Skip to Content
Merck
CN

ABS436

Anti-ROCK2 Antibody

from rabbit, purified by affinity chromatography

Synonym(s):

Rho-associated coiled-coil containing protein kinase 2, Rho-associated protein kinase 2, Rho-associated coiled-coil-containing protein kinase II, p164 ROCK-2, ROCK2

Sign In to View Organizational & Contract Pricing.

Select a Size

Change View

About This Item

UNSPSC Code:
12352203
NACRES:
NA.41
eCl@ss:
32160702
Conjugate:
unconjugated
Clone:
polyclonal
Application:
IHC, WB
Citations:
1
Technical Service
Need help? Our team of experienced scientists is here for you.
Let Us Assist


biological source

rabbit

Quality Level

conjugate

unconjugated

antibody form

affinity isolated antibody

antibody product type

primary antibodies

clone

polyclonal

purified by

affinity chromatography

species reactivity

mouse

technique(s)

immunohistochemistry: suitable, western blot: suitable

UniProt accession no.

shipped in

wet ice

target post-translational modification

unmodified

Gene Information

mouse ... Rock2(19878)

General description

Rho-associated protein kinase 2 (ROCK2), also known as Rho kinase 2, Rho-associated, coiled-coil-containing protein kinase II, and p164 ROCK-2, is a member of the AGC serine/threonine protein kinase family. ROCK2 is a key regulator of actin cytoskeleton and cell polarity. It is involved in regulation of actin cytoskeleton organization, smooth muscle contraction, malignant cell transformation, tumor invasion and metastasis, stress fiber and focal adhesion formation, neurite retraction, motility and cell adhesion. Many of the key roles of ROCK2 are attributed to its ability to phosphorylate ADD1, BRCA2, CNN1, EZR, DPYSL2, EP300, MSN, MYL9/MLC2, NPM1, RDX, PPP1R12A, VIM, SORL1 and IRF4. ROCK2 regulates positively the activation of p42/MAPK1-p44/MAPK3 and the regulation of p90RSK/RPS6KA1 during myogenic differentiation. Alternatively, ROCK2 is a negative regulator of VEGF-induced angiogenic endothelial cell activation. Recent studies have shown that ROCK2 inhibits keratinocyte terminal differentiation and may play an important role in the timely initiation of centrosome duplication. It also may regulate closure of the eyelids and ventral body wall through organization of actomyosin bundles. Additional evidence suggests that ROCK2 plays a critical role in the regulation of spine and synaptic properties in the hippocampus.
~160 kDa observed. Uncharacterized bands may appear in some lysate(s).

Immunogen

KLH-conjugated linear peptide corresponding to human ROCK2.

Application

Anti-ROCK2 Antibody is a highly specific rabbit polyclonal antibody, that targets Rho-associated protein kinase 2 & has been tested in western blotting & IHC.
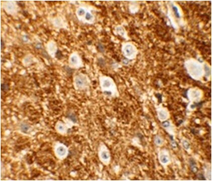
Immunohistochemistry Analysis: 5 µg/mL from a representative lot detected ROCK2 in mouse brain tissue.
Research Category
Signaling
Research Sub Category
Developmental Signaling

Physical form

Antigen Affinity Purified
Purified rabbit polyclonal in buffer containing PBS with up to 0.1% sodium azide.

Preparation Note

Stable for 1 year at 2-8°C from date of receipt.

Analysis Note

Control
Mouse brain tissue lysate
Evaluated by Western Blotting in mouse brain tissue lysate.

Western Blotting Analysis: 2 µg/mL of this antibody detected ROCK2 in 15 µg of mouse brain tissue lysate.

Other Notes

Concentration: Please refer to the Certificate of Analysis for the lot-specific concentration.
Replaces: MABN1037

Disclaimer

Unless otherwise stated in our catalog or other company documentation accompanying the product(s), our products are intended for research use only and are not to be used for any other purpose, which includes but is not limited to, unauthorized commercial uses, in vitro diagnostic uses, ex vivo or in vivo therapeutic uses or any type of consumption or application to humans or animals.


Still not finding the right product?

Try our Product Selector Tool to narrow your options


Storage Class

12 - Non Combustible Liquids

wgk

WGK 2

flash_point_f

Not applicable

flash_point_c

Not applicable



Certificates of Analysis (COA)

Search for Certificates of Analysis (COA) by entering the products Lot/Batch Number. Lot and Batch Numbers can be found on a product’s label following the words ‘Lot’ or ‘Batch’.

Already Own This Product?

Find documentation for the products that you have recently purchased in the Document Library.

Visit the Document Library



Ning Ai et al.
Experimental and therapeutic medicine, 18(2), 1493-1499 (2019-08-01)
MicroRNA-466 was recently characterized as a tumor suppressor with known biological function in prostate cancer. The aim of the current study was to investigate the possible involvement of microRNA-466 in hepatocellular carcinoma (HCC). The current study demonstrated that the expression



Global Trade Item Number

SKUGTIN
ABS43604053252905698