Skip to Content
Merck
CN

MABT388

Anti-ADAM 17 Antibody, clone 16C11.1 | MABT388

clone 16C11.1, from mouse

Synonym(s):

Disintegrin and metalloproteinase domain-containing protein 17, ADAM 17, Snake venom-like protease, TNF-alpha convertase, TNF-alpha-converting enzyme, CD156b

Sign In to View Organizational & Contract Pricing.

Select a Size

Change View

About This Item

UNSPSC Code:
12352203
NACRES:
NA.41
eCl@ss:
32160702
Conjugate:
unconjugated
Clone:
16C11.1, monoclonal
Application:
IHC, WB
Citations:
-
Technical Service
Need help? Our team of experienced scientists is here for you.
Let Us Assist


biological source

mouse

Quality Level

conjugate

unconjugated

antibody form

purified immunoglobulin

antibody product type

primary antibodies

clone

16C11.1, monoclonal

species reactivity

human

technique(s)

immunohistochemistry: suitable (paraffin), western blot: suitable

isotype

IgG1κ

NCBI accession no.

UniProt accession no.

shipped in

wet ice

target post-translational modification

unmodified

Gene Information

human ... ADAM17(6868)

General description

Disintegrin and metalloproteinase domain-containing protein 17 (EC 3.4.24.86; UniProt P78536; also known as ADAM 17, CD156b, Snake venom-like protease. TNF-alpha convertase, TNF-alpha-converting enzyme, Tumor necrosis factor alpha-converting enzyme) is encoded by the ADAM17 (also known as CD156B, CSVP, NISBD, NISBD1, TACE) gene (Gene ID 6868) in human. Originally described as a TNF–alpha converting enzyme, ADAM17 is known to process the cleavage of many transmembrane proteins, including membrane-anchored cytokines, cell adhesion molecules, receptors, ligands, and enzymes. ADAM17 was the first ′sheddase′ identified. ADAM17 activity is regulated by multiple post-translational modifications. It has three phosphorylation sites on its C-terminal cytoplasmic domain (T735, S791, and (S819). ERK1/2-mediated T735 phosphorylation is reported to regulate ADAM17 maturation and surface expression. ADAM 17 is initially translated in its prepro-form and subsequent cleavages of the signal (aa 1-17) and propeptide (18-214) sequences produces the 610 aa mature ADAM 17 (aa 215-824).
~120 kDa observed. A lower band ~100 kDa is also observed when using a higher antibody concentration (5 µg/mL). Due to glycosylation, target band size appears larger than the calculated molecular weights (93.0 kDa/prepro-isoform A, 68.2 kDa/mature isoform A, 78.5kDa/prepro-isoform B, 63.7 kDa/mature isoform B). Uncharacterized band(s) may appear in some lysates.

Immunogen

GST-tagged recombinant protein corresponding to human ADAM 17.

Application

Research Category
Cell Structure
Research Sub Category
Adhesion (CAMs)
This mouse Monoclonal Anti-ADAM 17 Antibody, clone 16C11.1, Cat. No. MABT388 detects levels of ADAM17, and has been published and validated for use in Western Blotting, Immunohistochemistry (Paraffin).
Western Blotting Analysis: 5.0 µg/mL from a representative lot detected ADAM 17 in 10 µg of human acute myelogenous leukemia KG-1 cell lysate.
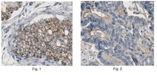
Immunohistochemistry Analysis: A 1:50-250 dilution from a representative lot detected ADAM 17 in human testis and colorectal cancer tissues.

Biochem/physiol Actions

Expected to react with both spliced isoforms.

Physical form

Format: Purified
Protein G Purified
Purified mouse monoclonal IgG1κ in buffer containing 0.1 M Tris-Glycine (pH 7.4), 150 mM NaCl with 0.05% sodium azide.

Preparation Note

Stable for 1 year at 2-8°C from date of receipt.

Analysis Note

Evaluated by Western Blotting in human acute myelogenous leukemia KG-1 cell lysate.

Western Blotting Analysis: 0.5 µg/mL of this antibody detected ADAM 17 in 10 µg of human acute myelogenous leukemia KG-1 cell lysate.

Other Notes

Concentration: Please refer to lot specific datasheet.

Disclaimer

Unless otherwise stated in our catalog or other company documentation accompanying the product(s), our products are intended for research use only and are not to be used for any other purpose, which includes but is not limited to, unauthorized commercial uses, in vitro diagnostic uses, ex vivo or in vivo therapeutic uses or any type of consumption or application to humans or animals.


Still not finding the right product?

Try our Product Selector Tool to narrow your options


Storage Class

12 - Non Combustible Liquids

wgk

WGK 1

flash_point_f

Not applicable

flash_point_c

Not applicable



Certificates of Analysis (COA)

Search for Certificates of Analysis (COA) by entering the products Lot/Batch Number. Lot and Batch Numbers can be found on a product’s label following the words ‘Lot’ or ‘Batch’.

Already Own This Product?

Find documentation for the products that you have recently purchased in the Document Library.

Visit the Document Library


Related Content

A major focus of breast cancer research is to understand the mechanisms responsible for disease progression and drug resistance. Toward that end, it has been found that approximately two thirds of all human breast carcinomas overexpress the Estrogen Receptor α (ERα) protein and it remains the primary pharmacological target for endocrine therapy1,2. The normal cellular function of ERα is as a transcription factor that mediates a wide variety of physiological processes, many of which are dependent upon phosphorylation of the receptor at specific amino acid residues3,4. Indeed, ERα is known to be phosphorylated at a multitude of different sites, yet how these all correlate to disease remains unclear5. Here, we interrogated multiple sites of ERα for phosphorylation status by screening an extensive panel of different breast cancer patient samples and other non-breast cancer tissue microarray (TMA) slide samples to determine their relevance to disease.





Global Trade Item Number

SKUGTIN
MABT38804055977176506