Skip to Content
Merck
CN

MABS178

Anti-STK39 Antibody, clone 5H7.1

clone 5H7.1, from mouse

Synonym(s):

STE20/SPS1-related proline-alanine-rich protein kinase, Ste-20-related kinase, DCHT, Serine/threonine-protein kinase 39

Sign In to View Organizational & Contract Pricing.

Select a Size

Change View

About This Item

UNSPSC Code:
12352203
NACRES:
NA.41
eCl@ss:
32160702
Conjugate:
unconjugated
Clone:
5H7.1, monoclonal
Application:
IHC, WB
Citations:
-
Technical Service
Need help? Our team of experienced scientists is here for you.
Let Us Assist


Quality Level

biological source

mouse

conjugate

unconjugated

antibody form

purified antibody

antibody product type

primary antibodies

clone

5H7.1, monoclonal

species reactivity

rat, human, mouse

technique(s)

immunohistochemistry: suitable, western blot: suitable

isotype

IgG1κ

NCBI accession no.

UniProt accession no.

shipped in

wet ice

target post-translational modification

unmodified

Gene Information

human ... STK39(27347)

General description

Serine/threonine-protein kinase 39 (STK39), also known as STE20/SPS-1 related proline alanine-rich kinase (SPAK), is a member of the SPS1 subfamily of STE20 kinases. STK39 is also very highly conserved between species and has been shown to activate the p38 pathways. STK39 also has a caspase cleavage site and these two functions may mean that STK39 plays a role in stress-activated signaling. STK39 expression is up-regulated by androgens in LNCaP human prostate cancer cells and regulated and phosphorylated by WNK1, which controls the stress signaling pathway. It is activated by WNK4 and then has the ability to stimulate the Na-K-2Cl cotransporter, the inactive version does not possess this ability. Recent research has also made a connection between STK39 and regulation of blood pressure.
~60 kDa observed

Immunogen

Epitope: C-terminus
GST-tagged recombinant protein corresponding to the C-terminus of human STK39.

Application

Anti-STK39 Antibody, clone 5H7.1 is a highly specific mouse monoclonal antibody, that targets STK39 & has been tested in western blotting & IHC.
Research Category
Signaling
Research Sub Category
Developmental Signaling
Western Blotting Analysis: 1.0 µg/mL from a representative lot detected STK39 in 10 µg of mouse and rat brain tissue lysate.
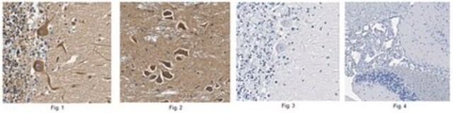
Immunohistochemistry Analysis: A 1:500-2,000 dilution from a representative lot detected STK39 in human cerebellum sections and rat hindbrain sections tissue.

Biochem/physiol Actions

This antibody recognizes the C-terminus of STK39.

Physical form

Format: Purified
Protein G Purified
Purified mouse monoclonal IgG1κ in buffer containing 0.1 M Tris-Glycine (pH 7.4), 150 mM NaCl with 0.05% sodium azide.

Preparation Note

Stable for 1 year at 2-8°C from date of receipt.

Analysis Note

Evaluated by Western Blotting in human brain tissue lysate.

Western Blotting Analysis: 1.0 µg/mL of this antibody detected STK39 in 10 µg of human brain tissue lysate.

Other Notes

Concentration: Please refer to the Certificate of Analysis for the lot-specific concentration.

Disclaimer

Unless otherwise stated in our catalog or other company documentation accompanying the product(s), our products are intended for research use only and are not to be used for any other purpose, which includes but is not limited to, unauthorized commercial uses, in vitro diagnostic uses, ex vivo or in vivo therapeutic uses or any type of consumption or application to humans or animals.


Still not finding the right product?

Try our Product Selector Tool to narrow your options


Storage Class

12 - Non Combustible Liquids

wgk

WGK 1

flash_point_f

Not applicable

flash_point_c

Not applicable



Certificates of Analysis (COA)

Search for Certificates of Analysis (COA) by entering the products Lot/Batch Number. Lot and Batch Numbers can be found on a product’s label following the words ‘Lot’ or ‘Batch’.

Already Own This Product?

Find documentation for the products that you have recently purchased in the Document Library.

Visit the Document Library



Global Trade Item Number

SKUGTIN
MABS17804053252927232