Skip to Content
Merck
CN

MAB424

Anti-PCNA Antibody, clone PC10

clone PC10, Chemicon®, from mouse

Synonym(s):

Proliferating Cell Nuclear Antigen, DNA Polymerase delta Processivity Factor

Sign In to View Organizational & Contract Pricing.

Select a Size

Change View

About This Item

UNSPSC Code:
12352203
NACRES:
NA.41
eCl@ss:
32160702
Conjugate:
unconjugated
Clone:
PC10, monoclonal
Application:
ELISA, FACS, IHC, IP, WB
Citations:
81
Technical Service
Need help? Our team of experienced scientists is here for you.
Let Us Assist


biological source

mouse

Quality Level

conjugate

unconjugated

antibody form

purified immunoglobulin

antibody product type

primary antibodies

clone

PC10, monoclonal

species reactivity

vertebrates, invertebrates

packaging

antibody small pack of 25 μg

manufacturer/tradename

Chemicon®

technique(s)

ELISA: suitable, flow cytometry: suitable, immunohistochemistry: suitable (paraffin), immunoprecipitation (IP): suitable, western blot: suitable

isotype

IgG2a

NCBI accession no.

UniProt accession no.

shipped in

ambient

storage temp.

2-8°C

target post-translational modification

unmodified

Gene Information

human ... PCNA(5111)

General description

36 kDa
Proliferating cell nuclear antigen (PCNA) is a 36 kDa molecule that is highly conserved between species. PCNA was first identified as the antigen for a subpopulation of autoantibodies in patients with systemic lupus erythematosus (Miyachi, 1978; Takasaki, 1984; Ogata, 1987). It has since been determined that PCNA serves as a co-factor for DNA polymerase delta in S-phase as well as during DNA synthesis associated with mechanisms involved in DNA damage repair (Tan, 1987; Bravo, 1987). The temporal specificity of PCNA expression makes it an ideal marker for cell proliferation. PCNA begins to accumulate during the G1 phase of the cell cycle, is most abundant during the S phase, and declines during the G2/M phase (Kurki, 1988). Since the half-life of PCNA exceeds 20 hours, it may be possible to detect the protein in non-cycling cells.

Immunogen

Rat PCNA made in the protein A vector pR1T2T.

Application

Research Category
Epigenetics & Nuclear Function
Research Sub Category
Cell Cycle, DNA Replication & Repair
Use Anti-PCNA Antibody, clone PC10 (mouse monoclonal antibody) validated in ELISA, FC,IHC(P), IP, WB to detect PCNA also known as Proliferating Cell Nuclear Antigen, DNA Polymerase delta Processivity Factor.
Western blot: 1:250-1:1000. Nuclear extracts are preferred over whole cell protein extracts.

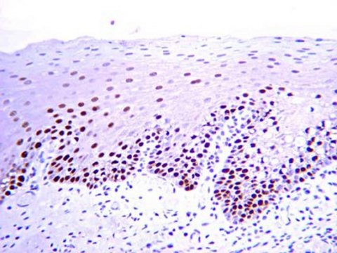
Immunohistochemistry: 1:20-1:200. Recommended for paraffin embedded tissue sections only. May be used on material fixed in a wide range of fixatives including formalin (buffered and unbuffered), methacarn and Bouin′s reagent. The time of fixation can markedly affect the intensity of PCNA immunoreactivity. Staining is reduced (and may be abolished) if sections are baked onto glass slides. Air-drying overnight on poly-L-lysine coated slides is recommended. 60 minute incubation at 25°C with standard ABC technique is recommended.

Immunoprecipitation

Indirect Flow Cytometry

Optimal working dilutions must be determined by the end user.

Biochem/physiol Actions

Clone PC10 recognizes PCNA from all vertebrate and insect species tested and has been used to identify transformed cells (Kurki, 1988), proliferating cells in solid tumors (Smetana, 1983), and blast cells in leukemia patients (Takasaki, 1984). Immunohistochemistry with clone PC10 has been used to study the expression of PCNA in paraffin sections of normal tissues and lymphoid neoplasms (Hall, 1990). In proliferating cells, PCNA staining pattern is predominantly nuclear. By western blot, the antibody detects a polypeptide migrating at 36 kDa with an isoelectric point of 4.8.

Physical form

Format: Purified
Protein A Purified mouse immunoglobulin in PBS with 0.1% sodium azide as a preservative.
Protein A purified

Preparation Note

Maintain for 1 year at 2–8°C from date of shipment. Aliquot to avoid repeated freezing and thawing. For maximum recovery of product, centrifuge the original vial after thawing and prior to removing the cap.

Analysis Note

Control
Rat kidney, Human tonsil, lymph node tissue
Tested

Other Notes

Concentration: Please refer to the Certificate of Analysis for the lot-specific concentration.

Legal Information

CHEMICON is a registered trademark of Merck KGaA, Darmstadt, Germany

Disclaimer

Unless otherwise stated in our catalog or other company documentation accompanying the product(s), our products are intended for research use only and are not to be used for any other purpose, which includes but is not limited to, unauthorized commercial uses, in vitro diagnostic uses, ex vivo or in vivo therapeutic uses or any type of consumption or application to humans or animals.


Still not finding the right product?

Explore all of our products under Anti-PCNA Antibody, clone PC10

or

Try our Product Selector Tool to narrow your options


Storage Class

12 - Non Combustible Liquids

wgk

WGK 2

flash_point_f

Not applicable

flash_point_c

Not applicable



Certificates of Analysis (COA)

Search for Certificates of Analysis (COA) by entering the products Lot/Batch Number. Lot and Batch Numbers can be found on a product’s label following the words ‘Lot’ or ‘Batch’.

Already Own This Product?

Find documentation for the products that you have recently purchased in the Document Library.

Visit the Document Library







Global Trade Item Number

SKUGTIN
MAB424-25UG04054839342714