Skip to Content
Merck
CN

MAB1913-C

Anti-Collagen Type I (COL1A1) Antibody

mouse monoclonal, PCIDG10

Synonym(s):

Collagen alpha-1(I) chain, Procollagen Type I, CT, Alpha-1 type I collagen

Sign In to View Organizational & Contract Pricing.

Select a Size

Change View

About This Item

UNSPSC Code:
12352203
eCl@ss:
32160702
NACRES:
NA.43
Clone:
PCIDG10, monoclonal
Species reactivity:
mouse, human, rat, guinea pig
Application:
ELISA, FACS, ICC, IHC
Citations:
12
Technical Service
Need help? Our team of experienced scientists is here for you.
Let Us Assist


Product Name

Anti-Procollagen Type I Antibody, CT, clone PCIDG10 (Ascites Free), clone PCIDG10, from mouse

biological source

mouse

Quality Level

antibody form

purified immunoglobulin

antibody product type

primary antibodies

clone

PCIDG10, monoclonal

species reactivity

mouse, human, rat, guinea pig

species reactivity (predicted by homology)

bovine (based on 100% sequence homology)

technique(s)

ELISA: suitable, flow cytometry: suitable, immunocytochemistry: suitable, immunohistochemistry: suitable (paraffin)

isotype

IgG1κ

NCBI accession no.

UniProt accession no.

shipped in

dry ice

target post-translational modification

unmodified

Gene Information

human ... COL1A1(1277)

General description

140 kDa calculated
Collagen alpha-1(I) chain (UniProt P02452; also known as Alpha-1 type I collagen) is encoded by the COL1A1 gene (Gene ID 1277) in human. Collagen is the major component of the extracellular matrix (ECM) and forms the fibrils of tendons, ligaments, and bones. Type I collagen consists of two alpha I chains and one alpha 2 chain. Alpha-1 type I collagen is initially produced as a 1464-amino acid prepro-form with a signal peptide sequence (a.a. 1-22) and two propeptide sequences (a.a. 23-161 and a.a. 1219 –1464), the removal of which yields the mature alpha-1(I) chain. The mature alpha-1(I) chain is composed mostly of a large triple-helical region (a.a. 179-1192) sandwiched between two nonhelical segments known as the N-terminal telopeptide (a.a. 162-178; numbering based on the prepro-form) and the C-terminal telopeptide (a.a. 1193-1218; numbering based on the prepro-form). Collagen can be extracted from tissue via either enzymatic or non-enzymatic means. Collagen extracted using the proteolytic enzyme pepsin corresponds to the large triple-helical region, referred to as atelocollagen because both the N- and C-terminal telopeptides have been cleaved off by pepsin. On the other hand, collagen preparations obtained with non-enzymatic means (e.g. by acid extraction) have the intact telopeptides at both ends.

Immunogen

Epitope: C-terminal propeptide region
Human pro-collagen I.

