Sign In to View Organizational & Contract Pricing.
Select a Size
Change View
About This Item
UNSPSC Code:
12352203
NACRES:
NA.41
eCl@ss:
32160702
Conjugate:
unconjugated
Clone:
LpMab-12, monoclonal
Application:
ELISA, FACS, IHC
Citations:
-
biological source
mouse
Quality Level
conjugate
unconjugated
antibody form
purified immunoglobulin
antibody product type
primary antibodies
clone
LpMab-12, monoclonal
species reactivity
monkey, human
packaging
antibody small pack of 25 μg
technique(s)
ELISA: suitable, flow cytometry: suitable, immunohistochemistry: suitable (paraffin)
isotype
IgG1κ
NCBI accession no.
UniProt accession no.
target post-translational modification
unmodified
Gene Information
human ... PDPN(10630)
General description
16.70 kda calculated.
Podoplanin (UniProt: Q86YL7; also known as Aggrus, Glycoprotein 36, Gp36, PA2.26 antigen, T1-alpha, T1A) is encoded by the PDPN (also known as GP36) gene (Gene ID: 10630) in human. Podoplanin serves as the endogenous ligand of C-type lectin-like receptor-2 (CLEC-2) and is highly expressed in various tumors and in some normal cells, such as lymphatic endothelial cells and podocytes. It may be involved in cell migration and/or actin cytoskeleton organization. Podoplanin is localized to actin-rich microvilli and plasma membrane projections, such as filopodia, lamellipodia, and ruffles. Six isoforms of podoplanin have been described that are produced by alternative splicing. It is synthesized with a signal peptide of 22 amino acids, which is cleaved to produce the mature form. Podoplanin contains an extracellular domain (aa 23-131), a helical domain (aa 132-152) and a cytoplasmic region (aa 153-162). Podoplanin possesses three tandem repeat of platelet aggregation-stimulating (PLAG) domains in its N-terminus. Among the PLAG domains, sialylated O-glycan on Thr52 of PLAG3 is essential for the binding to C-type lectin-like receptor-2 (CLEC-2). Interaction of human podoplanin with CLEC-2 mainly involves Glu47 and Asp48 in the platelet PLAG3. Clone LpMab-12 specifically detects sialylated O-Glycan on Thr52 of platelet aggregation-stimulating domain of human podoplanin. It also reacts with the synthetic glycopeptide of hPDPN, corresponding to 38 54 amino acids that carries 2-6 sialylated N-acetyl-D-galactosamine (GalNAc) on Thr52. The minimal epitope of LpMab-12 is identified as Asp49 Pro53 of hPDPN. (Ref.: Kato, Y et al. (2016). PLoS ONE 11(3): e0152912).
Immunogen
LN229 glioma cells expressing human Podoplanin.
Application
Anti-Podoplanin, clone LpMab-12, Cat. No. MABT841, is a mouse monoclonal antibody that detects human and monkey podoplanin and has been tested for use in ELISA, Flow Cytometry, and Immunohistochemistry (Paraffin).
Immunohistochemistry Analysis: A 1:1,000 dilution from a representative lot detected Podoplanin in human testis cancer tissue.
ELISA Analysis: A representative lot detected Podoplanin in ELISA applications (Kato, Y., et. al. (2016). PLoS One. 11(3):e0152912).
Immunohistochemistry Analysis: A representative lot detected Podoplanin in Immunohistochemistry applications (Kato, Y., et. al. (2016). PLoS One. 11(3):e0152912).
Flow Cytometry Analysis: A representative lot detected Podoplanin in Flow Cytometry applications (Kato, Y., et. al. (2016). PLoS One. 11(3):e0152912).
ELISA Analysis: A representative lot detected Podoplanin in ELISA applications (Kato, Y., et. al. (2016). PLoS One. 11(3):e0152912).
Immunohistochemistry Analysis: A representative lot detected Podoplanin in Immunohistochemistry applications (Kato, Y., et. al. (2016). PLoS One. 11(3):e0152912).
Flow Cytometry Analysis: A representative lot detected Podoplanin in Flow Cytometry applications (Kato, Y., et. al. (2016). PLoS One. 11(3):e0152912).
Research Category
Cell Structure
Cell Structure
Biochem/physiol Actions
Clone LpMab-12 detects Podoplanin in human and monkey cells. It targets an epitope within the N-terminal half. It specifically detects Sialylated O-Glycan on Thr52 of platelet aggregation-stimulating domain of human podoplanin. The minimal epitope of LpMab-12 is identified as Asp49-Pro53.
Physical form
Protein G purified
Format: Purified
Purified mouse monoclonal antibody IgG1 in buffer containing 0.1 M Tris-Glycine (pH 7.4), 150 mM NaCl with 0.05% sodium azide.
Preparation Note
Stable for 1 year at 2-8°C from date of receipt.
Analysis Note
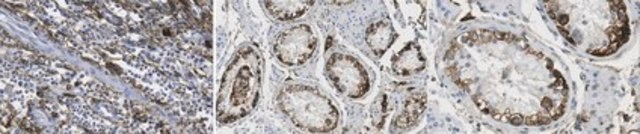
Evaluated by Immunohistochemistry in human colon cancer tissue.
Immunohistochemistry Analysis: A 1:250 dilution of this antibody detected Podoplanin in human colon cancer tissue sections.
Immunohistochemistry Analysis: A 1:250 dilution of this antibody detected Podoplanin in human colon cancer tissue sections.
Other Notes
Concentration: Please refer to lot specific datasheet.
Disclaimer
Unless otherwise stated in our catalog or other company documentation accompanying the product(s), our products are intended for research use only and are not to be used for any other purpose, which includes but is not limited to, unauthorized commercial uses, in vitro diagnostic uses, ex vivo or in vivo therapeutic uses or any type of consumption or application to humans or animals.
Still not finding the right product?
Try our Product Selector Tool to narrow your options
Storage Class
12 - Non Combustible Liquids
wgk
WGK 1
flash_point_f
Not applicable
flash_point_c
Not applicable
Certificates of Analysis (COA)
Search for Certificates of Analysis (COA) by entering the products Lot/Batch Number. Lot and Batch Numbers can be found on a product’s label following the words ‘Lot’ or ‘Batch’.
Already Own This Product?
Find documentation for the products that you have recently purchased in the Document Library.
Global Trade Item Number
| SKU | GTIN |
|---|---|
| MABT841-25UG | 04054839553646 |
| MABT841 | 04054839352621 |