Skip to Content
Merck
CN

ABN1350

Anti-ApoE4 Fragment nApoECF Antibody (Asp172)

from rabbit, purified by affinity chromatography

Synonym(s):

Apolipoprotein E, ApoE4 Fragment nApoECF (Asp172), Apo-E

Sign In to View Organizational & Contract Pricing.

Select a Size

Change View

About This Item

UNSPSC Code:
12352203
NACRES:
NA.41
eCl@ss:
32160702
Conjugate:
unconjugated
Clone:
polyclonal
Application:
IF, IHC, WB
Citations:
4
Technical Service
Need help? Our team of experienced scientists is here for you.
Let Us Assist


biological source

rabbit

Quality Level

conjugate

unconjugated

antibody form

affinity isolated antibody

antibody product type

primary antibodies

clone

polyclonal

purified by

affinity chromatography

species reactivity

human

species reactivity (predicted by homology)

bovine (based on 100% sequence homology)

technique(s)

immunofluorescence: suitable, immunohistochemistry: suitable (paraffin), western blot: suitable

NCBI accession no.

UniProt accession no.

shipped in

wet ice

target post-translational modification

unmodified

Gene Information

human ... APOE(348)

General description

Apolipoprotein E (UniProt P02649; also known as Apo-E) is encoded by the APOE (also known as AD2, LDLCQ5, LPG) gene (Gene ID 348) in human. Apolipoprotein E (ApoE) is found in the chylomicron and Intermediate-density lipoprotein (IDLs) and is essential for the normal catabolism of triglyceride-rich lipoprotein constituents. ApoE is initially produced with a signal peptide sequence (a.a. 1-18), the removal of which yields the 299 a.a. mature protein. Three additional natural variants (E2, E3, and E4) exist due to polymorphisms. E4 has an allele frequency of approximately 14 percent and has been implicated in atherosclerosis and various CNS disorders, including Alzheimer′s disease (AD). ApoE4 is highly susceptible to proteolysis, which impairs its role in cholesterol transport and beta-amyloid removal in the CNS. Various ApoE4 fragments (14–20 kDa) have been identified in the AD brain. The C-terminal portion of apoE has been implicated in binding to beta-amyloid and is localized to plaques, while the N-terminal domain preferentially localizes within neurofibrillary tangles (NFTs) in the AD brain.
~18 kDa calculated

Immunogen

Epitope: C-terminus
Linear peptide corresponding to the C-terminal sequence of human ApoE4 fragment nApoECF (Asp172).

Application

Anti-ApoE4 Fragment nApoECF Antibody (Asp172) is an antibody against ApoE4 Fragment nApoECF for use in Immunohistochemistry (Paraffin), Western Blotting, Immunofluorescence.
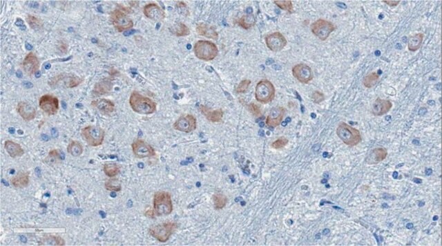
Immunohistochemistry Analysis: A 1:1,000 dilution from a representative lot detected little ApoE4 fragment nApoECF (Asp172) immunoreactivity in normal human brain tissue.

Western Blotting Analysis: 1.0 µg/mL from a representative lot detected ApoE4 fragment nApoECF (Asp172) in 10 µg of human Alzheimer′s diseased brain tissue lysate.

Immunofluorescence Analysis: A representative lot detected a strong nApoECF (n-terminal ApoE4 Cleavage Fragment) immunoreactivity co-localized with that of PHF-1 within Pick bodies of area CA1 by dual-fluorescent immunohistochemistry using free-floating hippocampus tissue sections from a Pick′s disease patient (Rohn, T.T., et al. (2013). PLoS One. 8(12):e80180).

Immunofluorescence Analysis: A representative lot detected nApoECF (n-terminal ApoE4 Cleavage Fragment) immunoreactivity co-localized with that of cleaved Tau (Asp421; Cat. No. 36-017) within Pick bodies of area CA1 by dual-fluorescent immunohistochemistry using free-floating hippocampus tissue sections from a Pick′s disease patient (Rohn, T.T., et al. (2013). PLoS One. 8(12):e80180).

Immunofluorescence Analysis:A representative lot detected the the nApoECF (n-terminal ApoE4 Cleavage Fragment) immunoreactivity co-localized with the PHF-1-positive neurofibrillary tangles (NFTs) in the frontal cortex of Alzheimer′s diseased brains by dual-fluorescent immunohistochemistry using formic acid-treated free-floating sections (Rohn, T.T., et al. (2012). Brain Res. 1475:106-115).

