Sign In to View Organizational & Contract Pricing.
Select a Size
Change View
About This Item
UNSPSC Code:
12352203
NACRES:
NA.41
eCl@ss:
32160702
Conjugate:
unconjugated
Clone:
polyclonal
Application:
IHC, WB
Citations:
20
biological source
rabbit
Quality Level
conjugate
unconjugated
antibody form
affinity isolated antibody
antibody product type
primary antibodies
clone
polyclonal
purified by
affinity chromatography
species reactivity
mouse, rat
manufacturer/tradename
Chemicon®
concentration
1 mg/mL
technique(s)
immunohistochemistry: suitable (paraffin), western blot: suitable
NCBI accession no.
UniProt accession no.
shipped in
wet ice
target post-translational modification
unmodified
Gene Information
mouse ... Aqp5(11830)
rat ... Aqp5(25241)
General description
Aquaporins (AQPs) are a family of channel proteins that allow water or very small solutes to pass, functioning in tissues where the rapid and regulated transport of fluid is necessary, such as the kidney, lung, and salivary glands. Aquaporin 5 is considered to play an important role in water movement across the plasma membrane in salivary fluid secretion and corneal/lens lubrication and is a focus of studies illucidating bechanisms underlying diabetic xerostomia.
~28 kDa observed
Immunogen
KLH-conjugated linear peptide corresponding to the cytoplasmic domain of rat Aquaporin 5.
Epitope: Cytoplasmic domain
Application
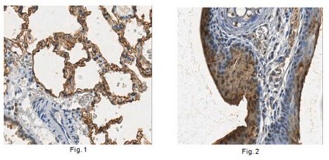
Immunohistochemistry Analysis: A 1:500-2,000 dilution from a representative lot detected Aquaporin 5 in rat lung and mouse trachea tissue.
Immunohistochemistry Analysis: A representative lot from independent laboratories detected Aquaporin 5 in various paraformaldehyde fixed tissues (see references).
Immunohistochemistry Analysis: A representative lot from independent laboratories detected Aquaporin 5 in various paraformaldehyde fixed tissues (see references).
Research Category
Neuroscience
Neuroscience
Research Sub Category
Developmental Signaling
Developmental Signaling
This Anti-Aquaporin 5 (AQP5) Antibody is validated for use in WB for the detection of Aquaporin 5 (AQP5).
Biochem/physiol Actions
Aquaporin 5 (AQP5). By Western blot the antibody reacts with a band at ~ 24 kDa on rat submaxillary gland lysate.
Physical form
ImmunoAffinity Purified
Purified rabbit polyclonal in buffer containing PBS with 0.05% sodium azide.
Preparation Note
Maintain at 2-8°C in undiluted aliquots for up to 1 year after date of receipt.
During shipment, small volumes of product will occasionally become entrapped in the seal of the product vial. For products with volumes of 200μL or less, we recommend gently tapping the vial on a hard surface or briefly centrifuging the vial in a tabletop centrifuge to dislodge any liquid in the container′s cap.
During shipment, small volumes of product will occasionally become entrapped in the seal of the product vial. For products with volumes of 200μL or less, we recommend gently tapping the vial on a hard surface or briefly centrifuging the vial in a tabletop centrifuge to dislodge any liquid in the container′s cap.
Analysis Note
Control
Tested on Rat Salivary Gland Lysate
Tested on Rat Salivary Gland Lysate
Evaluated by Western Blotting in rat salivary gland tissue lysate.
Western Blotting Analysis: 0.1 µg/mL of this antibody detected Aquaporin 5 in 10 µg of rat salivary gland tissue lysate.
Western Blotting Analysis: 0.1 µg/mL of this antibody detected Aquaporin 5 in 10 µg of rat salivary gland tissue lysate.
Legal Information
CHEMICON is a registered trademark of Merck KGaA, Darmstadt, Germany
Disclaimer
Unless otherwise stated in our catalog or other company documentation accompanying the product(s), our products are intended for research use only and are not to be used for any other purpose, which includes but is not limited to, unauthorized commercial uses, in vitro diagnostic uses, ex vivo or in vivo therapeutic uses or any type of consumption or application to humans or animals.
Still not finding the right product?
Try our Product Selector Tool to narrow your options
Storage Class
12 - Non Combustible Liquids
wgk
WGK 1
flash_point_f
Not applicable
flash_point_c
Not applicable
Certificates of Analysis (COA)
Search for Certificates of Analysis (COA) by entering the products Lot/Batch Number. Lot and Batch Numbers can be found on a product’s label following the words ‘Lot’ or ‘Batch’.
Already Own This Product?
Find documentation for the products that you have recently purchased in the Document Library.
Related Content
S Raina et al.
The Journal of biological chemistry, 270(4), 1908-1912 (1995-01-27)
The Aquaporin family of water channels plays a fundamental role in transmembrane water movements in numerous plant and animal tissues. Since the molecular pathway by which water is secreted by salivary glands is unknown, a cDNA was isolated from rat
Verification and spatial localization of aquaporin-5 in the ocular lens.
Grey, AC; Walker, KL; Petrova, RS; Han, J; Wilmarth, PA; David, LL; Donaldson, PJ; Schey, KL
Experimental Eye Research null
Wenli Yang et al.
PloS one, 9(11), e113451-e113451 (2014-11-25)
The hepatopulmonary syndrome (HPS) develops when pulmonary vasodilatation leads to abnormal gas exchange. However, in human HPS, restrictive ventilatory defects are also observed supporting that the alveolar epithelial compartment may also be affected. Alveolar type II epithelial cells (AT2) play
Global Trade Item Number
| SKU | GTIN |
|---|---|
| AB15858 | 04053252368639 |