Skip to Content
Merck
CN

AB5804

Anti-Glial Fibrillary Acidic Protein Antibody

CHEMICON®, rabbit polyclonal

Synonym(s):

glial fibrillary acidic protein

Sign In to View Organizational & Contract Pricing.

Select a Size

Change View

About This Item

UNSPSC Code:
12352203
eCl@ss:
32160702
NACRES:
NA.41
Clone:
polyclonal
Species reactivity:
human, bovine, canine, rat
Application:
ICC, IHC (p), WB
Citations:
409
Technical Service
Need help? Our team of experienced scientists is here for you.
Let Us Assist


Product Name

Anti-Glial Fibrillary Acidic Protein (GFAP) Antibody, serum, Chemicon®

biological source

rabbit

Quality Level

antibody form

serum

antibody product type

primary antibodies

clone

polyclonal

species reactivity

human, bovine, canine, rat

manufacturer/tradename

Chemicon®

technique(s)

immunocytochemistry: suitable, immunohistochemistry (formalin-fixed, paraffin-embedded sections): suitable, western blot: suitable

NCBI accession no.

UniProt accession no.

shipped in

dry ice

target post-translational modification

unmodified

Gene Information

human ... GFAP(2670)

General description

50 kDa
Glial fibrillary acidic protein is a class-III intermediate filament. GFAP is the main constituent of intermediate filaments in astrocytes and serves as a cell specific marker that distinguishes differentiated astrocytes from other glial cells during the development of the central nervous system.

Immunogen

Purified bovine GFAP

Application

Anti-Glial Fibrillary Acidic Protein (GFAP) Antibody is an antibody against Glial Fibrillary Acidic Protein (GFAP) for use in IC, IH, IH(P) with more than 65 product citations.
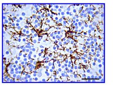
Immunohistochemistry(paraffin):
Representative images from a previous lot.

Immunocytochemistry:
A 1:1,000 dilution of a previous lot was used in Immunocytochemistry.
Research Category
Neuroscience
Research Sub Category
Neuronal & Glial Markers

Biochem/physiol Actions

It is expected that the antibody will react with most mammalian GFAP due to homology. Reactivity with other species has not been confirmed.
Recognizes Glial Fibrillary Acidic Protein (GFAP).

Physical form

Rabbit serum. Liquid. Contains no preservative.
Unpurified

Preparation Note

Stable for 1 year at -20°C undiluted aliquots from date of receipt.
Handling Recommendations: Upon receipt, and prior to removing the cap, centrifuge the vial and gently mix the solution. Aliquot into microcentrifuge tubes and store at -20°C. Avoid repeated freeze/thaw cycles, which may damage IgG and affect product performance.

Analysis Note

Control
Mouse brain tissue, rat astrocytes, rat neurons.
Routinely evaluated by immunohistochemistry on brain tissue, astrocytes, and neurons.

Immunohistochemistry(paraffin) Analysis:
GFAP (IHC2078) staining of Human Brain. Tissue pretreated with Citrate Buffer, pH 6.0. Pre-diluted polyclonal antibody, using IHC-Select Detection with HRP-DAB. Glial cells stain strongly (brown).
Optimal Staining with Citrate Buffer Epitope Retrieval: Human Brain

Legal Information

CHEMICON is a registered trademark of Merck KGaA, Darmstadt, Germany

Disclaimer

Unless otherwise stated in our catalog or other company documentation accompanying the product(s), our products are intended for research use only and are not to be used for any other purpose, which includes but is not limited to, unauthorized commercial uses, in vitro diagnostic uses, ex vivo or in vivo therapeutic uses or any type of consumption or application to humans or animals.


Still not finding the right product?

or

Try our Product Selector Tool to narrow your options


Storage Class

10 - Combustible liquids

flash_point_f

Not applicable

flash_point_c

Not applicable



Certificates of Analysis (COA)

Search for Certificates of Analysis (COA) by entering the products Lot/Batch Number. Lot and Batch Numbers can be found on a product’s label following the words ‘Lot’ or ‘Batch’.

Already Own This Product?

Find documentation for the products that you have recently purchased in the Document Library.

Visit the Document Library


Protocols

Step-by-step culture protocols for neural stem cell culture including NSC isolation, expansion, differentiation and characterization.

Articles

ReNcell neural progenitors are immortalized human neural stem cell lines that can differentiate into neurons, astrocytes sand oligodendrocytes.

Related Content

抗体的质量决定了整个免疫检测的成败, 是在选择抗体时首选的考虑因素。基于Sigma®、Chemicon®、Upstate®、Mil l ipore®、 Calbiochem®和Novagen®等子品牌的强强联合,默克在创新的 免疫原设计、免疫、挑选、筛选和验证等方面有着数十年的经验, 创造出许多被广泛使用的抗体,如4G10,Neun,组蛋白修饰等抗 体都是相关领域的“金标”抗体。 我们的技术和科研背景使默克成为高质量抗体的主要设计者和生产 者,而不仅仅是经销商。毋庸置疑,我们的每个小瓶中的抗体都包 含着大量的科学研究成果。

As the focus of stem cell research undergoes a transition from animal to human models, researchers are in critical need of validated products to support the isolation, maintenance, differentiation, and characterization of human stem cells. While many reagents designed for rodent systems can be applied to human stem cell studies, they are not truly optimized for robust human stem cell culture or analysis. This is why human stem cell researchers have always trusted EMD Millipore, the first provider of commercially available human embryonic stem cells and human neural stem cell lines, to accelerate their research. All of our human stem cell systems are extensively tested in defined media culture, and differentiated progeny are comprehensively characterized with highly validated antibodies and detection reagents.


Inhibition of CXCR1 and CXCR2 chemokine receptors attenuates acute inflammation, preserves gray matter and diminishes autonomic dysreflexia after spinal cord injury.
Marsh DR, Flemming JM
Spinal Cord null
Damir Sapunar et al.
Pain, 152(5), 1173-1181 (2011-03-08)
Neuropeptide Y (NPY) has an important but still insufficiently defined role in pain modulation. We therefore examined the ability of NPY to modulate experimentally induced neuropathic pain by injecting it directly into dorsal root ganglion (DRG) immediately following spinal nerve
D Amantea et al.
Cell death & disease, 2, e238-e238 (2011-12-14)
In addition to its effects in the hypothalamus to control body weight, leptin is involved in the regulation of neuronal function, development and survival. Recent findings have highlighted the neuroprotective effects of leptin against ischemic brain injury; however, to date



Global Trade Item Number

SKUGTIN
AB580408436037125355