Sign In to View Organizational & Contract Pricing.
Select a Size
Change View
About This Item
UNSPSC Code:
12352203
NACRES:
NA.41
eCl@ss:
32160702
Conjugate:
unconjugated
Clone:
1CB2, monoclonal
Application:
IHC, WB
Citations:
-
biological source
mouse
Quality Level
conjugate
unconjugated
antibody form
purified immunoglobulin
antibody product type
primary antibodies
clone
1CB2, monoclonal
species reactivity
human
should not react with
mouse
technique(s)
immunohistochemistry: suitable (paraffin), western blot: suitable
isotype
IgG1κ
NCBI accession no.
UniProt accession no.
shipped in
ambient
target post-translational modification
unmodified
Gene Information
human ... RNF31(55072)
General description
E3 ubiquitin-protein ligase RNF31 (UniProt Q96EP0; also known as HOIL-1-interacting protein, HOIP, RING finger protein 31, Zinc in-between-RING-finger ubiquitin-associated domain protein) is encoded by the RNF31 (also known as ZIBRA) gene (Gene ID 55072) in human. HOIP is a RING-between-RING (RBR) family E3 ubiquitin ligase and the only enzyme known to catalyze linear-ubiquitin-chain conjugation. HOIP functions as the primary E3 Ub ligase of the immune signaling regulatory complex LUBAC (linear-ubiquitin-chain assembly complex) composed of heme-oxidized IRP2 ubiquitin ligase-1 (HOIL-1L), HOIP, and SHANK-associated RH domain interactor (Sharpin). RBR ligases often exist in autoinhibited conformations and require protein-protein interactions or posttranslational modifications to induce a conformational change for activation. Disruption of HOIP and HOIL-1L interaction in activated B cell-like (ABC) subtype of diffuse large B-cell lymphoma (DLBCL) induces DLBCL death as a result of decreased NF-κB activation due to HOIP inactivation. On the other hand, HOIP K1056R mutant is resistant to inactivation by TLR4 stimulation-induced HOIP K1056 ubiquitination. Human HOIP is a 1072-a.a. protein that contains a polyUb-binding region (a.a. 1-485), a ubiquitin-associated or UBA domain (a.a. 564-615) that mediates HOIL-1L/RBCK1 interactioin, and a C-terminal linear-ubiquitin-chain-determining domain or LDD domain (a.a. 910-1072). In addition, HOIP conatins three RanBP2-type Zinc fingers (a.a. 299-329, 350-379, 409-438), two RING-type Zinc fingers (a.a. 699-747 and 860-909), and one IBR-type Zinc fingers (a.a. 779-841).
~120 kDa observed. 119.7/57.63/102.5 kDa (isoform 1/2/3) calculated. Target band often appears as a doublet with the upper band representing ubiquitinated HOIP. Uncharacterized bands may be observed in some lysate(s).
Immunogen
GST-tagged recombinant human HOIP (RNF31) LDD domain.
Application
Detect HOIP using this mouse monoclonal Anti-HOIP (RNF31), clone 1CB2 Antibody, Cat. No. MABE1122, validated for use in Immunohistochemistry (Paraffin) and Western Blotting.
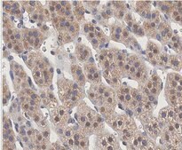
Immunohistochemistry Analysis: A 1:10 dilution from a representative lot detected HOIP (RNF31) in human uterus tissue section.
Western Blotting Analysis: 1 µg/mL from a representative lot detected endogenous HOIP (RNF31) in 60 µg of lysate from HEK293T and wild-type, but not HOIP-knockout, Jurkat cells, as well as the overexpression of an myc-tagged human HOIP in transfected HEK293T cells (Courtesy of Professor Kazuhiro Iwai, Kyoto University School of Medicine, Japan).
Western Blotting Analysis: 1 µg/mL from a representative lot detected endogenous HOIP (RNF31) in 60 µg of human (Jurkat, K562, U937), but not mouse (MEF & Bal17.2) cell lysates, as well as the overexpression of an myc-tagged human HOIP in transfected HEK293T cells (Courtesy of Professor Kazuhiro Iwai, Kyoto University School of Medicine, Japan).
Western Blotting Analysis: 1 µg/mL from a representative lot detected endogenous HOIP (RNF31) in 60 µg of lysate from HEK293T and wild-type, but not HOIP-knockout, Jurkat cells, as well as the overexpression of an myc-tagged human HOIP in transfected HEK293T cells (Courtesy of Professor Kazuhiro Iwai, Kyoto University School of Medicine, Japan).
Western Blotting Analysis: 1 µg/mL from a representative lot detected endogenous HOIP (RNF31) in 60 µg of human (Jurkat, K562, U937), but not mouse (MEF & Bal17.2) cell lysates, as well as the overexpression of an myc-tagged human HOIP in transfected HEK293T cells (Courtesy of Professor Kazuhiro Iwai, Kyoto University School of Medicine, Japan).
Biochem/physiol Actions
Clone 1CB2 detected a ~120 kDa target band only in parental, but not HOIP-knock, Jurkat cells. Clone 1CB2 targets an epitope within the C-terminal LDD domain present in all three human HOIP (RNF31) spliced isoforms reported by UniProt (Q96EP0).
Physical form
Format: Purified
Analysis Note
Immunohistochemistry Analysis: A 1:10 dilution of this antibody detected HOIP in human adrenal gland tissue section.
Other Notes
Concentration: Please refer to lot specific datasheet.
Still not finding the right product?
Try our Product Selector Tool to narrow your options
Storage Class
12 - Non Combustible Liquids
wgk
WGK 1
flash_point_f
Not applicable
flash_point_c
Not applicable
Certificates of Analysis (COA)
Search for Certificates of Analysis (COA) by entering the products Lot/Batch Number. Lot and Batch Numbers can be found on a product’s label following the words ‘Lot’ or ‘Batch’.
Already Own This Product?
Find documentation for the products that you have recently purchased in the Document Library.