Skip to Content
Merck
CN

MABT200

Anti-COL1A2, clone alpha2CT, Azide Free Antibody

clone alpha2CT, from mouse

Synonym(s):

Annexin A6, 67 kDa calelectrin, Annexin VI, Annexin-6, Calphobindin-II, CPB-II, Lipocortin VI, Protein III, p68, p70

Sign In to View Organizational & Contract Pricing.

Select a Size

Change View

About This Item

UNSPSC Code:
12352203
NACRES:
NA.41
eCl@ss:
32160702
Conjugate:
unconjugated
Clone:
alpha2CT, monoclonal
Application:
IHC, activity assay
Citations:
2
Technical Service
Need help? Our team of experienced scientists is here for you.
Let Us Assist


biological source

mouse

Quality Level

conjugate

unconjugated

antibody form

purified antibody

antibody product type

primary antibodies

clone

alpha2CT, monoclonal

species reactivity

human

technique(s)

activity assay: suitable, immunohistochemistry: suitable

isotype

IgAκ

NCBI accession no.

UniProt accession no.

shipped in

wet ice

target post-translational modification

unmodified

Gene Information

human ... ANXA6(309)

General description

125 and 150 kDa calculated
Collagens are major fibrous structural elements of cartilage, tendon, bone, skin, lung, and blood vessels. Type I collagen, a heterotrimer consisting of two α1 chains and one α2 chain, is the most abundant fibrillar collagen. It is preferentially synthesized in bone, skin, and tendon and is the most abundant protein found in these tissues.

Immunogen

Epitope: C-terminus
Linear peptide corresponding to the C-terminus of human Collagen type I alpha 2.

Application

Activity Assay Analysis: A representative lot from an independent laboratory inhibits fibrin formation in vitro (Chung, H. J., et al. (2008). J Biol Chem. 283(38):25879-25886.).
Anti-COL1A2 antibody, clone alpha2CT, Azide Free is an antibody against COL1A2 for use in IHC & activity assay.
Research Category
Cell Structure
Research Sub Category
Cytoskeleton

Physical form

Format: Purified
Protein L
Purified mouse monoclonal IgAκ in buffer containing PBS without preservatives.

Preparation Note

Stable for 1 year at -20°C from date of receipt.
Handling Recommendations: Upon receipt and prior to removing the cap, centrifuge the vial and gently mix the solution. Aliquot into microcentrifuge tubes and store at -20°C. Avoid repeated freeze/thaw cycles, which may damage IgG and affect product performance.

Analysis Note

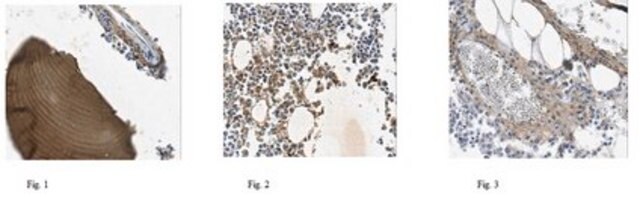
Evaluated by Immunohistochemistry Analysis in human bone tissues.

Immunohistochemistry Analysis: A 1:50 dilution of this antibody detected COL1A2 in human bone tissues.

Other Notes

Concentration: Please refer to the Certificate of Analysis for the lot-specific concentration.

Disclaimer

Unless otherwise stated in our catalog or other company documentation accompanying the product(s), our products are intended for research use only and are not to be used for any other purpose, which includes but is not limited to, unauthorized commercial uses, in vitro diagnostic uses, ex vivo or in vivo therapeutic uses or any type of consumption or application to humans or animals.


Still not finding the right product?

Try our Product Selector Tool to narrow your options


Storage Class

12 - Non Combustible Liquids

wgk

WGK 2

flash_point_f

Not applicable

flash_point_c

Not applicable



Certificates of Analysis (COA)

Search for Certificates of Analysis (COA) by entering the products Lot/Batch Number. Lot and Batch Numbers can be found on a product’s label following the words ‘Lot’ or ‘Batch’.

Already Own This Product?

Find documentation for the products that you have recently purchased in the Document Library.

Visit the Document Library



Collagen fibril formation. A new target to limit fibrosis.
Chung, Hye Jin, et al.
The Journal of Biological Chemistry, 283, 25879-25886 (2008)



Global Trade Item Number

SKUGTIN
MABT20004053252947087