Sign In to View Organizational & Contract Pricing.
Select a Size
Change View
About This Item
UNSPSC Code:
12352203
NACRES:
NA.41
eCl@ss:
32160702
Conjugate:
unconjugated
Clone:
polyclonal
Application:
IHC, WB
Citations:
1
biological source
rabbit
conjugate
unconjugated
antibody form
affinity isolated antibody
antibody product type
primary antibodies
clone
polyclonal
purified by
affinity chromatography
species reactivity
human
species reactivity (predicted by homology)
mouse (based on 100% sequence homology)
technique(s)
immunohistochemistry: suitable (paraffin), western blot: suitable
NCBI accession no.
UniProt accession no.
shipped in
wet ice
target post-translational modification
unmodified
Gene Information
human ... TP63(8626)
General description
p40, also known as Tumor protein 63, p63, Chronic ulcerative stomatitis protein, CUSP, Keratinocyte transcription factor , KET, Transformation-related protein 63, TP63, Tumor protein p73-like, p73L, p40, or p51, and encoded by the gene TP63/KET/P63/P73H/P73L/TP73L, is a member of the p53 protein family. p40 is a sequence specific DNA binding transcriptional activator or repressor depending upon the target gene and the isoform involved. The isoforms contain a varying set of transactivation and auto-regulating transactivation inhibiting domains thus showing an isoform specificactivity. p40 is involved in Notch signaling and plays a role in p53/TP53 dependent apoptosis and epithelial morphogenesis. Moreover p40, developmentally, is required for proper limb formation. p40 is expressed widely, notably in heart, kidney, placenta, prostate, skeletal muscle, testis and thymus, although the precise isoform varies according to tissue type. Progenitor cell layers of skin, breast, eye and prostate express high levels of DeltaN-type isoforms. Isoform 10 is predominantly expressed in skin squamous cell carcinomas, but not in normal skin tissues. Mutations in p40 lead to a variety of dysplasias and malformations, including Acro-dermato-ungual-lacrimal-tooth syndrome (ADULT syndrome), Ankyloblepharon-ectodermal defects cleft lip/palate disorder (AEC), Ectrodactyly, ectodermal dysplasia, and cleft lip/palate syndrome 3 (EEC3), Split-hand/foot malformation 4 (SHFM4), Limb-mammary syndrome (LMS), Ectodermal dysplasia, Rapp-Hodgkin type (EDRH), Non-syndromic orofacial cleft 8 (OFC8).
~63/56/51/46 kDa observed. Uncharacterized band(s) may appear in some lysates.
Immunogen
Epitope: Transcription activation domain
KLH-conjugated linear peptide corresponding to the transcription activation domain of human p40.
Application
Anti-p40 | ABS552 is an antibody against p40 for use in Western Blotting, Immunohistochemistry (Paraffin).
Research Category
Signaling
Signaling
Research Sub Category
Signaling Neuroscience
Signaling Neuroscience
Western Blotting Analysis: 2.0 µg/mL from a representative lot detected p40 in 10 µg of human liver and human skin tissue lysate.
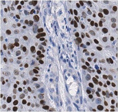
Immunohistochemistry Analysis: A 1:1,000 dilution from a representative lot detected Isocitrate dehydrogenase in squamous carcinoma cells.
Immunohistochemistry Analysis: A 1:1,000 dilution from a representative lot detected Isocitrate dehydrogenase in squamous carcinoma cells.
Biochem/physiol Actions
Uniprot describes multiple isoforms for this protein and based on the immunogen this antibody should recognize isoforms 2,4,6,8,10 and 12.
Physical form
Affinity purified
Purified rabbit polyclonal in buffer containing 0.1 M Tris-Glycine (pH 7.4), 150 mM NaCl with 0.05% sodium azide.
Preparation Note
Stable for 1 year at 2-8°C from date of receipt.
Analysis Note
Evaluated by Western Blotting in human heart tissue lysate.
Western Blotting Analysis: 2.0 µg/mL of this antibody detected p40 in 10 µg of human heart tissue lysate.
Western Blotting Analysis: 2.0 µg/mL of this antibody detected p40 in 10 µg of human heart tissue lysate.
Other Notes
Concentration: Please refer to lot specific datasheet.
Disclaimer
Unless otherwise stated in our catalog or other company documentation accompanying the product(s), our products are intended for research use only and are not to be used for any other purpose, which includes but is not limited to, unauthorized commercial uses, in vitro diagnostic uses, ex vivo or in vivo therapeutic uses or any type of consumption or application to humans or animals.
Still not finding the right product?
Try our Product Selector Tool to narrow your options
Storage Class
12 - Non Combustible Liquids
wgk
WGK 1
flash_point_f
Not applicable
flash_point_c
Not applicable
Regulatory Information
低风险生物材料
常规特殊物品
This item has
Certificates of Analysis (COA)
Search for Certificates of Analysis (COA) by entering the products Lot/Batch Number. Lot and Batch Numbers can be found on a product’s label following the words ‘Lot’ or ‘Batch’.
Already Own This Product?
Find documentation for the products that you have recently purchased in the Document Library.
Theresa Casey et al.
American journal of physiology. Regulatory, integrative and comparative physiology, 311(6), R1125-R1134 (2016-10-07)
Circadian clocks influence virtually all physiological processes, including lactation. Here, we investigate the role of the CLOCK gene in regulation of mammary epithelial cell growth and differentiation. Comparison of mammary morphology in late-pregnant wild-type and ClockΔ19 mice, showed that gland
Global Trade Item Number
| SKU | GTIN |
|---|---|
| ABS552 | 04055977123814 |
| ABS552-KL | 04055977136685 |