Skip to Content
Merck
CN

MABT64

Anti-Nectin-4/PVRL4 Antibody, clone N4.61

clone N4.61.2, from mouse

Synonym(s):

poliovirus receptor-related 4, Ig superfamily receptor LNIR, nectin 4, poliovirus receptor-related protein 4, nectin-4, Nectin-4

Sign In to View Organizational & Contract Pricing.

Select a Size

Change View

About This Item

UNSPSC Code:
12352203
NACRES:
NA.41
eCl@ss:
32160702
Conjugate:
unconjugated
Clone:
N4.61.2, monoclonal
Application:
ELISA, IHC, IP
Citations:
5
Technical Service
Need help? Our team of experienced scientists is here for you.
Let Us Assist


biological source

mouse

Quality Level

conjugate

unconjugated

antibody form

purified immunoglobulin

antibody product type

primary antibodies

clone

N4.61.2, monoclonal

species reactivity

human

technique(s)

ELISA: suitable, immunohistochemistry: suitable, immunoprecipitation (IP): suitable

isotype

IgG1κ

NCBI accession no.

UniProt accession no.

shipped in

wet ice

target post-translational modification

unmodified

Gene Information

human ... PVRL4(81607)

General description

55 kDa calculated
Nectin-4 is also known as poliovirus receptor-related protein 4 (PRR4 or PVRL4). Nectins are known for being the receptors for the herpes simplex virus. Nectin-4 is an immunoglobulin-like transmembrane cell adhesion protein that also seems to play a role in neural tube formation, with N-cadherin. Nectin-4 is connected with the actin cytoskeleton through afadin inside the cell. Nectin-4 is predominantly found in human placenta although in mice, expression is wide-ranging. Nectin-4 seems to adhere primarily to cells expressing nectin-1 and vice versa.

Immunogen

Recombinant protein corresponding to human Nectin-4.

Application

Anti-Nectin-4/PVRL4 Antibody, clone N4.61 is an antibody against Nectin-4/PVRL4 for use in IH, ELISA & IP.
ELISA Anaysis: A previous lot was used by an independent laboratory in ELISA (Fabre-Lafay, S., et al. (2005). Journal of Biological Chemistry. 280(20):19543–19550).

Immunoprecipitation Anaysis: A previous lot was used by an independent laboratory in IP (Fabre-Lafay, S., et al. (2005). Journal of Biological Chemistry. 280(20):19543–19550).
Research Category
Cell Structure
Research Sub Category
ECM Proteins

Physical form

Format: Purified
Protein G Purified
Purified mouse monoclonal IgG1κ Supernatant in buffer containing 0.1 M Tris-Glycine (pH 7.4), 150 mM NaCl with 0.05% sodium azide.

Preparation Note

Stable for 1 year at 2-8°C from date of receipt.

Analysis Note

Control
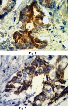
Ductal carcinoma tissue
Evaluated by Immunohistochemistry in ductal carcinoma tissue.

Immunohistochemistry Analysis: A 1:400 dilution of this antibody detected Nectin-4/PVRL4 in ductal carcinoma tissue.

Other Notes

Concentration: Please refer to the Certificate of Analysis for the lot-specific concentration.

Disclaimer

Unless otherwise stated in our catalog or other company documentation accompanying the product(s), our products are intended for research use only and are not to be used for any other purpose, which includes but is not limited to, unauthorized commercial uses, in vitro diagnostic uses, ex vivo or in vivo therapeutic uses or any type of consumption or application to humans or animals.


Still not finding the right product?

Try our Product Selector Tool to narrow your options


Storage Class

12 - Non Combustible Liquids

wgk

WGK 1

flash_point_f

Not applicable

flash_point_c

Not applicable



Certificates of Analysis (COA)

Search for Certificates of Analysis (COA) by entering the products Lot/Batch Number. Lot and Batch Numbers can be found on a product’s label following the words ‘Lot’ or ‘Batch’.

Already Own This Product?

Find documentation for the products that you have recently purchased in the Document Library.

Visit the Document Library



Nectin4/PRR4, a new afadin-associated member of the nectin family that trans-interacts with nectin1/PRR1 through V domain interaction.
Reymond, N; Fabre, S; Lecocq, E; Adelaide, J; Dubreuil, P; Lopez, M
The Journal of Biological Chemistry null
Nectin-4, a new serological breast cancer marker, is a substrate for tumor necrosis factor-alpha-converting enzyme (TACE)/ADAM-17.
Fabre-Lafay, S; Garrido-Urbani, S; Reymond, N; Goncalves, A; Dubreuil, P; Lopez, M
The Journal of Biological Chemistry null
Kristin L M Boylan et al.
Oncotarget, 8(6), 9717-9738 (2016-12-31)
The cell adhesion molecule Nectin-4 is overexpressed in epithelial cancers, including ovarian cancer. The objective of this study was to determine the biological significance of Nectin-4 in the adhesion, aggregation, migration, and proliferation of ovarian cancer cells. Nectin-4 and its



Global Trade Item Number

SKUGTIN
MABT6404053252749285