Skip to Content
Merck
CN

MABS518

Anti-CBS Antibody, clone 9F3.2

clone 9F3.2, from mouse

Synonym(s):

Cystathionine beta-synthase, CBS, Beta-thionase, Serine sulfhydrase

Sign In to View Organizational & Contract Pricing.

Select a Size

Change View

About This Item

UNSPSC Code:
12352203
NACRES:
NA.41
eCl@ss:
32160702
Conjugate:
unconjugated
Clone:
9F3.2, monoclonal
Application:
IHC, WB
Citations:
-
Technical Service
Need help? Our team of experienced scientists is here for you.
Let Us Assist


biological source

mouse

Quality Level

conjugate

unconjugated

antibody form

purified immunoglobulin

antibody product type

primary antibodies

clone

9F3.2, monoclonal

species reactivity

human

technique(s)

immunohistochemistry: suitable (paraffin), western blot: suitable

isotype

IgG2aκ

NCBI accession no.

UniProt accession no.

shipped in

dry ice

target post-translational modification

unmodified

Gene Information

human ... CBS(875)

General description

Cystathionine beta-synthase (EC 4.2.1.22; UniProt P35520; also known as beta-thionase, Methylcysteine synthase, Serine sulfhydrase) is encoded by the CBS (also known as HIP4) gene (Gene ID 875) in human. Cystathionine beta-synthase catalyzes the trans-sulfuration of homocysteine and serine to form the cysteine precursor cystathionine in the folate pathway. Cysteine is an essential substrate for the biosynthesis of glutathione, a major endogenous antioxidant. CBS deficiency results in altered sulfur metabolism and homocystinuria characterized by increased urinary homocystine and methionine. The clinical features of untreated homocystinuria due to CBS deficiency include myopia, ectopia lentis, mental retardation, skeletal anomalies resembling Marfan syndrome, and thromboembolic events.
~61 kDa observed

Immunogen

Recombinant protein corresponding to the N-terminal of human CBS.

Application

Anti-CBS Antibody, clone 9F3.2 is an antibody against CBS for use in Western Blotting, Immunohistochemistry (Paraffin).
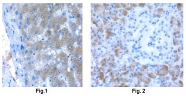
Immunohistochemistry Analysis: A 1:1,000 dilution from a representative lot detected CBS in human liver and human pancreas tissue.

Biochem/physiol Actions

Expected to react with both the Major (isoform 1) and the Minor (isoform 2) spliced variant.

Physical form

Format: Purified

Analysis Note

Evaluated by Western Blotting in Raji cell lysate.

Western Blotting Analysis: 0.5 µg/mL of this antibody detected CBS in 10 µg of Raji cell lysate.

Other Notes

Concentration: Please refer to lot specific datasheet.


Still not finding the right product?

Try our Product Selector Tool to narrow your options


Storage Class

12 - Non Combustible Liquids

wgk

WGK 1

flash_point_f

Not applicable

flash_point_c

Not applicable



Certificates of Analysis (COA)

Search for Certificates of Analysis (COA) by entering the products Lot/Batch Number. Lot and Batch Numbers can be found on a product’s label following the words ‘Lot’ or ‘Batch’.

Already Own This Product?

Find documentation for the products that you have recently purchased in the Document Library.

Visit the Document Library


Related Content

A major focus of breast cancer research is to understand the mechanisms responsible for disease progression and drug resistance. Toward that end, it has been found that approximately two thirds of all human breast carcinomas overexpress the Estrogen Receptor α (ERα) protein and it remains the primary pharmacological target for endocrine therapy1,2. The normal cellular function of ERα is as a transcription factor that mediates a wide variety of physiological processes, many of which are dependent upon phosphorylation of the receptor at specific amino acid residues3,4. Indeed, ERα is known to be phosphorylated at a multitude of different sites, yet how these all correlate to disease remains unclear5. Here, we interrogated multiple sites of ERα for phosphorylation status by screening an extensive panel of different breast cancer patient samples and other non-breast cancer tissue microarray (TMA) slide samples to determine their relevance to disease.

View All Related Content




Global Trade Item Number

SKUGTIN
MABS51804055977182828