Skip to Content
Merck
CN

AB9610

Anti-OLIG2 Antibody

CHEMICON®, rabbit polyclonal

Synonym(s):

Oligodendrocyte transcription factor 2, Oligo2, Class B basic helix-loop-helix protein 1, bHLHb1, Class E basic helix-loop-helix protein 19, bHLHe19, Protein kinase C-binding protein 2, Protein kinase C-binding protein RACK17

Sign In to View Organizational & Contract Pricing.

Select a Size

Change View

About This Item

UNSPSC Code:
12352203
eCl@ss:
32160702
NACRES:
NA.41
Clone:
polyclonal
Species reactivity:
mouse, human, rat
Application:
ICC, IHC (p), IP, WB
Citations:
486
Technical Service
Need help? Our team of experienced scientists is here for you.
Let Us Assist


Product Name

Anti-Olig-2 Antibody, Chemicon®, from rabbit

biological source

rabbit

Quality Level

antibody form

purified antibody

antibody product type

primary antibodies

clone

polyclonal

species reactivity

mouse, human, rat

manufacturer/tradename

Chemicon®

technique(s)

immunocytochemistry: suitable, immunohistochemistry (formalin-fixed, paraffin-embedded sections): suitable, immunoprecipitation (IP): suitable, western blot: suitable

NCBI accession no.

UniProt accession no.

shipped in

wet ice

target post-translational modification

unmodified

Gene Information

human ... OLIG2(10215)

General description

Oligodendrocyte transcription factor 2 (UniProt: Q13516, also known as Oligo2, Class B basic helix-loop-helix protein 1, bHLHb1, Class E basic helix-loop-helix protein 19, bHLHe19, Protein kinase C-binding protein 2, Protein kinase C-binding protein RACK17) is encoded by the OLIG2 (also known as BHLHB1, BHLHE19, PRKCBP2, RACK17) gene (Gene ID: 10215) in human. Olig2 is expressed in the brain in oligodendrocytes. Its strong expression is also observed in oligodendrogliomas. Olig2 is required for oligodendrocyte and motor neuron specification in the spinal cord, as well as for the development of somatic motor neurons in the hindbrain. It functions together with ZNF488 to promote oligodendrocyte differentiation. Olig2 is observed in both nucleus and the cytoplasm. Its nuclear localization signal is contained in the bHLH domain (aa 108-162). It can be masked in the native form and translocation to the nucleus may be mediated by interaction either with class E bHLH partner protein or with NKX2-2. Olig2 cooperates with Olig1 to establish the motor neuron progenitor domain of the embryonic neural tube. Removal of Cdx transcription factors is shown to result in the continued induction of Olig2 and ectopic production of cranial motor neuron progenitors. A chromosomal aberration involving Olig2 is shown to cause a form of T-cell acute lymphoblastic leukemia (T-ALL). (Ref.: Metzis, V., et al. (2018). Cell 175(4); 1105-1118).
~32 kDa

Immunogen

Recombinant mouse Olig-2

Application

Anti-Olig-2 Antibody is an antibody against Oligodendrocyte transcription factor 2 for use in IC, IH, IH(P), IP and WB.
Research Category
Neuroscience
Research Sub Category
Neuronal & Glial Markers
Western Blot Analysis:
1:2,500-1:5,000 dilution of a previous lot was used in western blot on human, rat and mouse cell lines (human oligodendroglioma, rat primary neurepithelial, mouse transfected) and tissues (brain and spinal cord).

Immunoprecipitation:
1:500-1:1,000 with human oligodendroglioma and mouse transfected cell line.
Optimal working dilutions must be determined by the end user.

Immunocytochemistry:
1:500-1:1,000 dilution of a previous lot was used in immunocytochemistry on human, rat and mouse cell lines (human oligodendroglioma, rat primary neurepithelial, mouse transfected) and tissues (brain and spinal cord).

Optimal working dilutions must be determined by the end user

Biochem/physiol Actions

Other species have not been tested.
Recognizes the ~32 kDa Olig-2 protein by Western blot.

