Sign In to View Organizational & Contract Pricing.
Select a Size
Change View
About This Item
UNSPSC Code:
12352203
NACRES:
NA.41
eCl@ss:
32160702
Conjugate:
unconjugated
Clone:
411-201B, monoclonal
Application:
ELISA, EM, IHC, IP, WB
Citations:
-
biological source
rat
Quality Level
conjugate
unconjugated
antibody form
purified immunoglobulin
antibody product type
primary antibodies
clone
411-201B, monoclonal
species reactivity
human, mouse
technique(s)
ELISA: suitable, electron microscopy: suitable, immunohistochemistry: suitable (paraffin), immunoprecipitation (IP): suitable, western blot: suitable
isotype
IgG2aκ
NCBI accession no.
UniProt accession no.
shipped in
wet ice
target post-translational modification
unmodified
Gene Information
human ... THBD(7056)
General description
61.87 kDa calculated.
Thrombomodulin (UniProt P15306; also known as CD141, Fetomodulin, SnoRNA MBII-339, TM) is encoded by the Thbd gene (Gene ID 21824) in murine species. Thrombomodulin (TM) is an endothelial cell surface protein that functions to suppress the propagation of thrombin (activated blood-coagulation factor II) generation by acting as a thrombin receptor. Formation of the TM-thrombin complex abolishes thrombin′s procoagulant activity by altering its substrate specificity, leading to proteolytic cleavage of protein C into the natural anticoagulant termed "activated protein C". Together with protein S, activated protein C proteolytically cleaves activated coagulation factors Va and VIIIa, thereby preventing the generation of activated coagulation factors Xa and thrombin. Murine thrombomodulin is initially produced with an N-terminal propeptide (a.a. 1-16) sequence, the removal of which yields the mature protein with a large extracellular region (a.a. 17-517), a transmembrane segment (a.a. 518-541), and a short cytoplamic tail (a.a. 542-577).
Immunogen
Epitope: Extracellular domain.
Normal mouse lung homogenate.
Application
Anti-Thrombomodulin Antibody, clone 411-201B is an antibody against Thrombomodulin for use in Immunohistochemistry (Paraffin), Electron Microscopy, Immunoprecipitation, Western Blotting, ELISA.
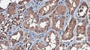
Immunohistochemistry Analysis: A 1:50 dilution from a representative lot detected Thrombomodulin in human kidney tissue.
Electron Microscopy: A representative lot detected thrombomodulin immunoreactivity associated with capillary endothelial cells by EM using frozen mouse lung sections (Kennel, S.J., et al. (1988). Lab. Invest. 59(5):692-701).
Immunoprecipitation Analysis: A representative lot immunoprecipitated the 112 kDa thrombomodulin from normal mouse lung fibroblast (NMLF) lysates, but not from thrombomodulin-depleted NMLF lysates by performing IP with clone 273-34A (Cat. No. MABS1245) prior to IP with clone 411-201B (Kennel, S.J., et al. (1988). Lab. Invest. 59(5):692-701).
Western Blotting Analysis: A representative lot detected thrombomodulin (P112) in the normal mouse lung fibroblast (NMLF) immunoprecipitates obtained with either clone 411-201B or clone 273-34A (Cat. No. MABS1245) (Kennel, S.J., et al. (1988). Lab. Invest. 59(5):692-701).
Immunohistochemistry Analysis: Representative lots and clone 273-34A (Cat. No. MABS1245) showed similar staining pattern using both frozen and paraffin-embedded mouse lung sections (Ford, V.A., et al. (1992). J. Biol. Chem. 267(8):5446-5450; Rorvik, M.C., et al. (1988). J. Histochem. Cytochem. 36(7):741-749; Kennel, S.J., et al. (1988). Lab. Invest. 59(5):692-701).
ELISA Analysis: Representative lots were used as the detection antibody for the detection of thrombomodulin in mouse tissue samples by sandwich ELISA using clone 273-34A (Cat. No. MABS1245) as the capture antibody and an HRP-conjugated secondary antibody, or by sandwich radio-immunoassay employing 125I-labeled clone 411-201B without an enzyme-conjugated secondary antibody (Isermann, B., et al. (2001). Development. 128(6):827-838; Conway, E.M., et al. (1999). Blood. 93(10):3442-3450; Weiler-Guettler, H., et al. (1996). Circ. Res. 78(2):180-187; Ford, V.A., et al. (1992). J. Biol. Chem. 267(8):5446-5450).
