Skip to Content
Merck
CN

MAB348

Anti-Beta (β)-Amyloid antibody

CHEMICON®, mouse monoclonal, 22C11

Synonym(s):

APP, Anti - APP A4, Anti-amyloid precursor protein A4

Sign In to View Organizational & Contract Pricing.

Select a Size

Change View

About This Item

UNSPSC Code:
12352203
eCl@ss:
32160702
NACRES:
NA.41
Clone:
22C11, monoclonal
Species reactivity:
rat, fish, human, mouse, canine, pig, monkey
Application:
IF, IHC (p), WB
Citations:
512
Technical Service
Need help? Our team of experienced scientists is here for you.
Let Us Assist


Product Name

Anti-APP A4 Antibody, a.a. 66-81 of APP {NT}, clone 22C11, clone 22C11, Chemicon®, from mouse

biological source

mouse

Quality Level

antibody form

purified immunoglobulin

antibody product type

primary antibodies

clone

22C11, monoclonal

species reactivity

rat, fish, human, mouse, canine, pig, monkey

manufacturer/tradename

Chemicon®

technique(s)

immunofluorescence: suitable, immunohistochemistry (formalin-fixed, paraffin-embedded sections): suitable, western blot: suitable

isotype

IgG1

NCBI accession no.

UniProt accession no.

shipped in

dry ice

target post-translational modification

unmodified

Gene Information

human ... APP(351)

General description

The β/A4 amyloid precursor protein (APP) is a transmembrane glycoprotein and exists in three isoforms. This protein is composed of a single-pass transmembrane domain, a large extracellular N-terminal domain, and a short cytoplasmic C-terminal tail. The APP gene is located on the human chromosome at 21q21.3-q22.
110/120/130 kDa

Immunogen

Epitope: a.a. 66-81 of APP {N-terminus}
Purified recombinant Alzheimer precursor A4 (pre A4695) fusion protein.

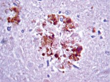
Application

Anti-APP A4 Antibody, a.a. 66-81 of APP , clone 22C11 has been used in immunohistochemistry and immunoblotting(1:1000).

Biochem/physiol Actions

Anti-APP A4 Antibody reacts with pre-A4 and recognizes amino acids 66-81 of the N-terminus on the pre-A4 molecule (Hilbich et al., 1993). 22C11 recognizes all three isoforms of APP, immature ~110kDa, sAPP ~120kDa, and mature ~130kDa (Hoffmann et al., 2000). The Anti-APP A4 antibody is known to cross-react with APLP2 (Slunt, 1994).
The β/A4 amyloid precursor protein (APP) undergoes proteolytic cleavage and produces β/A4 peptide. The extracellular deposition of this peptide is observed in brain cortical parenchyma and cerebro-meningeal blood vessels which marks the pathological condition of Alzheimer′s disease. Mutations of the APP gene lead to the early onset of Alzheimer′s disease and hereditary cerebral hemorrhage with amyloidosis.

Physical form

Format: Purified
Protein A Purified mouse immunoglobulin in 20 mM sodium phosphate, 250 mM NaCl, pH. 7.6, with 0.1% sodium azide as a preservative.
Protein A purified

Preparation Note

Maintain for 1 year at 2–8°C from date of shipment. Aliquot to avoid repeated freezing and thawing. For maximum recovery of product, centrifuge the original vial after thawing and prior to removing the cap.

Analysis Note

Control
Brain tissue, brain cell lysates

Other Notes

Concentration: Please refer to the Certificate of Analysis for the lot-specific concentration.

Legal Information

CHEMICON is a registered trademark of Merck KGaA, Darmstadt, Germany

Disclaimer

Unless otherwise stated in our catalog or other company documentation accompanying the product(s), our products are intended for research use only and are not to be used for any other purpose, which includes but is not limited to, unauthorized commercial uses, in vitro diagnostic uses, ex vivo or in vivo therapeutic uses or any type of consumption or application to humans or animals.


Still not finding the right product?

or

Try our Product Selector Tool to narrow your options


Storage Class

12 - Non Combustible Liquids

wgk

WGK 2

flash_point_c

Not applicable

Regulatory Information

动物来源生物产品
常规特殊物品

This item has



Certificates of Analysis (COA)

Search for Certificates of Analysis (COA) by entering the products Lot/Batch Number. Lot and Batch Numbers can be found on a product’s label following the words ‘Lot’ or ‘Batch’.

Already Own This Product?

Find documentation for the products that you have recently purchased in the Document Library.

Visit the Document Library


Protocols

A stem cell culture protocol to generate 3D NSC models of Alzheimer’s disease using ReNcell human neural stem cell lines.

Related Content

Alzheimer’s Disease: Amyloid Cascade and Beyond Product Focus

There’s so much room for experimental variability in traditional immunodetection workflows. For your peace of mind – and ours – we designed the SNAP i.d.® 2.0 system to streamline your Western blot and immunohistochemistry experiments. The concept is simple: a vacuum-driven flow of blocking, antibody, and washing solutions reduces slide and membrane handling. That means a lot less shaking, dipping, pouring and waiting. And now you can process multiple blots and slides in parallel, so it’s easy to apply consistent conditions across experiments.


Deletion of Mint proteins decreases amyloid production in transgenic mouse models of Alzheimer's disease.
Ho, A; Liu, X; Sudhof, TC
The Journal of Neuroscience null
Heme deficiency may be a factor in the mitochondrial and neuronal decay of aging.
Atamna, H; Killilea, DW; Killilea, AN; Ames, BN
Proceedings of the National Academy of Sciences of the USA null
Evaluation of brain damage resulting from penetrating and non-penetrating captive bolt stunning using lambs
Finnie, J W, et al
Australian Veterinary Journal, 78, 775-778 (2000)



Global Trade Item Number

SKUGTIN
MAB34808436037126390