Sign In to View Organizational & Contract Pricing.
Select a Size
Change View
About This Item
UNSPSC Code:
12352203
NACRES:
NA.41
eCl@ss:
32160702
Conjugate:
unconjugated
Clone:
3G10.1, monoclonal
Application:
IHC, WB
Citations:
1
biological source
mouse
Quality Level
conjugate
unconjugated
antibody form
purified immunoglobulin
antibody product type
primary antibodies
clone
3G10.1, monoclonal
species reactivity
human
technique(s)
immunohistochemistry: suitable (paraffin), western blot: suitable
isotype
IgG1κ
NCBI accession no.
UniProt accession no.
shipped in
wet ice
target post-translational modification
unmodified
Gene Information
human ... ACPP(55)
General description
ACPP, also known as Prostatic acid phosphatase, or PAP, 5′-nucleotidase (5′-NT), Ecto-5′-nuclotidase, or Thiamine monophosphatase (TMPase) , and encoded by the gene ACPP, is a non-specific tyrosine phosphatase that has both a secreted form and a cell membrane bound form. ACPP dephosphorylates a diverse number of substrates including alkyl, aryl, and acyl orthophosphate monoesters and phosphorylated proteins. ACPP also has lipid phosphatase activity and inactivates lysophosphatidic acid in seminal plasma. Additionally, the membrane bound form of ACPP has ecto-5′-nucleotidase activity in dorsal root ganglion (DRG) neurons and acts as a pain suppressor. Finally ACPP can also act as a tumor suppressor of prostate cancer. ACPP isoform 1is secreted and isoform 2 is membrane bound. Isoform 2 appears to shuttle between the cell membrane, lysosomes, and intracellular vesicles. ACPP is expressed in many tissues and is used as a marker in various stages of prostatic cancer diagnostics. Also the enzyme was intensely studied in HIV infection because it can be proteolytically cleaved in seminal fluid to produce several peptides (SEVI peptides) one of which, PAPf39, happens to enhance HIV infection by binding HIV virions and helping to attach them to target cells--interestingly such SEVI peptides are degraded in vitro by EGCG, a compound found in green tea extract.
~48 kDa observed. Two isoforms are known to exist at 45 kDa (isoform 1) and 48 kDa (isoform 2). Uncharacterized band(s) may be observed in some cell lysates.
Immunogen
GST-tagged recombinant protein corresponding to human Transmembrane Prostatic Acid Phosphatase/TMPAP.
Application
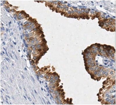
Immunohistochemistry Analysis: A 1:50 dilution from a representative lot detected Transmembrane Prostatic Acid Phosphatase/TMPAP in human prostate tissue.
Research Category
Neuroscience
Neuroscience
This Anti-Transmembrane Prostatic Acid Phosphatase Antibody/TMPAP, clone 3G10.1 is validated for use in western blotting & IHC (Paraffin) for the detection of Transmembrane Prostatic Acid Phosphatase/TMPAP.
Biochem/physiol Actions
This antibody is expected to cross react with isoform 2 based upon immunogen design.
Physical form
Format: Purified
Protein G Purified
Purified mouse monoclonal IgG1κ in buffer containing 0.1 M Tris-Glycine (pH 7.4), 150 mM NaCl with 0.05% sodium azide.
Preparation Note
Stable for 1 year at 2-8°C from date of receipt.
Analysis Note
Evaluated by Western Blotting in human prostate tumor tissue lysate.
Western Blotting Analysis: 4 µg/mL of this antibody detected this antibody detected Transmembrane Prostatic Acid Phosphatase/TMPAP in 200 µg of human prostate tumor tisssue lysate.
Western Blotting Analysis: 4 µg/mL of this antibody detected this antibody detected Transmembrane Prostatic Acid Phosphatase/TMPAP in 200 µg of human prostate tumor tisssue lysate.
Other Notes
Concentration: Please refer to the Certificate of Analysis for the lot-specific concentration.
Disclaimer
Unless otherwise stated in our catalog or other company documentation accompanying the product(s), our products are intended for research use only and are not to be used for any other purpose, which includes but is not limited to, unauthorized commercial uses, in vitro diagnostic uses, ex vivo or in vivo therapeutic uses or any type of consumption or application to humans or animals.
Still not finding the right product?
Try our Product Selector Tool to narrow your options
Storage Class
12 - Non Combustible Liquids
wgk
WGK 1
flash_point_f
Not applicable
flash_point_c
Not applicable
Certificates of Analysis (COA)
Search for Certificates of Analysis (COA) by entering the products Lot/Batch Number. Lot and Batch Numbers can be found on a product’s label following the words ‘Lot’ or ‘Batch’.
Already Own This Product?
Find documentation for the products that you have recently purchased in the Document Library.
Yi Sui et al.
British journal of cancer, 125(7), 1003-1015 (2021-07-12)
Metastasis is the major cause of treatment failure and cancer-related deaths in prostate cancer (PCa) patients. Our previous study demonstrated that a CD44+ subpopulation isolated from PCa cells or tumours possesses both stem cell properties and metastatic potential, serving as
Global Trade Item Number
| SKU | GTIN |
|---|---|
| MABN318 | 04053252947056 |