Sign In to View Organizational & Contract Pricing.
Select a Size
Change View
About This Item
UNSPSC Code:
41106514
NACRES:
NA.75
eCl@ss:
32011203
Biological source:
human
Product Name
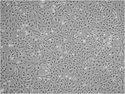
LX-2 Human Hepatic Stellate Cell Line, a highly suitable model of human hepatic fibrosis
biological source
human
Quality Level
technique(s)
cell culture | stem cell: suitable
shipped in
liquid nitrogen
storage temp.
-140 to -196°C
General description
Hepatic stellate cells are a major cell type responsible for liver fibrosis following their activation into fibrogenic myofibroblast-like cells in diseases such as chronic alcoholism, hepatitis B and C, fatty liver disease, obesity and diabetes. There is an increasing need for renewable cell culture models that faithfully recapitulate their in vivo phenotype, particularly for human studies.
LX-2 was generated by immmortalization of primary human hepatic stellate cells with the SV40 large T antigen followed by selective culture of early passaged cells in low serum media conditions.
Immortalized LX-2 was established by Xu et al to overcome issues of culture variability and to provide a stable and unlimited source of human hepatic stellate cells that are homogeneous. These cell lines have been extensively characterized and retain key features of cytokine signaling, neuronal gene expression, retinoid metabolism, and fibrogenesis, making them highly suitable for culture based studies of human hepatic fibrosis.
MilliporeSigma is the exclusive license holder of the LX-2 Human Hepatic Stellate Cell Line from Mount Sinai.
LX-2 was generated by immmortalization of primary human hepatic stellate cells with the SV40 large T antigen followed by selective culture of early passaged cells in low serum media conditions.
Immortalized LX-2 was established by Xu et al to overcome issues of culture variability and to provide a stable and unlimited source of human hepatic stellate cells that are homogeneous. These cell lines have been extensively characterized and retain key features of cytokine signaling, neuronal gene expression, retinoid metabolism, and fibrogenesis, making them highly suitable for culture based studies of human hepatic fibrosis.
MilliporeSigma is the exclusive license holder of the LX-2 Human Hepatic Stellate Cell Line from Mount Sinai.
Application
Research Category
Infectious Diseases
Inflammation & Immunology
Stem Cell Research
Infectious Diseases
Inflammation & Immunology
Stem Cell Research
Preparation Note
LX-2 cells should be stored in liquid nitrogen. The cells can be passage for at least 10 passages without significantly affecting the cell marker expression and functionality. LX-2 cells have been successfully expanded past passage 50 in culture.
Analysis Note
• Each vial contains ≥ 1X106 viable cells.
• Cells are tested by PCR and are negative for Hepatitis A, B, C and HIV-1 & 2 viruses.
• Cells are negatrive for mycoplasma contamination.
• Cells are tested by PCR and are negative for Hepatitis A, B, C and HIV-1 & 2 viruses.
• Cells are negatrive for mycoplasma contamination.
Other Notes
Subject to local law, this product is intended to be sold for internal in vitro research use only subject to terms and conditions found here: www.sigmaaldrich.com/restrictedcelluse. This product may not be: re-engineered or copied; used to make derivatives, modifications or functional equivalents; used to obtain patents or other IP claiming use of the product; used to develop, test, or manufacturer a commercial product; used as a component in a commercial product; resold or licensed; used in any clinical applications or trials; or used in humans. A license or limited commercial use agreement is required for use by any for-profit entity, use in services, and use in sponsored academic research. For information regarding any such use, please contact licensing@milliporesigma.com.
1) ≥1X106 viable LX-2 Human Hepatic Stellate Cells: (Catalog No. SCC064). Store in liquid nitrogen.
Disclaimer
RESEARCH USE ONLY. This product is regulated in France when intended to be used for scientific purposes, including for import and export activities (Article L 1211-1 paragraph 2 of the Public Health Code). The purchaser (i.e. enduser) is required to obtain an import authorization from the France Ministry of Research referred in the Article L1245-5-1 II. of Public Health Code. By ordering this product, you are confirming that you have obtained the proper import authorization.
Storage Class
10 - Combustible liquids
wgk
WGK 1
Regulatory Information
高风险级别生物产品-Merck
This item has
Certificates of Analysis (COA)
Search for Certificates of Analysis (COA) by entering the products Lot/Batch Number. Lot and Batch Numbers can be found on a product’s label following the words ‘Lot’ or ‘Batch’.
Already Own This Product?
Find documentation for the products that you have recently purchased in the Document Library.
Related Content
Learn how to use our cell culture tested, ready-to-use MilliShot™ single dose antibiotic solutions, conveniently packaged in one-time use vials.