Immunohistochemistry Analysis: A representative lot detected a strong nApoECF (n-terminal ApoE4 Cleavage Fragment) immunoreactivity within Pick bodies of area CA1 among 4 out of 5 Pick′s disease patients-derived free-floating hippocampus specimens (Rohn, T.T., et al. (2013). PLoS One. 8(12):e80180).

Immunohistochemistry Analysis: A representative lot detected the specific association of the nApoECF (n-terminal ApoE4 Cleavage Fragment) immunoreactivity with the neurofibrillary tangles (NFTs), but not within the Abeta-positive senile plaques, in the frontal cortex of Alzheimer′s diseased brains using formic acid-treated free-floating sections (Rohn, T.T., et al. (2012). Brain Res. 1475:106-115).

Western Blotting Analysis: A representative lot detected the 18 kDa nApoECF (n-terminal ApoE4 Cleavage Fragment; a.a. 1-172) present in the preparations of bacterially expressed human ApoE4, but not the full-length ApoE4 itself or the caspse-3-cleaved 16 kDa ApoE4 fragment (Rohn, T.T., et al. (2012). Brain Res. 1475:106-115).

Note: This antibody will detect any ApoE fragments with Asp172 at the C-terminus. This antibody was raised against a hydrophobic immunogen sequence and therefore exhibits high affinity toward hydrophobic membrane surface. Multiple banding pattern and overall high background are expected when using this antibody for Western blotting applications, especially when employing tissue samples.
Research Category
Neuroscience
Research Sub Category
Neurodegenerative Diseases

Biochem/physiol Actions

Specifically recognizes the ApoE4 N-terminal fragment(s) generated by a proteolytic cleavage between Asp172 and Leu173 of ApoE4. Does not recognize full-length ApoE3 and ApoE4, nor ApoE4 fragments with C-termi other than D172.

Physical form

Affinity purified
Purified rabbit polyclonal antibody in buffer containing 0.1 M Tris-Glycine (pH 7.4), 150 mM NaCl with 0.05% sodium azide.

Preparation Note

Stable for 1 year at 2-8°C from date of receipt.

Analysis Note

Evaluated by Immunohistochemistry in Alzheimer′s diseased human brain tissue.

Immunohistochemistry Analysis: A 1:250 dilution of this antibody detected ApoE4 fragment nApoECF (Asp172) in Alzheimer′s diseased human brain tissue.

Other Notes

Concentration: Please refer to lot specific datasheet.

Disclaimer

Unless otherwise stated in our catalog or other company documentation accompanying the product(s), our products are intended for research use only and are not to be used for any other purpose, which includes but is not limited to, unauthorized commercial uses, in vitro diagnostic uses, ex vivo or in vivo therapeutic uses or any type of consumption or application to humans or animals.


Still not finding the right product?

Try our Product Selector Tool to narrow your options


Storage Class

12 - Non Combustible Liquids

wgk

WGK 1

flash_point_f

Not applicable

flash_point_c

Not applicable

Regulatory Information

新产品

This item has



Certificates of Analysis (COA)

Search for Certificates of Analysis (COA) by entering the products Lot/Batch Number. Lot and Batch Numbers can be found on a product’s label following the words ‘Lot’ or ‘Batch’.

Already Own This Product?

Find documentation for the products that you have recently purchased in the Document Library.

Visit the Document Library


Related Content

Alzheimer’s Disease is a progressively deteriorating disease. It manifests itself with memory loss, confusion, problems with judgment, planning, concentration, and personality changes; and in it’s later stages, a decline in physical abilities. The disease’s causes, cures, and preventions are unknown; however, key proteins likely involved in the degenerative mechanism have been identified. Alzheimer’s Disease is characterized by neuronal loss, alterations in neurotransmitter systems, and the presence of neurofibrillary tangles composed of abnormally hyperphosphorylated tau proteins. A prominent feature of Alzheimer’s Disease is the formation of senile plaques in selected regions of the brain. The center of these plaques are composed mainly of fibrillary aggregates of a common, but not well understood, b amyloid peptides (Aβ). The Aβ peptides are generated from the larger amyloid-β precursor protein (APP) by the sequential action of β- and γ-secretase, and it is generally accepted that oligomeric forms of this Aβ are neurotoxic, resulting in disease progression.


Troy T Rohn et al.
Brain research, 1475, 106-115 (2012-08-21)
Although the risk factor for harboring the apolipoprotein E4 (apoE4) allele in late-onset Alzheimer's disease (AD) is well known, the mechanism by which apoE4 contributes to AD pathogenesis has yet to be clarified. Preferential cleavage of the ApoE4 isoform relative
Troy T Rohn et al.
PloS one, 8(12), e80180-e80180 (2013-12-07)
Although the risk factor for apolipoprotein E (apoE) polymorphism in Alzheimer's disease (AD) has been well described, the role that apoE plays in other neurodegenerative diseases, including Pick's disease, is not well established. To examine a possible role of apoE



Global Trade Item Number

SKUGTIN
ABN135004055977301069