Sign In to View Organizational & Contract Pricing.
Select a Size
Change View
About This Item
UNSPSC Code:
12352203
NACRES:
NA.41
eCl@ss:
32160702
Conjugate:
unconjugated
Clone:
273-34A, monoclonal
Application:
ELISA, EM, IHC (p), IP
Citations:
14
biological source
rat
Quality Level
conjugate
unconjugated
antibody form
purified antibody
antibody product type
primary antibodies
clone
273-34A, monoclonal
species reactivity
mouse, human
technique(s)
ELISA: suitable, electron microscopy: suitable, immunohistochemistry (formalin-fixed, paraffin-embedded sections): suitable, immunoprecipitation (IP): suitable
isotype
IgG2aκ
NCBI accession no.
UniProt accession no.
shipped in
wet ice
target post-translational modification
unmodified
Gene Information
human ... THBD(7056)
mouse ... Thbd(21824)
General description
Thrombomodulin (UniProt P15306; also known as CD141, Fetomodulin, SnoRNA MBII-339, TM) is encoded by the Thbd gene (Gene ID 21824) in murine species. Thrombomodulin (TM) is an endothelial cell surface protein that function to suppress the propagation of thrombin (activated blood-coagulation factor II) generation by acting as a thrombin receptor. Formation of the TM-thrombin complex abolishes thrombin′s procoagulant activity by altering its substrate specificity, leading to proteolytic cleavage of protein C into the natural anticoagulant termed "activated protein C". Together with protein S, activated protein C proteolytically cleaves activated coagulation factors Va and VIIIa, thereby preventing the generation of activated coagulation factors Xa and thrombin. Murine thrombomodulin is initially produced with an N-terminal propeptide (a.a. 1-16) sequence, the removal of which yields the mature protein with a large extracellular region (a.a. 17-517), a transmembrane segment (a.a. 518-541), and a short cytoplamic tail (a.a. 542-577).
~ 62 kDa calculated
Immunogen
Epitope: Extracellular domain
Normal mouse lung microsomal fraction.
Application
This Anti-Thrombomodulin Antibody, clone 273-34A is validated for use in Immunohistochemistry, Immunoprecipitation, Immunohistochemistry (Paraffin), ELISA, Electron Microscopy for the detection of Thrombomodulin.
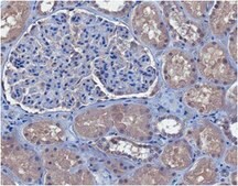
Immunohistochemistry Analysis: A 1:50 dilution from a representative lot detected Thrombomodulin in human kidney tissue.
Immunoprecipitation Analysis: Representative lots immunoprecipitated the 112 kDa thrombomodulin from normal mouse lung fibroblasts (NMLF), but not Line 1 mouse lung carcinoma cells (Kennel, S.J., et al. (1988). Lab. Invest. 59(5):692-701; Kennel, S.J., et al. (1987). Exp. Mol. Pathol. 47(1):110-124).
Immunohistochemistry Analysis: A representative lot detected upregulated thrombomodulin immunoreactivity associated with the neoepidermis during wound healing using formalin-fixed, paraffin-embedded mouse skin sections (Peterson, J.J., et al. (1999). Am. J. Pathol. 155(5): 1569–1575).
Immunohistochemistry Analysis: Representative lots detected epithelium thrombomodulin immunoreactivity in paraffin-embedded mouse lung sections (Ford, V.A., et al. (1992). J. Biol. Chem. 267(8):5446-5450; Kennel, S.J., et al. (1987). Exp. Mol. Pathol. 47(1):110-124).
Immunohistochemistry Analysis: A representative lot detected thrombomodulin immunoreactivity associated with capillary endothelial cells by fluorescent immunohistochemistry using frozen mouse lung sections (Kennel, S.J., et al. (1987). Exp. Mol. Pathol. 47(1):110-124)
ELISA Analysis: Representative lots were used as the capture antibody for the detection of thrombomodulin in mouse tissue samples by sandwich ELISA using clone 411-201B (Cat. No. MABS1273) as the detection antibody, followed by an HRP-conjugated secondary antibody, or by sandwich radio-immunoassay using 125I-labeled clone 411-201B as the detection antibody (Isermann, B., et al. (2001). Development. 128(6):827-838; Conway, E.M., et al. (1999). Blood. 93(10):3442-3450; Weiler-Guettler, H., et al. (1996). Circ. Res. 78(2):180-187; Ford, V.A., et al. (1992). J. Biol. Chem. 267(8):5446-5450).
Electron Microscopy Analysis: Representative lots detected thrombomodulin immunoreactivity associated with capillary endothelial cells by EM using frozen mouse lung sections (Kennel, S.J., et al. (1988). Lab. Invest. 59(5):692-701; Kennel, S.J., et al. (1987). Exp. Mol. Pathol. 47(1):110-124).
Western Blotting Analysis: A representative lot detected purified thrombomodulin (P112) from normal mouse lung fibroblasts (NMLF) (Kennel, S.J., et al. (1988). Lab. Invest. 59(5):692-701).
Immunoprecipitation Analysis: Representative lots immunoprecipitated the 112 kDa thrombomodulin from normal mouse lung fibroblasts (NMLF), but not Line 1 mouse lung carcinoma cells (Kennel, S.J., et al. (1988). Lab. Invest. 59(5):692-701; Kennel, S.J., et al. (1987). Exp. Mol. Pathol. 47(1):110-124).
