) are built from three intertwined protofibrils which are themselves composed of two tetrameric protofilament complexs of monomeric proteins. The neurofilament triplet proteins (68/70, 160, and 200 kDa) occur in both the central and peripheral nervous system and are usually neuron specific. The 68/70 kDa NF-L protein can self-assemble into a filamentous structure, however the 160 kDa NF-M and 200 kDa NF-H proteins require the presence of the 68/70 kDa NF-L protein to co-assemble. Neuromas, ganglioneuromas, gangliogliomas, ganglioneuroblastomas and neuroblastomas stain positively for neurofilaments. Although typically restricted to neurons, neurofilaments have been detected in paragangliomas and adrenal and extra-adrenal pheochromocytomas. Carcinoids, neuroendocrine carcinomas of the skin, and oat cell carcinomas of the lung also express neurofilaments.
* See full size versions for corresponding references.
Neurofilaments are a type of intermediate filament that serve as major elements of the cytoskeleton supporting the axon cytoplasm. They are the most abundant fibrillar components of the axon, being on average 3-10 times more frequent than axonal microtubules. Neurofilaments (10nm in dia.) are built from three intertwined protofibrils which are themselves composed of two tetrameric protofilament complexs of monomeric proteins. The neurofilament triplet proteins (68/70, 160, and 200 kDa) occur in both the central and peripheral nervous system and are usually neuron specific. The 68/70 kDa NF-L protein can self-assemble into a filamentous structure, however the 160 kDa NF-M and 200 kDa NF-H proteins require the presence of the 68/70 kDa NF-L protein to co-assemble. Neuromas, ganglioneuromas, gangliogliomas, ganglioneuroblastomas and neuroblastomas stain positively for neurofilaments. Although typically restricted to neurons, neurofilaments have been detected in paragangliomas and adrenal and extra-adrenal pheochromocytomas. Carcinoids, neuroendocrine carcinomas of the skin, and oat cell carcinomas of the lung also express neurofilaments.
Investigator Mini-packs contain smaller qauntities of related antibodies within a specific research area of Neuroscience. The investigator Mini-pack for Neurofilament Antibodies includes monoclonal and polyclonal antibodies against the heavy medium and light chains.
Investigator Mini-packs contain smaller qauntities of related antibodies within a specific research area of Neuroscience. The investigator Mini-pack for Neurofilament Antibodies includes monoclonal and polyclonal antibodies against the heavy medium and light chains.
This Antibody pack contains Anti-Neurofilament H & M Antibody, Anti-Neurofilament H Antibody, Anti-Neurofilament L Antibody.
Application
Research Category
Neuroscience
Neuroscience
Research Sub Category
Neurofilament & Neuron Metabolism
Neuronal & Glial Markers
Neurofilament & Neuron Metabolism
Neuronal & Glial Markers
This Antibody pack contains Anti-Neurofilament H & M Antibody, Anti-Neurofilament H Antibody, Anti-Neurofilament L Antibody.
Biochem/physiol Actions
Cross Reactivty
Varies. See individual Data Sheets
Varies. See individual Data Sheets
Packaging
Each vial is 30% the size of the parent catalog number
Physical form
3 individual tubes containing either Anti-Neurofilament, Heavy; Anti-Neurofilament H & M, phosphorylated, clone NP1; or Anti-Neurofilament 70 kDa, clone DA2
Preparation Note
Varies. See individual Data Sheets.
Analysis Note
Individual targets are routinely evaluated by Immunohistochemistry and western blot.
Other Notes
MAB1592SP Anti-Neurofilament H & M; 30μL
AB5539SP Anti-Neurofilament H; 30 μL
MAB1615SP Anti-Neurofilament L; 90μL
AB5539SP Anti-Neurofilament H; 30 μL
MAB1615SP Anti-Neurofilament L; 90μL
Disclaimer
Unless otherwise stated in our catalog or other company documentation accompanying the product(s), our products are intended for research use only and are not to be used for any other purpose, which includes but is not limited to, unauthorized commercial uses, in vitro diagnostic uses, ex vivo or in vivo therapeutic uses or any type of consumption or application to humans or animals.
Still not finding the right product?
Explore all of our products under Neurofilament Antibodies Investigator Antibody Mini-Pack
Storage Class
10 - Combustible liquids
Regulatory Information
新产品
This item has
Certificates of Analysis (COA)
Search for Certificates of Analysis (COA) by entering the products Lot/Batch Number. Lot and Batch Numbers can be found on a product’s label following the words ‘Lot’ or ‘Batch’.
Already Own This Product?
Find documentation for the products that you have recently purchased in the Document Library.
Global Trade Item Number
| SKU | GTIN |
|---|---|
| 15-209 | 04053252025280 |