Skip to Content
Merck
CN

MABN832

Anti-pan-AMPA receptor (GluR1-4), clone 2D8 Antibody

clone 2D8, from mouse

Synonym(s):

Glutamate receptor 1, GluR-1, AMPA-selective glutamate receptor 1, GluR-A, GluR-K1, Glutamate receptor ionotropic, AMPA 1, GluA1

Sign In to View Organizational & Contract Pricing.

Select a Size

Change View

About This Item

UNSPSC Code:
12352203
NACRES:
NA.41
eCl@ss:
32160702
Conjugate:
unconjugated
Clone:
2D8, monoclonal
Application:
ELISA, EM, ICC, IF, IHC, WB
Citations:
2
Technical Service
Need help? Our team of experienced scientists is here for you.
Let Us Assist


biological source

mouse

Quality Level

conjugate

unconjugated

antibody form

purified antibody

antibody product type

primary antibodies

clone

2D8, monoclonal

species reactivity

human, rat

technique(s)

ELISA: suitable, electron microscopy: suitable, immunocytochemistry: suitable, immunofluorescence: suitable, immunohistochemistry: suitable, western blot: suitable

isotype

IgG2bκ

NCBI accession no.

UniProt accession no.

shipped in

wet ice

target post-translational modification

unmodified

Gene Information

human ... GRIA1(2890)

General description

Glutamate receptors are synaptic receptors located primarily on the membranes of neuronal cells. Upon ligand stimulation, ionotropic glutamate receptors (iGluRs) form non-selective cation channels, while metabotropic glutamate receptors (mGluRs) indirectly activate ion channels via G protein-mediated signaling. AMPA receptors are iGluRs and are also known as alpha-amino-3-hydroxy-5-methyl-4-isoxazolepropionic acid receptors, AMPARs, or quisqualate receptors. AMPARs are composed of four types of subunits, GluR1/GluA1 (UniProt P42261) is encoded by GRIA1, GluR2/GluA2 (UniProt P42262) by GRIA2, GluR3/GluA3 (UniProt P42263) by GRIA3, and GluR4/GluA4 (UniProt P48058) by GRIA4 gene in human. AMPARs are tetrameric in nature, consisting of two sets of homodimers, most often a set of GluR2 dimer is coupled with a set of GluR1, GluR3 or GluR4 homodimer. Cat. No. Anti-pan-AMPA receptor (GluR1-4), clone 2D8, reacts with all four AMPA receptor subunits.
~85 kDa observed. Uncharacterized band(s) may appear in some lysates.

Immunogen

Fusion protein coding for the extracellular domain of AMPA Glutamate receptor 1-4 corresponding to human pan-AMPA receptor (GluR1-4).

Application

Anti-pan-AMPA receptor (GluR1-4), clone 2D8 Antibody is an antibody against AMPA receptor for use in Western Blotting, Immunohistochemistry and Immunocytochemistry, Enzyme Immunoassay (ELISA), Electron Microscopy and Immunofluorescence.
Western Blotting Analysis: 0.5 µg/mL from a representative lot detected AMPA receptor (GluR1-4) in 10 µg of human brain tissue lysate.
Western Blotting Analysis: 1.0 µg/mL from a representative lot detected AMPA receptor (GluR1-4) in 10 µg of transfected human GluA1 HEK293, transfected rat GluA1 HEK293, transfected rat GluA2 HEK293, transfected rat GluA3 HEK293, and Mock transfected cell lysate.
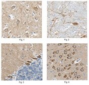
Immunohistochemistry Analysis: A 1:250-1,000 dilution from a representative lot detected AMPA receptor (GluR1-4) in human cerebral cortex, human thalamus, rat cerebellum, and rat cerebral cortex tissue.
Immunocytochemistry Analysis: A representative lot detected AMPA receptor (GluR1-4) in Hela cells transfected with GluA1, GluA2, GluA3 and GluA4 (Courtesy of Dr John Morrison, Mount Sinai School of Medicine).
Immunofluorescence Analysis: A representative lot detected AMPA receptor (GluR1-4) in rodent, primate and human brain sections (Courtesy of Dr John Morrison, Mount Sinai School of Medicine).
Electron Microscopy Analysis: A representative lot detected AMPA receptor (GluR1-4) in rat hippocampus (Courtesy of Dr John Morrison, Mount Sinai School of Medicine).
ELISA Analysis: A representative lot detected AMPA receptor (GluR1-4) in TrpE fusion proteins (Courtesy of Dr John Morrison, Mount Sinai School of Medicine).

Physical form

Format: Purified

Analysis Note

Evaluated by Western Blotting in rat brain tissue lysate.

Western Blotting Analysis: 0.5 µg/mL of this antibody detected AMPA receptor (GluR1-4) in 10 µg of rat brain tissue lysate.

Other Notes

Concentration: Please refer to lot specific datasheet.


Still not finding the right product?

Try our Product Selector Tool to narrow your options


Storage Class

12 - Non Combustible Liquids

wgk

WGK 1

flash_point_f

Not applicable

flash_point_c

Not applicable



Certificates of Analysis (COA)

Search for Certificates of Analysis (COA) by entering the products Lot/Batch Number. Lot and Batch Numbers can be found on a product’s label following the words ‘Lot’ or ‘Batch’.

Already Own This Product?

Find documentation for the products that you have recently purchased in the Document Library.

Visit the Document Library



Alessandro L Gallina et al.
Frontiers in cardiovascular medicine, 8, 655869-655869 (2021-05-08)
Objectives and Aims: Vascular smooth muscle cells (VSMCs) are key constituents of both normal arteries and atherosclerotic plaques. They have an ability to adapt to changes in the local environment by undergoing phenotypic modulation. An improved understanding of the mechanisms
Hang Zhou et al.
British journal of anaesthesia, 126(6), 1141-1156 (2021-03-02)
Both animal and retrospective human studies have linked extended and repeated general anaesthesia during early development with cognitive and behavioural deficits later in life. However, the neuronal circuit mechanisms underlying this anaesthesia-induced behavioural impairment are poorly understood. Neonatal mice were



Global Trade Item Number

SKUGTIN
MABN83204055977159332