Physical form

Ammonium Sulfate Precipitation
Format: Purified
Purified rabbit polyclonal. Liquid in 100 mM Glycine, 200 mM Tris, pH 8.0.

Preparation Note

Stable for 6 months at 2-8ºC from date of receipt.

Analysis Note

Control
Mouse brain whole cell lysate, PC12 whole cell lysate, brain (rat) tissue lysate
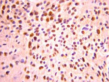
Evaluated by immunohistochemistry on glioblastoma

Immunohistochemistry (Paraffin):
Representative lot data.
Anti-Olig2 (AB9610) staining pattern morphology in glioblastoma. Tissue was pretreated with TE Buffer, pH 9.0. Polyclonal antibody was diluted to 1:500, using IHC-Select Detection with HRP-DAB.
Optimal Staining With TE Buffer Epitope Retrieval: Glioblastoma

Legal Information

CHEMICON is a registered trademark of Merck KGaA, Darmstadt, Germany

Disclaimer

Unless otherwise stated in our catalog or other company documentation accompanying the product(s), our products are intended for research use only and are not to be used for any other purpose, which includes but is not limited to, unauthorized commercial uses, in vitro diagnostic uses, ex vivo or in vivo therapeutic uses or any type of consumption or application to humans or animals.


Still not finding the right product?

Explore all of our products under Anti-Olig-2 Antibody

or

Try our Product Selector Tool to narrow your options


Storage Class

12 - Non Combustible Liquids

wgk

WGK 1



Certificates of Analysis (COA)

Search for Certificates of Analysis (COA) by entering the products Lot/Batch Number. Lot and Batch Numbers can be found on a product’s label following the words ‘Lot’ or ‘Batch’.

Already Own This Product?

Find documentation for the products that you have recently purchased in the Document Library.

Visit the Document Library


Protocols

Tips and troubleshooting for FFPE and frozen tissue immunohistochemistry (IHC) protocols using both brightfield analysis of chromogenic detection and fluorescent microscopy.

Articles

抗体可与特定的抗原结合,产生独特的抗体-抗原复合物。本文讨论这一连接键的性质,以及其作为分子标签的研究应用。

免疫荧光法(IF)通过在抗体标记上荧光分子,然后使用激光器激发荧光,包括蛋白质的定位、验证翻译后修饰或活化以及与其他蛋白质的邻近和复合等操作。

探索抗体处理基础知识,包括有关结构、类别和正常免疫球蛋白系列的技术信息。

View All Articles

Related Content

抗体的质量决定了整个免疫检测的成败, 是在选择抗体时首选的考虑因素。基于Sigma®、Chemicon®、Upstate®、Mil l ipore®、 Calbiochem®和Novagen®等子品牌的强强联合,默克在创新的 免疫原设计、免疫、挑选、筛选和验证等方面有着数十年的经验, 创造出许多被广泛使用的抗体,如4G10,Neun,组蛋白修饰等抗 体都是相关领域的“金标”抗体。 我们的技术和科研背景使默克成为高质量抗体的主要设计者和生产 者,而不仅仅是经销商。毋庸置疑,我们的每个小瓶中的抗体都包 含着大量的科学研究成果。


Inga Nazarenko et al.
PloS one, 6(4), e18303-e18303 (2011-04-15)
Deregulation of platelet-derived growth factor (PDGF) signaling is a hallmark of malignant glioma. Two alternatively spliced PDGF-A mRNAs have been described, corresponding to a long (L) and a short (S) isoform of PDGF-A. In contrast to PDGF-A(S), the PDGF-A(L) isoform
A novel transient glutamatergic population migrating from the pallial-subpallial boundary contributes to neocortical development.
Teissier, A; Griveau, A; Vigier, L; Piolot, T; Borello, U; Pierani, A
The Journal of Neuroscience null
Human neural progenitors from different foetal forebrain regions remyelinate the adult mouse spinal cord.
Buchet, D; Garcia, C; Deboux, C; Nait-Oumesmar, B; Baron-Van Evercooren, A
Brain null



Global Trade Item Number

SKUGTIN
AB961004053252366536