Electron Microscopy: A representative lot detected thrombomodulin immunoreactivity associated with capillary endothelial cells by EM using frozen mouse lung sections (Kennel, S.J., et al. (1988). Lab. Invest. 59(5):692-701).
Immunoprecipitation Analysis: A representative lot immunoprecipitated the 112 kDa thrombomodulin from normal mouse lung fibroblast (NMLF) lysates, but not from thrombomodulin-depleted NMLF lysates by performing IP with clone 273-34A (Cat. No. MABS1245) prior to IP with clone 411-201B (Kennel, S.J., et al. (1988). Lab. Invest. 59(5):692-701).
Western Blotting Analysis: A representative lot detected thrombomodulin (P112) in the normal mouse lung fibroblast (NMLF) immunoprecipitates obtained with either clone 411-201B or clone 273-34A (Cat. No. MABS1245) (Kennel, S.J., et al. (1988). Lab. Invest. 59(5):692-701).
Immunohistochemistry Analysis: Representative lots and clone 273-34A (Cat. No. MABS1245) showed similar staining pattern using both frozen and paraffin-embedded mouse lung sections (Ford, V.A., et al. (1992). J. Biol. Chem. 267(8):5446-5450; Rorvik, M.C., et al. (1988). J. Histochem. Cytochem. 36(7):741-749; Kennel, S.J., et al. (1988). Lab. Invest. 59(5):692-701).
ELISA Analysis: Representative lots were used as the detection antibody for the detection of thrombomodulin in mouse tissue samples by sandwich ELISA using clone 273-34A (Cat. No. MABS1245) as the capture antibody and an HRP-conjugated secondary antibody, or by sandwich radio-immunoassay employing 125I-labeled clone 411-201B without an enzyme-conjugated secondary antibody (Isermann, B., et al. (2001). Development. 128(6):827-838; Conway, E.M., et al. (1999). Blood. 93(10):3442-3450; Weiler-Guettler, H., et al. (1996). Circ. Res. 78(2):180-187; Ford, V.A., et al. (1992). J. Biol. Chem. 267(8):5446-5450).
Research Category
Signaling
Signaling
Research Sub Category
Immunoglobulins & Immunology
Immunoglobulins & Immunology
Physical form
Format: Purified
Protein G Purified
Purified rat monoclonal IgG2aκ antibody in buffer containing 0.1 M Tris-Glycine (pH 7.4), 150 mM NaCl with 0.05% sodium azide.
Preparation Note
Stable for 1 year at 2-8°C from date of receipt.
Analysis Note
Evaluated by Immunohistochemistry in mouse lung tissue.
Immunohistochemistry Analysis: A 1:1,000 dilution of this antibody detected Thrombomodulin in mouse lung tissue.
Immunohistochemistry Analysis: A 1:1,000 dilution of this antibody detected Thrombomodulin in mouse lung tissue.
Other Notes
Concentration: Please refer to lot specific datasheet.
Disclaimer
Unless otherwise stated in our catalog or other company documentation accompanying the product(s), our products are intended for research use only and are not to be used for any other purpose, which includes but is not limited to, unauthorized commercial uses, in vitro diagnostic uses, ex vivo or in vivo therapeutic uses or any type of consumption or application to humans or animals.
Still not finding the right product?
Try our Product Selector Tool to narrow your options
Storage Class
12 - Non Combustible Liquids
wgk
WGK 1
flash_point_f
Not applicable
flash_point_c
Not applicable
Certificates of Analysis (COA)
Search for Certificates of Analysis (COA) by entering the products Lot/Batch Number. Lot and Batch Numbers can be found on a product’s label following the words ‘Lot’ or ‘Batch’.
Already Own This Product?
Find documentation for the products that you have recently purchased in the Document Library.
Global Trade Item Number
| SKU | GTIN |
|---|---|
| MABS1273 | 04055977312461 |