Immunohistochemistry Analysis: A representative lot detected upregulated thrombomodulin immunoreactivity associated with the neoepidermis during wound healing using formalin-fixed, paraffin-embedded mouse skin sections (Peterson, J.J., et al. (1999). Am. J. Pathol. 155(5): 1569–1575).
Immunohistochemistry Analysis: Representative lots detected epithelium thrombomodulin immunoreactivity in paraffin-embedded mouse lung sections (Ford, V.A., et al. (1992). J. Biol. Chem. 267(8):5446-5450; Kennel, S.J., et al. (1987). Exp. Mol. Pathol. 47(1):110-124).
Immunohistochemistry Analysis: A representative lot detected thrombomodulin immunoreactivity associated with capillary endothelial cells by fluorescent immunohistochemistry using frozen mouse lung sections (Kennel, S.J., et al. (1987). Exp. Mol. Pathol. 47(1):110-124)
ELISA Analysis: Representative lots were used as the capture antibody for the detection of thrombomodulin in mouse tissue samples by sandwich ELISA using clone 411-201B (Cat. No. MABS1273) as the detection antibody, followed by an HRP-conjugated secondary antibody, or by sandwich radio-immunoassay using 125I-labeled clone 411-201B as the detection antibody (Isermann, B., et al. (2001). Development. 128(6):827-838; Conway, E.M., et al. (1999). Blood. 93(10):3442-3450; Weiler-Guettler, H., et al. (1996). Circ. Res. 78(2):180-187; Ford, V.A., et al. (1992). J. Biol. Chem. 267(8):5446-5450).
Electron Microscopy Analysis: Representative lots detected thrombomodulin immunoreactivity associated with capillary endothelial cells by EM using frozen mouse lung sections (Kennel, S.J., et al. (1988). Lab. Invest. 59(5):692-701; Kennel, S.J., et al. (1987). Exp. Mol. Pathol. 47(1):110-124).
Western Blotting Analysis: A representative lot detected purified thrombomodulin (P112) from normal mouse lung fibroblasts (NMLF) (Kennel, S.J., et al. (1988). Lab. Invest. 59(5):692-701).
Research Category
Signaling
Signaling
Research Sub Category
Signaling Neuroscience
Signaling Neuroscience
Physical form
Format: Purified
Protein G Purified
Purified rat monoclonal IgG2aκ antibody in buffer containing 0.1 M Tris-Glycine (pH 7.4), 150 mM NaCl with 0.05% sodium azide.
Preparation Note
Stable for 1 year at 2-8°C from date of receipt.
Analysis Note
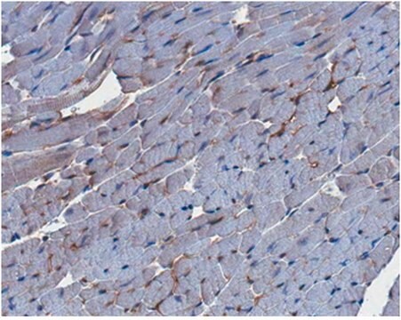
Evaluated by Immunohistochemistry in mouse heart tissue.
Immunohistochemistry Analysis: A 1:50 dilution of this antibody detected Thrombomodulin in mouse heart tissue.
Immunohistochemistry Analysis: A 1:50 dilution of this antibody detected Thrombomodulin in mouse heart tissue.
Other Notes
Concentration: Please refer to lot specific datasheet.
Disclaimer
Unless otherwise stated in our catalog or other company documentation accompanying the product(s), our products are intended for research use only and are not to be used for any other purpose, which includes but is not limited to, unauthorized commercial uses, in vitro diagnostic uses, ex vivo or in vivo therapeutic uses or any type of consumption or application to humans or animals.
Still not finding the right product?
Try our Product Selector Tool to narrow your options
Storage Class
12 - Non Combustible Liquids
wgk
WGK 2
flash_point_f
Not applicable
flash_point_c
Not applicable
Regulatory Information
常规特殊物品
This item has
Certificates of Analysis (COA)
Search for Certificates of Analysis (COA) by entering the products Lot/Batch Number. Lot and Batch Numbers can be found on a product’s label following the words ‘Lot’ or ‘Batch’.
Already Own This Product?
Find documentation for the products that you have recently purchased in the Document Library.
V A Ford et al.
The Journal of biological chemistry, 267(8), 5446-5450 (1992-03-15)
Previously, two rat monoclonal antibodies where developed which bind distinct epitopes on a murine glycoprotein, P112, which is expressed primarily in lung capillary endothelium. In this paper we show that P112 is identical to the endothelial anticoagulant protein, thrombomodulin (TM).
K V Kesari et al.
Clinical and experimental immunology, 118(2), 219-227 (1999-11-11)
Ulcerative colitis (UC) is associated with autoantibody response to a cytoskeletal protein, human tropomyosin (hTM) isoform-5 (hTM5). Because hTM5 is an intracellular protein, it may remain inaccessible to the autoantibodies. Therefore, we have investigated the possibility of externalization of hTM5
E M Conway et al.
Blood, 93(10), 3442-3450 (1999-05-11)
Thrombomodulin (TM) is a widely expressed glycoprotein receptor that plays a physiologically important role in maintaining normal hemostatic balance postnatally. Inactivation of the TM gene in mice results in embryonic lethality without thrombosis, suggesting that structures of TM not recognized
Global Trade Item Number
| SKU | GTIN |
|---|---|
| MABS1245 | 04055977298239 |