Skip to Content
Merck
CN

MABS1696

Anti-RANKL Antibody, clone 6A12.1

clone 6A12.1, from mouse

Synonym(s):

Tumor necrosis factor ligand superfamily member 11, Osteoclast differentiation factor, ODF, Osteoprotegerin ligand, OPGL, Receptor activator of nuclear factor kappa-B ligand, TNF-related activation-induced cytokine, CD254

Sign In to View Organizational & Contract Pricing.

Select a Size

Change View

About This Item

UNSPSC Code:
12352203
NACRES:
NA.41
eCl@ss:
32160702
Conjugate:
unconjugated
Clone:
6A12.1, monoclonal
Application:
IHC, WB
Citations:
-
Technical Service
Need help? Our team of experienced scientists is here for you.
Let Us Assist


biological source

mouse

Quality Level

conjugate

unconjugated

antibody form

unpurified

antibody product type

primary antibodies

clone

6A12.1, monoclonal

species reactivity

human

packaging

antibody small pack of 25 μL

technique(s)

immunohistochemistry: suitable (paraffin), western blot: suitable

isotype

IgG1κ

NCBI accession no.

UniProt accession no.

shipped in

ambient

target post-translational modification

unmodified

Gene Information

human ... TNFSF11(8600)

General description

Tumor necrosis factor ligand superfamily member 11 (UniProt: O14788; also known as Osteoclast differentiation factor, ODF, Osteoprotegerin ligand, OPGL, Receptor activator of nuclear factor kappa-B ligand, RANKL, TNF-related activation-induced cytokine, TRANCE, CD254) is encoded by the TNFSF11 (also known as OPGL, RANKL, TRANCE) gene (Gene ID: 8600) in human. RANKL is a single-pass type II membrane protein that is found in high levels in the peripheral lymph nodes and in lower levels in the spleen, peripheral blood Leukocytes, bone marrow, heart, placenta, skeletal muscle, stomach and thyroid. Its levels are shown to be up-regulated by T-cell receptor stimulation. RANKL has a cytoplasmic domain (aa 1-47), a helical domain (aa 48-68) and an extracellular domain (aa 69-317). RANKL has been identified to affect the immune system and control bone regeneration and remodeling. RANKL is a cytokine that binds to TNFRSF11B/OPG and to TNFRSF11A/RANK. It is shown to augment the ability of dendritic cells to stimulate naive T-cell proliferation and is an important regulator of interactions between T-cells and dendritic cells and may play a role in the regulation of the T-cell-dependent immune response. It is shown to induce osteoclastogenesis by activating multiple signaling pathways in osteoclast precursor cells. RANKL is also reported to activate Akt through a signaling complex involving SRC kinase and tumor necrosis factor receptor-associated factor (TRAF) 6, which suggests a role of RANKL in the regulation of cell apoptosis. Three isoforms of RANKL have been described that are produced by alternative splicing. Defects in TNFS11 gene can cause osteoporosis, both a severe autosomal recessive form as well a benign autosomal dominant form.
~36 kDa observed; 35.48 kDa calculated. Uncharacterized bands may be observed in some lysate(s).

Immunogen

GST/His-tagged recombinant fragment corresponding to 95 amino acids from the C-terminal region of human RANKL.

Application

Anti-RANKL, clone 6A12.1, Cat. No. MABS1696, is a mouse monoclonal antibody that detets RANKL in human cells and has been tested for use in Immunohistochemistry (Paraffin) and Western Blotting.
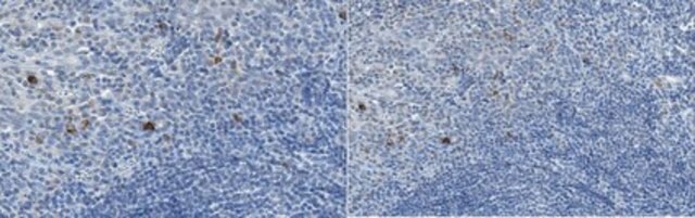
Immunohistochemistry Analysis: A 1:50 dilution from a representative lot detected RANKL in human tonsil tissue sections.
Research Category
Signaling

Biochem/physiol Actions

Clone 6A12.1 detects RANKL protein in human cells. It targets an epitope within 95 amino acids from the C-terminal region.

Physical form

Unpurified
Format: Unpurified
Mouse monoclonal antibody in tissue culture supernatant without azide.

Preparation Note

Stable for 1 year at -20°C from date of receipt.

Handling Recommendations: Upon receipt and prior to removing the cap, centrifuge the vial and gently mix the solution. Aliquot into microcentrifuge tubes and store at -20°C. Avoid repeated freeze/thaw cycles, which may damage IgG and affect product performance.

Analysis Note

Evaluated by Western Blotting with RANKL recombinant protein.

Western Blotting Analysis: A 1:2,000 dilution of this antibody detected human recombinant RANKL protein.

Other Notes

Concentration: Please refer to lot specific datasheet.

Disclaimer

Unless otherwise stated in our catalog or other company documentation accompanying the product(s), our products are intended for research use only and are not to be used for any other purpose, which includes but is not limited to, unauthorized commercial uses, in vitro diagnostic uses, ex vivo or in vivo therapeutic uses or any type of consumption or application to humans or animals.


Still not finding the right product?

Try our Product Selector Tool to narrow your options


Storage Class

10 - Combustible liquids

wgk

WGK 1

Regulatory Information

新产品

This item has



Certificates of Analysis (COA)

Search for Certificates of Analysis (COA) by entering the products Lot/Batch Number. Lot and Batch Numbers can be found on a product’s label following the words ‘Lot’ or ‘Batch’.

Already Own This Product?

Find documentation for the products that you have recently purchased in the Document Library.

Visit the Document Library



Global Trade Item Number

SKUGTIN
MABS169604054839355851
MABS1696-25UL04054839522086