Application

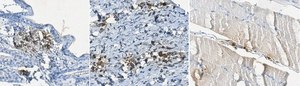
Immunohistochemistry Analysis: A 1:50 dilution from a representative lot detected Procollagen Type I in mouse skin, rat skin, and rat skeletal muscle tissue.
Immunocytochemistry Analysis: A representative lot detected type I procollagen immunoreactivity in human semitendinosus and gracilis tendon fibroblasts from patients undergoing reconstruction surgery after anterior cruciate ligament (ACL) rupture by fluorescent immunocytochemistry (Bayer, M.L., et al. (2012). Mech Ageing Dev. 133(5):246-254).
Flow Cytometry Analysis: A representative lot detected PICP+/CD45+ fibrocytes in lung cells from bleomycin-treated mice (Yeager, M.E., et al. (2012). Eur Respir J. 39(1):104-111).
Flow Cytometry Analysis: A representative lot detected higher numbers and percentages of circulating PICP+/CD45+ fibrocytes in peripheral blood samples from children/yound adults with pulmonary hypertension (PH) than in samples from healthy individuals (Reese, C., et al. (2014). Front Pharmacol. 5:141).
Immunohistochemistry Analysis: A representative lot detected cytoplasmic type I procollagen immunoreactivity in stromal cells from the lysed functionalis of frozen human menstrual endometria sections (Gaide Chevronnay, H.P., et al. (2009). Endocrinology. 150(11):5094-5105).
ELISA Analysis: A representative lot detected different age-dependency of procollagen type I C-terminal propeptide (PICP) immunoreactivity in the cruciate ligaments of osteoarthritis-/OA-prone Dunkin-Hartley (DH) guinea pigs and in age-matched Bristol strain 2 (BS2) control guinea pigs (Quasnichka, H.L., et al. (2005). Arthritis Rheum. 52(10):3100-3109).
Research Category
Cell Structure
Research Sub Category
Adhesion (CAMs)
This Anti-Procollagen Type I Antibody, CT, clone PCIDG10 (Ascites Free) is validated for use in Immunohistochemistry (Paraffin), Immunocytochemistry, Flow Cytometry and ELISA for the detection of Procollagen Type I.

Biochem/physiol Actions

Labels carboxy-terminal pro-peptide of collagen type I. Does not stain mature collagen fibers in tissue, but rather is localized intracellularly in cells producing pro-collagen I.

Physical form

Format: Purified
Protein G Purified
Purified mouse monoclonal IgG1κ antibody in buffer containing 0.1 M Tris-Glycine (pH 7.4), 150 mM NaCl without preservatives.

Preparation Note

Stable for 1 year at -20°C from date of receipt.
Handling Recommendations: Upon receipt and prior to removing the cap, centrifuge the vial and gently mix the solution. Aliquot into microcentrifuge tubes and store at -20°C. Avoid repeated freeze/thaw cycles, which may damage IgG and affect product performance.

Analysis Note

Evaluated by Immunohistochemistry in human bone tissue.

Immunohistochemistry Analysis: A 1:50 dilution of this antibody detected Procollagen Type I in human bone tissue.

Other Notes

Concentration: Please refer to lot specific datasheet.

Disclaimer

Unless otherwise stated in our catalog or other company documentation accompanying the product(s), our products are intended for research use only and are not to be used for any other purpose, which includes but is not limited to, unauthorized commercial uses, in vitro diagnostic uses, ex vivo or in vivo therapeutic uses or any type of consumption or application to humans or animals.


Still not finding the right product?

or

Try our Product Selector Tool to narrow your options


Storage Class

12 - Non Combustible Liquids

wgk

WGK 1

flash_point_f

Not applicable

flash_point_c

Not applicable

Regulatory Information

新产品

This item has



Certificates of Analysis (COA)

Search for Certificates of Analysis (COA) by entering the products Lot/Batch Number. Lot and Batch Numbers can be found on a product’s label following the words ‘Lot’ or ‘Batch’.

Already Own This Product?

Find documentation for the products that you have recently purchased in the Document Library.

Visit the Document Library


Related Content

"Mods – modifications – small alterations can have a big impact on form and function. In the motorsports world, stock vehicles are modified to enhance their performance. Modifications, or mods, to the engine, drive train, intake and exhaust components add up to provide phenomenal performance gains that can be measured as horsepower and torque increases, which yield a competitive advantage, and result in reduced run times. In biology, proteins undergo modifications that alter their function. Some proteins require the modifications in order to perform their function effectively, whether it’s a pro-protein that is cleaved to produce an active enzyme, or a protein that is phosphorylated to facilitate a signaling process. Other proteins, such as histones, undergo modifications that regulate gene expression and alter cellular function. There are several post translational modifications such as acetylation, methylation, phosphorylation, and ubiquitination that impact protein function and activity. As a result, the analysis of proteins and their post-translational modifications are particularly important for the study of normal and disease-associated processes. New antibodies to detect phospho Histidines are now available from EMD Millipore."






Global Trade Item Number

SKUGTIN
MAB1913-C04055977296396