Skip to Content
Merck
CN

AB1607

Anti-Phosphothreonine Antibody

Chemicon®, from rabbit

Synonym(s):

Phospho-Threonine Antibody

Sign In to View Organizational & Contract Pricing.

Select a Size

Change View

About This Item

UNSPSC Code:
12352203
NACRES:
NA.41
eCl@ss:
32160702
Clone:
polyclonal
Technique(s):
ELISA: suitable, immunohistochemistry: suitable (paraffin), immunoprecipitation (IP): suitable, western blot: suitable
Application:
ELISA, IHC, IP, WB
Citations:
20
Technical Service
Need help? Our team of experienced scientists is here for you.
Let Us Assist


biological source

rabbit

Quality Level

antibody form

affinity isolated antibody

antibody product type

primary antibodies

clone

polyclonal

purified by

affinity chromatography

species reactivity (predicted by homology)

all

manufacturer/tradename

Chemicon®

technique(s)

ELISA: suitable, immunohistochemistry: suitable (paraffin), immunoprecipitation (IP): suitable, western blot: suitable

shipped in

wet ice

target post-translational modification

phosphorylation (pThr)

General description

Protein phosphorylation and dephosphorylation are basic mechanisms for the modification of protein function in eukaryotic cells. Phosphorylation is a rare post-translational event in normal tissue, however, the abundance of phosphorylated cellular proteins increases several fold following various activation processes which are mediated through phosphotyrosine, phosphoserine or phosphothreonine (p-tyr/p-ser/p-thr). Many signal transduction pathways, such as the EGF, PDGF and insulin receptor systems, contain tyr/ser/thr kinase which phosphorylate specific tyr/ser/thr residues upon binding of ligands to their receptors. T cell antigen receptor complex or the receptors for some hemopoietic growth factors may stimulate these phosphorylation associated kinases, and cells transformed by viral oncogenes contain elevated levels of phosphorylated tyr/ser/thr.

Immunogen

Keyhole Limpet Hemocyanin (KLH) – conjugated phosphothreonine conjugates and Phosvitin.

Application

Anti-Phosphothreonine Antibody is an antibody against Phosphothreonine for use in ELISA, IH(P), IP & WB.
ELISA (kinase assay):
A 0.5 μg/mL concentration of a previous lot was used in ELISA.

Immunoprecipitation:
A previous lot of this antibody was used in IP.

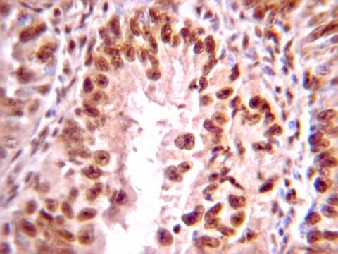
Immunohistochemistry (paraffin):
Representative image from a previous lot.

Optimal working dilutions must be determined by end user.
Research Category
Signaling
Research Sub Category
General Post-translation Modification

Biochem/physiol Actions

Anti-phosphothreonine is species independent
By direct competitive ELISA methodology (antigen capture) the specificity of this antibody has been determined to be phosphothreonine. Binding of Ly-pT-Gly-HRP (0.2μg/100μL/well) to an anti-phosphothreonine coated microplate (0.5μg/100μL/well) is inhibited by 95% with the addition of 2-10 μg/mL anti-phosphothreonine. No inhibition is evident by inhibition of phosphoserine, phosphotyrosine, or threonine at concentrations of up to 1 mg/mL. Antibody AB1607 recognizes phosphothreonine, peptidyl-phosphothreonine, and threonine-phosphorylated proteins.

Physical form

ImmunoAffinity Purified
Purified rabbit polyclonal in PBS buffer, containing 50% Glycerol, 0.01% NaN3.

Preparation Note

Stable for 1 year at -20ºC in undiluted aliquots from date of receipt.

Handling Recommendations:
Upon receipt, and prior to removing the cap, centrifuge the vial and gently mix the solution. Aliquot into microcentrifuge tubes and store at -20°C. Avoid repeated freeze/thaw cycles, which may damage IgG and affect product performance. Note: Variability in freezer temperatures below -20°C may cause glycerol-containing solutions to become frozen during storage.

Analysis Note

Control
Mouse brain lysate.
Routinely evaluated by Western Blot on Calyculin/Okadaic Acid treated HEK293 lysate.

Western Blot Analysis: 1:500 dilution of this lot detected PHOSPHOTHREONINE on 10 μg of Calyculin/Okadaic Acid treated HEK293 lysate.

Other Notes

Concentration: Please refer to the Certificate of Analysis for the lot-specific concentration.

Legal Information

CHEMICON is a registered trademark of Merck KGaA, Darmstadt, Germany

Disclaimer

Unless otherwise stated in our catalog or other company documentation accompanying the product(s), our products are intended for research use only and are not to be used for any other purpose, which includes but is not limited to, unauthorized commercial uses, in vitro diagnostic uses, ex vivo or in vivo therapeutic uses or any type of consumption or application to humans or animals.


Still not finding the right product?

Try our Product Selector Tool to narrow your options


Storage Class

12 - Non Combustible Liquids

wgk

WGK 2

flash_point_f

Not applicable

flash_point_c

Not applicable



Certificates of Analysis (COA)

Search for Certificates of Analysis (COA) by entering the products Lot/Batch Number. Lot and Batch Numbers can be found on a product’s label following the words ‘Lot’ or ‘Batch’.

Already Own This Product?

Find documentation for the products that you have recently purchased in the Document Library.

Visit the Document Library



Repeated probing of Southwestern blots using alkaline phosphatase stripping.
Yinshan Jia,Daifeng Jiang,Harry W Jarrett
Journal of Chromatography A null
Dimerization of Matrix Metalloproteinase-2 (MMP-2): FUNCTIONAL IMPLICATION IN MMP-2 ACTIVATION.
Bon-Hun Koo,Yeon Hyang Kim,Jung Ho Han,Doo-Sik Kim
The Journal of Biological Chemistry null
K L Wüthrich et al.
The Plant journal : for cell and molecular biology, 21(2), 189-198 (2000-04-01)
Red chlorophyll catabolite (RCC) reductase (RCCR) and pheophorbide (Pheide) a oxygenase (PaO) catalyse the key reaction of chlorophyll catabolism, porphyrin macrocycle cleavage of Pheide a to a primary fluorescent catabolite (pFCC). RCCR was purified from barley and a partial gene



Global Trade Item Number

SKUGTIN
AB160704053252470868